10.24265/horizmed.2022.v22n2.12

Caso clínico

Neumomediastino espontáneo de reentrada en la altitud: reporte de dos casos

Reentry spontaneous pneumomediastinum at high altitude: a two-case report

Douglas Lopez de Guimaraes1  , Médico internista
http://orcid.org/0000-0002-5963-8979

Alfredo Merino-Luna2  3  , Médico general, Médico intensivista
http://orcid.org/0000-0002-9575-1813

Amilcar Tinoco-Solorzano3  4  5 
http://orcid.org/0000-0002-4609-3455

1 Hospital Víctor Ramos Guardia, Departamento de Medicina, Huáraz, Perú.

2 Clínica San Pablo sede Huaraz, Unidad de Cuidados Críticos, Huáraz, Perú.

3 Grupo Internacional de Investigación de Medicina Intensiva de Altura (GIMIA), Perú.

4 Universidad de San Martín de Porres, Facultad de Medicina Humana, Centro de Investigación de Medicina en la Altura, Lima, Perú.

5 Hospital Nacional Ramiro Hospital Nacional Ramiro Prialé Prialé, Servicio de Cuidados Intensivos e Intermedios (EsSalud), Huancayo, Perú; Servicio de Cuidados Intensivos e Intermedios (ESSALUD), Huancayo, Perú.


RESUMEN

Se describen dos casos de neumomediastino espontáneo (NME) en adolescentes varones, saludables y nativos de la altura cuando retornaron a sus hogares provenientes del nivel del mar. Ambos acudieron por el Servicio de Emergencia del hospital Víctor Ramos Guardia de Huaraz, Ancash (3052 m s. n. m.) en el mes de febrero del 2020. El primer caso es el de un joven de 16 años que retornó a su hogar (a 2964 m s. n. m.) luego de permanecer doce días a nivel del mar, en Lima. Seis horas después del regreso fue a trabajar a la chacra, se sintió cansado y empezó a toser, y luego empezó el dolor torácico, la disnea y el enfisema subcutáneo. El segundo caso corresponde a un varón de 17 años, que volvió a su hogar (3140 m s. n. m.) después de pasar dos semanas a nivel del mar (Barranca); doce horas después del retorno, va a trabajar a la chacra y presenta tos, disnea, dolor torácico, dolor de garganta y enfisema subcutáneo. Ambos jóvenes desarrollaron una hipoxemia. El neumomediastino espontáneo se diagnosticó con las radiografías de tórax. En el segundo paciente, el cuadro se asoció a un leve edema pulmonar de altura. Ninguno de los pacientes tenía antecedentes de traumatismos, uso de drogas ilícitas, comorbilidad o de enfermedades previas asociadas a la altura. El manejo de la enfermedad fue conservador, sintomático, de soporte y observación clínica. Cuando un paciente joven y saludable acude a la emergencia con dolor torácico, disnea y enfisema subcutáneo, el neumomediastino espontáneo se debe considerar como un posible diagnóstico y, de inmediato, solicitar radiografías torácicas, frontal y lateral, que abarquen la región cervical. El diagnóstico diferencial permite un manejo adecuado y preciso para los pacientes con neumomediastino espontáneo.

Palabras clave: Neumomediastino; Altitud; Perú


ABSTRACT

We describe two cases of spontaneous pneumomediastinum (SPM) that occurred in healthy, high-altitude native adolescent males when returning to their home from sea level. Both attended the Emergency Department of the Hospital Víctor Ramos Guardia in Huaraz, Ancash (3,052 m a.s.l.), in February 2020. Case 1 was a 16-year-old man who returned home (2,964 m a.s.l.) after twelve days at sea level (Lima). Six hours after returning, he went to work in the field. He then presented fatigue, cough, chest pain, dyspnea, and subcutaneous emphysema. Case 2 was a 17-year-old man who returned home (3,140 m a.s.l.) two weeks after staying at sea level (Barranca). Twelve hours after returning, he went to work in the field. He then presented cough, dyspnea, chest pain, sore throat, and subcutaneous emphysema. Both patients developed hypoxemia, and SPM was diagnosed with the help of chest X-rays. Case 2 was associated with mild high-altitude pulmonary edema. Both patients had no previous history of trauma, illicit drug use, comorbidity, and high-altitude-related diseases. Disease management was conservative, symptomatic, supportive, and based on clinical observation. When a healthy young patient comes to an emergency department because of chest pain, dyspnea, and subcutaneous emphysema, we should consider the possibility of SPM and immediately request frontal and lateral chest X-rays that include the cervical region. A differential diagnosis enables physicians to provide adequate and accurate treatment to patients with SPM.

Keywords: Mediastinal Emphysema; Altitude; Peru


Introducción

El término neumomediastino o enfisema mediastínico se refiere, por lo general, a la presencia anormal de aire u otro gas en el mediastino 1, que puede ocurrir por tres mecanismos: a) disrupción de una barrera cutánea o mucosa (árbol traqueobronquial o esófago) que permite el ingreso de gas al mediastino; b) gas producido por microorganismos que entra al mediastino o al tórax adyacente; c) un aumento repentino de la presión intraalveolar que rompe los alveolos y libera aire que pasa al mediastino 2. Este último mecanismo (ruptura alveolar) es la causa más frecuente de neumomediastino espontáneo (NME); sin embargo, este cuadro también puede ser el resultado de la presencia de aire procedente del tracto respiratorio superior, vísceras intratorácicas o del aparato digestivo 3. La presencia de aire extraalveolar o fuga aérea puede manifestarse como enfisema mediastínico, neumotórax, enfisema intersticial pulmonar, neumopericardio, neumoperitoneo, neumoretroperitoneo, neumoencéfalo y neumorraquia 3-5.

El neumomediastino puede ser espontáneo o primario (sin comorbilidades), o secundario, debido a una enfermedad subyacente 6. El NME se refiere a los casos en los que no se determina la etiología (ya sea de origen traumático, iatrogénico o asociado a una enfermedad pulmonar de base), o cuando no se identifica un factor precipitante. El neumomediastino secundario presenta algún factor causal predisponente o alguna dolencia previa, que puede ser de origen traumático (trauma torácico, heridas penetrantes), iatrogénico (cualquier procedimiento invasivo médico o dental), una enfermedad pulmonar de base (asma, EPOC, enfermedad intersticial, fibrosis quística, infección, SARS-CoV-2, etc.), por infecciones (cervical, mediastinal, pulmonar o del espacio pleural), o un factor precipitante (cualquier condición fisiológica o patológica que implique la maniobra de Valsalva, respiración de Kussmaul, vómitos, crisis de tos, uso de drogas ilícitas, tabaquismo, deporte, buceo, posparto, esfuerzo físico intenso, defecación, etc.) 7-10.

El NME es una entidad rara, con una incidencia de 1: 44 000 ingresos hospitalarios, y es mucho más frecuente en varones jóvenes (más del 70 %) con una edad promedio de 20 años 11. Con el objetivo de describir este proceso patológico en nuestro medio de altitud, reportamos dos casos de NME que se observaron en varones adolescentes saludables, nativos de la altitud (más de 1500 m s. n. m.), que llegaron de manera consecutiva al Servicio de Emergencia del Hospital Víctor Ramos Guardia de Huaraz (3052 m s. n. m.), durante el mes de febrero del 2020. En la actualidad, la literatura relacionada con el NME que aparece a consecuencia de los cambios de altitud es escasa 12.

Reporte de casos

Caso 1

Varón de 16 años, natural y procedente del distrito de San Marcos (2964 m s. n. m.), en Huari (3150 m s. n. m.), quien estuvo doce días de vacaciones a nivel del mar. Luego de tres días, regresó a su pueblo a las 5 a. m., y a las 11 a. m. se traslada con su familia a una región de mayor altitud, y entonces se siente cansado. Por la tarde retorna a su domicilio, y en la noche presenta tos seca y fatiga. Al día siguiente, aumenta la tos, refiere dolor torácico, disnea y cansancio para caminar. Asimismo, se agrega tos más frecuente con expectoración rosada y dolor de garganta. Acude al Centro de Salud (CS) de San Marcos con diagnóstico de bronquitis aguda. Como se incrementan los síntomas, retorna al CS al día siguiente, de donde lo refieren al Hospital Víctor Ramos Guardia de Huaraz (3050 m s. n. m.), donde ingresa por emergencia el 3 de febrero del 2020 a las 21:58 h. Niega tener antecedentes de enfermedades cardiopulmonares y soroche agudo. No consume drogas ilícitas ni ha tenido traumatismos previos.

En el examen clínico se registra PA: 100/70 mmHg, FC: 100/min, FR: 27/min, temperatura: 37 ºC, saturación de oxígeno: 86 % (FiO₂: 32 %). El paciente es un varón adolescente quejumbroso, alerta, que ingresa en camilla con oxígeno nasal, polipneico, ansioso, ventila espontáneamente, afebril. En el examen se palpa enfisema subcutáneo, se percibe crepitación en cuello y tórax anterior izquierdo. Los pulmones se presentan roncantes difusos y subcrepitantes. El sistema cardiovascular se ve afectado por tendencia a la taquicardia, no hay soplos. En el resto del examen no hay hallazgos de importancia. Se le administró oxígeno por cánula nasal, y se indicó analgesia, antibiótico y nifedipino. No presentaba síntomas cuando se le dio de alta el 10 de febrero del 2020.

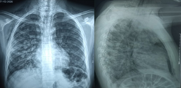
La radiografía de tórax posteroanterior y lateral muestra sombras lineales a ambos lados y a lo largo de los márgenes mediastínicos. Además, se visualizan ambos diafragmas sin interrupción en la línea media y presencia de aire retroesternal. También se observa en los tejidos blandos del cuello y tórax superior imágenes radiolúcidas irregulares que sugieren enfisema subcutáneo. No hay evidencia de fractura costal, neumotórax o derrame pleural concomitante (Figura 1).

Figura 1 Neumomediastino y Enfisema subcutáneo. 

Caso 2

Varón de 17 años natural y procedente del centro poblado de Chichucancha, en Chavín de Huántar (3140 m s. n. m.), es estudiante y soltero. Estuvo dos semanas de vacaciones a nivel del mar donde permanece por dos días. Luego, retorna a su pueblo y, al día siguiente, se dirige a su lugar de trabajo a mayor altura, para lo que camina dos horas y siente un agotamiento mayor a lo habitual. Cuando regresa por la tarde refiere tos persistente, dolor de garganta, dolor torácico, dolor abdominal, disnea e incremento del cansancio. Por la noche, se agrega tos con expectoración rosada. Al día siguiente acude al CS de Chavín de Huántar, de donde lo refieren al hospital Víctor Ramos Guardia de Huaraz, a donde ingresa por emergencia el 21 de febrero del 2020 a las 17:45. Niega enfermedades cardiopulmonares previas y episodios de soroche agudo. Refiere que no ha ingerido drogas ilícitas ni ha presentado traumatismos previos.

En el examen clínico se registra PA: 80/50 mmHg, FC: 138/min, FR: 37/min, temperatura: 37,1 ºC, saturación de oxígeno: 78 % al aire ambiental que llega a 87 % con FiO₂: 36 %. El paciente es un varón adolescente que ingresa en camilla con oxígeno nasal, alerta, ansioso, polipneico, ventila espontáneamente, afebril. Se palpa enfisema subcutáneo, crepitación en ambos lados del cuello y del tórax anterior. Sus pulmones se presentan crepitantes y difusos. El sistema cardiovascular se ve afectado por ruidos cardíacos aumentados en frecuencia e intensidad, no hay soplos. En el resto del examen no hay hallazgos de importancia (Figura 2). Se le administró oxígeno por cánula nasal, y se indicó analgesia y ceftriaxone. Se observó gran mejoría y el paciente solicitó su retiro voluntario el 23 de febrero del 2020.

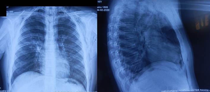
En la radiografía frontal y lateral con la cánula nasal de oxígeno se ven sombras lineales a lo largo de los márgenes mediastínicos y presencia de aire retroesternal. También aparecen imágenes radiolúcidas irregulares en tejidos blandos del cuello y tórax derecho, que sugieren enfisema subcutáneo. Impresiona un leve infiltrado alveolar irregular parahiliar derecho (Figura 2).

Figura 2 Neumomediastino y enfisema subcutáneo. 

Discusión

Reportamos dos casos de NME que se observaron en localidades de altitud (más de 1500 m s. n. m.) de la región Ancash. Los pacientes eran dos adolescentes de sexo masculino, clínicamente sanos, nativos de grandes alturas, y sin antecedentes de trauma, infección, comorbilidad ni factor predisponente. Ambos acudieron a la Emergencia del Hospital Víctor Ramos Guardia de Huaraz (3052 m s. n. m.) con la tríada clínica clásica de dolor torácico, disnea y enfisema subcutáneo; además, mostraron los signos radiológicos compatibles 1,12-13. En ambos casos, la evolución fue favorable, con tratamiento sintomático de soporte y observación. Los dos pacientes cursaron con hipoxemia. El primero no tuvo factor etiológico predisponente, pero sí un elemento precipitante: el reascenso. En el caso del segundo paciente, podría existir un elemento concomitante: un mal de altitud agudo de reascenso asociado a NME, ya que mostraba los signos y síntomas consistentes con este síndrome pulmonar 14.

En condiciones fisiológicas, la presión intraalveolar es mayor que la del intersticio pulmonar, y esta es mayor que la presión mediastínica. En 1944, Macklin reportó un modelo experimental con gatos que explicaba el proceso fisiopatológico del NME mediante tres pasos (efecto Macklin): a) ruptura de la pared alveolar, que por lo general ocurre por el aumento súbito en la presión de la vía aérea; b) enfisema pulmonar intersticial, que consiste en la diseminación del gas extraluminal a través de las vainas broncovesiculares del intersticio peribroncovesicular con dirección al hilio pulmonar y mediastino, por un gradiente de presión; y c) neumomediastino, por el cual una vez que el gas llega al mediastino por el tejido conectivo diseca los planos grasos y puede extenderse a los tejidos blandos del cuello, retroperitoneo, pared torácica y el canal raquídeo. Si la presión del gas en el mediastino es muy alta puede romper la pleura parietal y causar neumotórax 15-17.

El NME es más frecuente en varones jóvenes y saludables, en quienes es una condición benigna y autolimitada, como es el caso de nuestros pacientes 18. El efecto Macklin ocurre, sobre todo, en personas jóvenes, ya que el intersticio pulmonar es más elástico y laxo: por esta razón el NME no es habitual en personas mayores de 60 años. El NME se ha relacionado con los cambios rápidos que ocurren en la presión atmosférica al ascender a las grandes alturas, y la causa sería la ruptura de los alveolos asociada con el aumento de la presión alveolar 19. Hallamos información de casos clínicos en reportes del extranjero: dos de ellos informan de un NME asociado a grandes alturas en alpinistas sanos 20,21; y el caso reciente de un varón de 30 años, saludable, que diez días antes hizo un corto viaje a una localidad de altura 22. En nuestros pacientes, el mecanismo que desencadenó el cuadro sería secundario al esfuerzo físico intenso realizado en grandes alturas (ambos adolescentes, a las pocas horas de su regreso al hogar, salieron a trabajar a la chacra, que estaba a una mayor altitud), debido, probablemente, a una técnica de respiración forzada a presión, es decir, una maniobra de Valsalva modificada, que incrementa la presión intratorácica 20. Para nuestro conocimiento, en el Perú no se han encontrado reportes de NME relacionado con las grandes alturas.

En 1939, Louis Virgil Hamman describió, por primera vez, las manifestaciones clínicas del NME, por ello, el cuadro se conoce también como el síndrome de Hamman 23. Este síndrome es muy poco frecuente en los servicios de emergencia. Por lo general, se presenta en varones jóvenes, aparentemente saludables, entre los 5 a 34 años y sin antecedentes de comorbilidad. El cuadro clínico se caracteriza por su inicio súbito, y el síntoma principal es el dolor torácico de tipo pleurítico (70 al 100 %), casi siempre retroesternal, que se irradia al cuello o tórax posterior, y que no se asocia con el cambio de posición, respiración o ejercicio. Los otros síntomas son disnea (73 %), dolor de garganta, tos, odinofagia, dolor en el cuello y ansiedad. El hallazgo más frecuente del examen físico es el enfisema subcutáneo palpable en el cuello o tórax (49 al 79 %) y el signo de Hamman (18 % de casos), que consiste en un crujido sincrónico con la sístole a la auscultación cardiaca y que se escucha mejor si el paciente se encuentra en posición decúbito lateral izquierdo. Los factores precipitantes más frecuentes en este síndrome son el uso de drogas ilegales, broncoespasmo, ejercicio físico intenso y crisis de tos. La mayoría de ellos tiene relación con la maniobra de Valsalva. Los hallazgos de laboratorio son inespecíficos y el electrocardiograma se encuentra dentro de los parámetros normales. El aire en el intersticio pulmonar no afecta el intercambio gaseoso 23-24.

Dado que el examen físico puede ser normal hasta en el 30 % de los pacientes, el examen diagnóstico más importante es la radiografía del tórax: una de pie, una posteroanterior y una lateral izquierda (que debe incluir la región cervical). Con ellas se puede diagnosticar el NME con una sensibilidad cercana al 100 % 25. Los signos radiológicos son abundantes porque el NME produce el despegamiento lateral de las dos hojas pleurales a nivel de los hilios, por lo que se observa la pleura visible como una línea radiopaca paralela al contorno cardiomediastínico. Las líneas radiopacas elevan la pleura mediastinal (signo de Naclerio). Con frecuencia, estas líneas se extienden también al cuello o a la pared torácica. En la placa lateral del tórax se puede delimitar a la aorta ascendente, el arco aórtico y las áreas retroesternal, precardiaca, pariaórtica y peritraqueal; así como delinear el tronco braquiocefálico y las arterias carótidas primitivas 26. El signo llamado "anillo de la arteria pulmonar" es consecuencia del aire fugado que rodea a la porción mediastínica y extrapericárdica de la mencionada arteria. Por otro lado, el signo del diafragma continuo se produce por la interposición de gas entre el pericardio y la cara superior diafragmática, las separa y así esta banda radiolúcida infracardíaca, que aparece en la proyección posteroanterior del tórax, delimita la cara superior diafragmática central, en continuidad con ambos emidiafragmas (que normalmente no es visible). El enfisema subcutáneo es visible en la radiografía lateral del cuello 27.

Se estima que alrededor del 10 % al 30 % de los casos de NME no se visualiza en las radiografías simples del tórax, y puede aparecer como normal 25-26. En estos pacientes es de gran ayuda la tomografía computarizada (TAC) del tórax con ventana pulmonar, cuya sensibilidad es cercana al 100 %. Los hallazgos tomográficos descritos son bandas y burbujas con densidad de aire que disecan los planos grasos del mediastino y las vainas peribroncovasculares del intersticio axial. La localización típica del gas es en la porción superior del mediastino anterior, con extensión a los tejidos blandos del cuello y a los hilios pulmonares. Como la TAC del tórax puede detectar pequeñas cantidades de aire y algunas veces revela la causa subyacente del neumomediastino, en la actualidad, se considera el método diagnóstico estándar para este cuadro 1,27.

Ante un paciente joven, saludable y sin antecedentes de trauma que acude a la emergencia por presentar dolor torácico, disnea y enfisema subcutáneo, se debe redactar una buena historia clínica y luego tomar una radiografía de la parte frontal y lateral del tórax. Esto permitirá realizar el diagnóstico del NME y, de manera concomitante, descartar las causas secundarias que representan mayor gravedad. El diagnóstico del NME sigue siendo un diagnóstico de exclusión. El tratamiento del NME es conservador y de soporte. Consiste en guardar cama, recibir oxigenoterapia, evitar maniobras que aumenten la presión pulmonar (Valsalva o espiración forzada), recibir analgésicos, manejar la ansiedad, tomar antibióticos, si el caso lo requiere, y realizar una observación clínica con monitoreo de las funciones vitales. La administración de oxígeno suplementario reduce la presión parcial de nitrógeno en los capilares, por lo que aumenta la velocidad de reabsorción del gas. Es habitual que el síndrome se resuelva de manera espontánea después de dos a ocho días, sin secuelas, como en el caso de nuestros pacientes, y la recurrencia es rara 28-30. En conclusión, se recomienda la evaluación de los pacientes con mal de altitud agudo de reascenso con rayos X para evaluar la posibilidad del NME asociado.

REFERENCIAS BIBLIOGRÁFICAS

Cheng GS, Parghese TK, Park DR. Pneumomediastinum and mediastinitis. En: Murray & Nadel’s Textbook of Respiratory Diseases. 6th ed. Philadelphia: Elsevier Saunders; 2016. pp. 1496-503.

Murayama S, Gibo S. Spontaneous pneumomediastinum and Macklin effect: overview and appearance on computed tomography. World J Radiol. 2014; 6(11): 850-4.

Kouritas VK, Papagiannopoulos K, Lazaridis G, Baka S, Mpoukovinas I, Karavasilis V, et al. Pneumomediastinum. J Thorac Dis. 2015; 7(Suppl.1): S44-9.

Martín-Méndez HM, Montoya-Aguirre DE, Rodríguez-Perales MA, López-Chavira A, Kaneko-Wada T. Neumomediastino espontáneo manifestado por enfisema cervical, neumorraquia y neumoperitoneo: reporte de tres casos. AN ORL MEX. 2005; 50(2): 9-14.

Johnson NN, Toledo A, Endom EE. Pneumothorax, pneumomediastinum,and pulmonary embolism. Pediatr Clin North Am. 2010; 57(6): 1357-83.

Mohamed W, Exley C, Sutcliffe IM, Dwarakanath A. Spontaneous pneumomediastinum (Hamman's syndrome): presenting as acute severe asthma. J R Coll Physicians Edinb. 2019; 49(1): 31-3.

Londoño MP, Arenas LMA. Neumomediastino espontáneo: revisión del tema. Univ Med. 2017; 58(4).

Ferreira JIS, Alves MSF, Rebelo ARM, Lopes SMV, Ferreira CMG, Lopes AMTC. Spontaneous pneumomediastinum: when the rare also happens. Adolesc Saude. 2017; 14(4): 210-6.

Brand M, Bizos DB, Burnell L. A review of non-obstetric spontaneous pneumomediastinum and subcutaneous emphysema. S Afr J Surg. 2011; 49(3): 135-7.

Tsay C-Y, Chen Y-L, Chen C-S, Lin P-C, Wu M-Y. Pediatric spontaneous pneumomediastinum after a push-up exercise: an uncommon complication of a common exercise. Children (Basel). 2020; 7(12): 287.

Carvallo NA, Díaz RM. Neumomediastino espontáneo asociado a neumonía por COVID-19: reporte de dos casos. Rev Per Radiol. 2020; 20(1): 36-40.

Chen I-C, Tseng C-M, Hu J-H, Wu J-R, Dai Z-K. Spontaneous pneumomediastinum in adolescents and children. Kaohsiung J Med Sci. 2010; 26(2): 84-8.

Sahni S, Verma S, Grullon J, Esquire A, Patel P, Talwar A. Spontaneous pneumomediastinum: time for consensus. North Am J Med Sci. 2013; 5(9): 460-4.

Maeder MB, Brugger H, Pun M, Strapazzon G, Capello TD, Maggiorini M, et al. The STAR data reporting guidelines for clinical high altitude research. High Alt Med Biol. 2018; 19(1): 7-14.

Takada T, Matsumoto S, Hiramatsu T, Kojima E, Shizu M, Okachi S, et al. Spontaneous pneumomediastinum: an algorithm for diagnosis and management. Ther Adv Resp Dis. 2009; 3(6): 301-7.

Gil-Vargas M, González-Rodríguez LE, León-Aguilar VH. Neumomediastino secundario a efecto Macklin. Reporte de un caso. Acta Pediatr Méx. 2017; 38(5): 317-21.

Bilkis MD, Monteverde E. Efecto Macklin en el neumomediastino espontáneo pediátrico. Arch Argent Pediatr. 2010; 108(2): e33-6.

Acedo MJM, Serna NP, Herrero MN. Neumomediastino: otra causa de dolor torácico en la consulta. Med Gen Fam. 2014; 3(8): 240-2.

Bejvan SM, Godwin JD. Pneumomediastinum: old signs and new signs. Am J Roentgenol. 1996; 166(5): 1041-8.

Vosk A, Houston CS. Mediastinal emphysema in mountain climbers: report of two cases and review. Heart Lung. 1977; 6(5): 799-805.

Rosalén JF, Cantolla JD, Diego FIS. Neumomediastino espontáneo asintomático (NEA) en alpinista con signos de congelación y rabdomiolisis. Arch Bronconeumol. 1990; 26(5): 231-2.

Kalafat UM, Dogan S, Yazici R, Bulut B, Yaman D, Cander B. A rare cause of spontaneous pneumomediastinum: high altitude. Eurasian J Crit Care. 2019; 1(1): 29-31.

Campbell S, Vargas SA, Gómez JM, Escobar AE, Muñoz JK, Caquetá F. Síndrome de Hamman. Acta Med Colomb. 2016; 41(3): 206-10.

Dionisio P, Martins L, Moreira S, Manique A, Macedo R, Caeiro F, et al. Spontaneous pneumomediastinum: experience in 18 patients during the last 12 years. J Bras Pneumol. 2017; 43(2): 101-5.

Zylak CM, Standen JR, Barnes GR, Zylak CJ. Pneumomediastinum revisited. Radiographics. 2000; 20(4): 1043-57.

Espejo OJA, Orjuela APR. Neumomediastino espontáneo. Rev Colomb Radiol. 2014; 25(3): 4026-30.

Martínez DS, González IB. Signo del diafragma continuo. Rev Argent Radiol. 2017; 81(4): 313-4.

Booms ZC, Barbee GA. Spontaneous pneumomediastinum in a pediatric patient after a 1600-m run: case report and literature review. J Am Osteopath Assoc. 2015; 115(5): 338-41.

Chan V, Raza A, Lashari BH, Patel R. Silent breathlessness: a case and brief review of spontaneous pneumomediastinum. Cureus. 2019; 11(4): e4487.

Kim KS, Jeon HW, Moon Y, Kim YD, Ahn MI, Park JK, et al. Clinical experience of spontaneous pnemomediastinum: diagnosis and treatmente. J Thorac Dis. 2015; 7(10): 1817-24.


Notas

1*Autor corresponsal.

Fuentes de financiamiento: Este artículo ha sido financiado por los autores.

Recibido: 19 de Julio de 2021; Aprobado: 26 de Agosto de 2021

Correspondencia: Andrés Alfredo Merino Luna Dirección: Calle La Pendiente 129 casa C, La Alameda de la Planicie. Lima, Perú. Teléfono: + 51 951 778 897 Correo electrónico : a2merinol@gmail.com

Contribuciones de los autores: DL redactó el reporte de casos y la discusión. AM redactó la introducción, el resumen y la discusión. AT redactó la discusión y el resumen.

Conflicto de interés: Los autores declaran no tener ningún conflicto de intereses.

Creative Commons License Este es un artículo publicado en acceso abierto bajo una licencia Creative Commons