Introducción
La neoplasia maligna de células germinales es un tipo de cáncer poco frecuente que representa el 1 % de las neoplasias malignas en los hombres 1. Sin embargo, el Registro de cáncer de Lima Metropolitana señala que el cáncer de testículo es el más frecuente en hombres cuyas edades fluctúan entre 15 y 29 2, y que el tumor testicular de células germinales abarca alrededor del 95 % de los cánceres testiculares 3. Los tumores de células germinales del testículo pueden ser seminomatoso y no seminomatoso (TCGNS), que es el más frecuente. Los TCGNS se definen como una proliferación tumoral maligna de tejido embrionario (carcinoma embrionario o teratoma) y/o extraembrionario (tumor vitelino y coriocarcinoma), y tienen un pronóstico desfavorable 4. Aproximadamente en la mitad de los pacientes los TCGNS se manifiestan en un estadio avanzado. Por lo general, estos tumores se metastatizan a los ganglios linfáticos retroperitoneales y, con menor frecuencia, a los pulmones, hígado y cerebro. Por el contrario, las metástasis gastrointestinales son muy raras 1. Se presenta el caso de un hombre de 30 años con diagnóstico de tumor de células germinales mixto primario testicular que presentó hemorragia digestiva por metástasis gástrica.
Caso clínico
Paciente de sexo masculino de 30 años, natural de Ucayali y procedente de Lambayeque, sin antecedentes de importancia. Acude al hospital en el lugar de procedencia y refiere un tiempo de enfermedad de 1 año que se caracterizó por cefalea intensa, intermitente, en la región occipital, no asociada a cuadro convulsivo ni a otros síntomas. En la tomografía multicorte (TEM) de cerebro se evidencia una tumoración en la fosa posterior, por lo que se indica una craneotomía suboccipital en otra institución, cuyo informe de patología indica un carcinoma indiferenciado (para descartar metástasis) o primario del sistema nervioso. Dos meses después de la intervención quirúrgica, el paciente ya no cursaba con cefalea, pero sí astenia, asociada a episodios intermitentes de melenas. De manera súbita, se presenta hematemesis no asociada a hipotensión, por lo que se realiza una endoscopia digestiva alta de emergencia que muestra dos lesiones ulceradas en el cuerpo gástrico (Figuras 1 y Figura 2) con el diagnóstico patológico de neoplasia maligna indiferenciada de células pequeñas y redondas.
Figura 1 y 2. Dos lesiones de aspecto submucoso con ulceración central con signos de sangrado reciente en el cuerpo gástrico
Con dichos resultados, el paciente es referido a otra institución de salud y se hospitaliza. En el examen físico, se evidencia taquicardia y piel pálida; el resto del examen no mostró hallazgos significativos. En los exámenes de laboratorio presenta hemoglobina 4,2 mg/dl, microcítica hipocrómica, y el perfil bioquímico y hepático, dentro de los valores normales.
Los estudios tomográficos cerebral, torácico y abdomino-pélvico evidenciaron que el testículo derecho mostraba una apariencia tumoral, un implante secundario en el hemisferio cerebeloso izquierdo, múltiples implantes en el pulmón, hígado, bazo y también adenopatías retroperitoneales. Los estudios de laboratorio dan los siguientes resultados: β-HCG: 355354 mUI/ml, AFP: 500 ng/mL y DHL: 1669 UI/L. Se realiza una orquiectomía radical derecha, cuyo informe patológico revela un tumor de células germinales de tipo mixto, que presenta un carcinoma embrionario en el 30,00 % (Figura 3), un tumor del seno endodermal en el 45,00 %, un coriocarcinoma en el 10,00 % (Figura 4) y un teratoma en el 15,00 %. Por ello, se concluye que el cuadro corresponde a un tumor de células germinales primario de testículo derecho en estadio clínico IIIC de alto riesgo por metástasis hepática, esplénica, pulmonar, gástrica y cerebral. Se decide empezar la radioterapia (RT) externa cerebral paliativa y la quimioterapia.
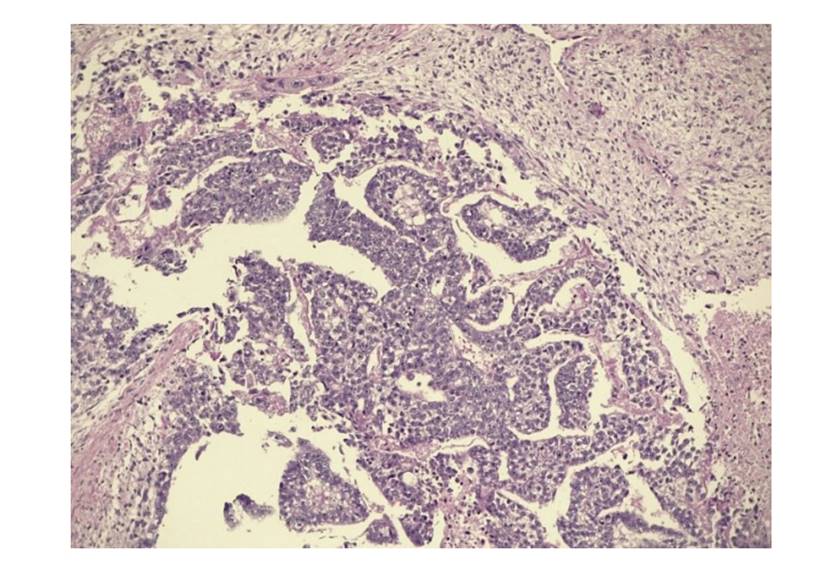
Figura 3 Carcinoma embrionario, caracterizado por un patrón seudoglandular y el aspecto epitelioide de las células (10 X)
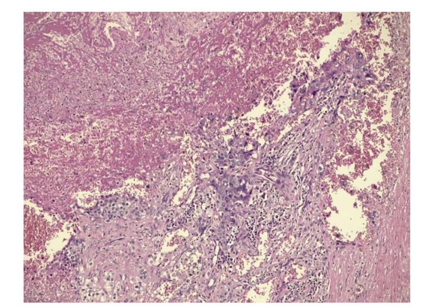
Figura 4 Coriocarcinoma que se caracteriza por células citotrofoblásticas y células sinciciotrofoblásticas en un fondo con extensa necrosis y hemorragia (10 X)
Durante la hospitalización, el paciente cursa con insuficiencia respiratoria aguda por neumonía bacteriana, por lo que se decide su ingreso en la Unidad de Cuidados Intensivos (UCI), la evolución es tórpida, y fallece.
Discusión
Los tumores testiculares son raros. Según Globocan (2018), la incidencia de cáncer de testículo es de 0,4 % 5. Sin embargo, en el Registro de cáncer de Lima Metropolitana se reporta que esta neoplasia fue la más frecuente en hombres del grupo etario cuyas edades fluctúan entre 15 y 29 años 2, y el tumor de células germinales del tipo no seminomatoso fue el tipo más prevalente 4. Es habitual que el principal síntoma sea un aumento de volumen del testículo, aunque en el 10 % de los pacientes el síntoma inicial suele estar relacionado con manifestaciones en el lugar de la metástasis 3.
La metástasis gástrica tiene una incidencia difícil de evaluar debido a su poca frecuencia. En los pacientes con enfermedad metastásica, del 2 al 1,7 % de los casos, aparece en el estómago 6. Las neoplasias más relacionadas son las de mama, pulmón, de células renales y el melanoma maligno 4,7. Las metástasis gastrointestinales a partir de los tumores testiculares son muy raras 8.
Es importante mencionar que hay cuatro vías de diseminación metastásica de los cánceres primarios al estómago: peritoneal, hematógena, linfática y la invasión tumoral directa 6. En el cáncer de testículo la diseminación puede ser linfática (ganglios linfáticos retroperitoneales, supraclaviculares o mediastínicos) o hematógena. Los lugares más comunes de enfermedad extraganglionar son los pulmones y el hígado 1. En el caso de los tumores de células germinales, la metástasis a nivel gastrointestinal ocurre en el 5 % y, generalmente, se presenta en los carcinomas embrionarios y coriocarcinomas 1,3,8.
Dos mecanismos explican la afección del tracto gastrointestinal en los TCGNS testiculares. El primero involucra la vía linfática, sobre todo en la diseminación a los ganglios linfáticos retroperitoneales, los cuales, por contigüidad, suelen comprometer al intestino delgado (con mayor frecuencia) y al duodeno, pero también puede afectar al colon, estómago o esófago. La otra vía es la diseminación hematógena, que es la más infrecuente y se asocia principalmente con el coriocarcinoma. Es importante recalcar que casi todos los pacientes con metástasis hematógenas ya tienen metástasis linfática hacia los ganglios retroperitoneales 9,10.
Existen informes que indican que la metástasis del tracto gastrointestinal ocurre en el 17 % de los pacientes con carcinoma embrionario, en el 25 % de los casos de teratoma, y en el 71 % de los enfermos con coriocarcinoma. Además, las mezclas de elementos tumorales ocurren en el 40 % de los casos. La mayoría de las metástasis gastrointestinales está ocasionada por el coriocarcinoma, un elemento poco común en estos tumores 10.
El coriocarcinoma es el tipo más agresivo de tumores de células germinales. Se caracteriza por una proliferación rápida, una vascularización excesiva y una tendencia a superar su propia irrigación sanguínea, con la consiguiente necrosis del tumor como complicación. Esto puede provocar ulceración con hemorragia grave y perforación de estructuras vitales 1.
Algunos estudios han evaluado las características clínicas y endoscópicas de las metástasis gástricas: en general, aparece en hombres 11 asintomáticos (en la mayoría de los casos) y, entre los pacientes sintomáticos, la forma de presentación más frecuente es la hemorragia gastrointestinal, pero también se puede observar dolor abdominal, vómitos y anorexia 3,6.
Respecto a las características endoscópicas, se evidencian tres tipos morfológicos: masas no ulceradas, masas tumorales submucosas con elevación y ulceración en el vértice (lesiones volcánicas) y nódulos múltiples de diferentes tamaños con ulceración en la superficie. Las lesiones de aspecto submucoso son las más frecuentes. Este hallazgo se asocia con la vía de diseminación hematógena y linfática del tumor primario a través de la capa submucosa 6. Además, las metástasis gástricas pueden verse como lesiones únicas (las más frecuentes) o múltiples. Las lesiones suelen localizarse en el tercio medio o tercio superior del cuerpo gástrico 11,12.
Nuestro paciente mostraba características descritas en la literatura: el sexo masculino y la hemorragia digestiva alta en la clínica. En relación a los hallazgos endoscópicos, se observa dos lesiones de aspecto submucoso con ulceración central situadas entre el tercio medio a superior del cuerpo gástrico.
Respecto al tratamiento, la quimioterapia podría emplearse como terapia adyuvante posterior a la orquiectomía radical, en el caso de metástasis a distancia. En las metástasis cerebrales se puede recurrir a la radioterapia o la intervención quirúrgica. Para los pacientes con cáncer testicular avanzado, la secuencia de tratamiento es controvertida 3,7. Por otro lado, cabe mencionar que los pacientes con TCGNS asociado a metástasis gástrica tienen un mal pronóstico, ya que la mayoría de las veces la enfermedad se encuentra diseminada en otros órganos 13.
En consecuencia, la infiltración gástrica a partir de un cáncer testicular es un evento poco común, pero posible, y debe investigarse si hay síntomas de anemia y sangrado. Además, el tipo y la variedad de elementos tumorales parecen ser importantes en la diseminación metastásica de estas neoplasias. Las características endoscópicas de esta enfermedad gástrica poco común son peculiares y podrían orientar hacia un diagnóstico oportuno del compromiso gástrico por metástasis a distancia. Por lo general, la enfermedad metastásica gástrica es un signo de la etapa tardía de una enfermedad maligna.

