Introducción
En 1980, Bardwick acuñó el acrónimo POEMS (de las palabras polineuropatía, organomegalia, endocrinopatía, gammapatía monoclonal y alteraciones cutáneas) en referencia a las principales manifestaciones clínicas 1,2 de un cuadro conocido como síndrome de POEMS (SP), mieloma osteoesclerótico, síndrome de Crow-Fukase o síndrome de Takatsuki 3. En Japón (2003) se reportó una prevalencia de 0,3 por 100 000 habitantes y también se tuvo información de series de casos en Francia, Estados Unidos, India y China. Con mayor frecuencia, las personas afectadas son hombres entre los 50 y 60 años 2,4,5. En el 2007, en el Perú se reportaron 3 casos de pacientes con sindrome de POEMS atendidos en un hospital de cuarto nivel en Lima 6.
La patogenia de esta enfermedad es compleja y, en gran parte, aún desconocida, aunque en el 95 % 3) de los casos estaría asociada a mutaciones genéticas en la inmunoglobulina λ 3,7. Debido a la singularidad de este síndrome en todo el mundo, presentamos el caso de un paciente varón de 56 años de edad con diagnóstico de síndrome de POEMS.
Caso clínico
El paciente es un varón de 56 años procedente de Pallasca, Ancash, sin antecedentes personales ni familiares atribuibles a la enfermedad. Fue referido a Trujillo desde un hospital de su localidad. Diez meses antes de su ingreso al hospital, aparece el edema en los miembros inferiores; y dos meses después, nota la hipertricosis: ambos síntomas progresan hasta que es internado. Tres meses antes de la hospitalización, refiere agitación nocturna; y un mes más tarde, aparece un dolor abdominal tipo cólico irradiado a la caja torácica de grado 7 (según la escala visual análoga o EVA), intolerancia oral, diarrea sin rastros de sangre ni mucosidad, vómitos sin contenido alimentario, ascitis, hipertensión portal, linfadenopatía inguinal lateral. La parestesia de miembros inferiores se observa treinta días antes del ingreso.
En el examen físico se observan unas manchas hiperpigmentadas de más de 1 cm de diámetro, con bordes regulares, uniformes, difusas, bien delimitadas, no pruriginosas, cuya distribución es a predominio torácico; además, abundante vello corporal en tórax, abdomen y ambos miembros superiores, abdomen globuloso y matidez difusa, miembros inferiores con edema blando (signo de fóvea +++/++++) y dolor a la palpación en articulaciones. Por último, disminución del murmullo vesicular en las bases de ambos campos pulmonares. En la exploración neurológica se evidenció una disminución de los reflejos osteotendinosos rotuliano y aquiliano, hipopaliestesia, hipobatiestesia y, por último, disminución de la fuerza muscular de miembros inferiores (grado 3 según la escala de Daniels).
Se realizaron los exámenes auxiliares correspondientes para el diagnóstico (Tabla 1).
Tabla 1 Datos de laboratorio
| Pruebas | Prediagnóstico | Diagnóstico | Posdiagnóstico | |
|---|---|---|---|---|
| a | Inmunofijación en suero | - | IGG-lambda | IGG-lambda |
| b | Hemoglobina | 12 g/dl | 9,80 g/dl | 10,00 g/dl |
| c | Hematocrito | 40% | 31,1 % | 32% |
| d | Leucocitos | |||
| Neutrófilos | 90% ↑ | 74,3 % ↑ | 88% ↑ | |
| Linfocitos | 5% | 19,4 % | 8% | |
| e | TSH | 15,24 HuIU/ml ↑ | 12,89 HuIU/ml ↑ | 4,80 HuIU/ml |
| f | T4 | 0,586 Lng/dl | 0,867 Lng/dl | 1,5 Lng/dl |
| g | Testosterona | 1,81 Lng/ml ↓ | 1,08 Lng/ml ↓ | - |
| h | PRL | 31,11 Hng/ml ↑ | 46,11 Hng/ml ↑ | - |
a: Indicador de gammapatía monoclonal IGG-lamba
e, f: Hipotiroidismo primario g: Hipofunción testicular
h: Hiperprolactinemia
e-h: Indicadores de endocrinopatía
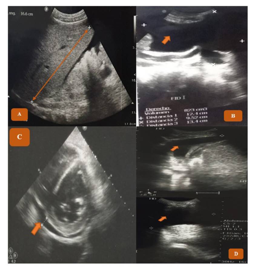
La TAC mostró un síndrome ascítico edematoso, hepatopatía crónica difusa; el ultrasonograma abdominal completo, hepatoesplenomegalia (Figura 1-A), poliposis vesicular y derrame pericárdico, además, muestra la presencia de ascitis (Figura 1-B); la ecocardiografía transtorácica, derrame pericárdico (Figura 1-C), y la ecografía de tórax (Figura 1-D), derrame pleural bilateral.
Figura 1 Ecografía abdominal completa muestra (A) Hepatomegalia (↔) : hígado con una longitud de 166 mm, y ascitis (→): líquido libre en cavidad abdominopélvica en la (B) fosa iliaca derecha (823 cm3). La ecocardiografía transtorácica muestra (C) derrame pericárdico (→); (D) La ecografía de tórax muestra derrame pleural bilateral (→): líquido libre en hemitórax derecho (140 cm3) y en hemitórax izquierdo (320 cm3)
El estudio tomográfico multicorte de abdomen y pelvis con contraste mostró estructuras óseas con cambios degenerativos y colapso de cuerpo vertebral. El síndrome de Addison y un tumor hipofisiario se plantearon como diagnósticos diferenciales, pero fueron descartados con una TEM abdominal (enfoque suprarrenal) y una TAC cerebral, respectivamente. El estudio se amplió con una biopsia de TCSC por la sospecha de amiloidosis, con resultado negativo. La biopsia hepática reveló una esteatosis y hepatocitos reactivos. El exámen bioquímico de líquido ascítico mostró un trasudado (LDH: 169 U/l; glucosa: 109 mg/dl; proteínas: 3,0 g/dl; albúmina: 2,0 g/dl).
En las pruebas de laboratorio se encontró un hipotiroidismo primario, endocrinopatía e hipogonadismo primario (Tabla 1); y el ultrasonograma testicular, hidrocele con predominio en el lado derecho. El estudio de la electromiografía por parestesias fue compatible con polineuropatía sensitiva motora axonal severa en miembros inferiores (Figura 2). Por último, la gammagrafía ósea mostró hipercaptación del radiofármaco a nivel de articulaciones de la rodilla, tibioperonea astragalina y coxofemoral en relación a procesos inflamatorios (Figura 3).
Figura 2 Electromiografía: signos compatibles con polineuropatía sensitivo-motora axonal en miembros inferiores
Figura 3 La gammagrafía ósea muestra hipercaptación del radiofármaco en las articulaciones de rodilla, tibioperonea astragalina y coxofemoral relacionada a procesos inflamatorios
Respecto a la evolución clínica, dieciséis días después de la hospitalización, el paciente ingresó a UCI por un shock cardiogénico asociado a hipotensión, taquicardia, disfunción renal AKI3, acidosis metabólica e hiperkalemia. El paciente se sometió a tres hemodiálisis y siguió con un tratamiento de furosemida 20 mg EV/48 horas, con lo que la urea y creatinina disminuyeron (urea: 171 mg/dl; creatinina: 4,12 mg/dl), pero sin llegar a valores normales.
Por otro lado, se realizó una electroforesis de proteínas (Figura 4) y una inmunofijación, la cual demostró un pico monoclonal de Ig G lambda. El paciente fue diagnosticado con SP a los dos meses del ingreso al hospital, aproximadamente.
Figura 4 Densitometría del patrón electroforético con evidencia de un aumento de las gammaglobulinas (2,1 g/dl)
El paciente fue estabilizado y dado de alta del servicio de salud con un tratamiento ambulatorio de alopurinol 100 mg VO /24 h, prednisona 70 mg VO/24 h, furosemida 40 mg VO/12 h, metildopa 250 mg VO/8 h y levotiroxina 50 mg VO/24 h (1/2 tableta). Actualmente, el paciente ha dejado de acudir a sus respectivas consultas en el hospital.
Discusión
El diagnóstico del SP se confirma cuando el paciente cumple con los dos criterios obligatorios, que son polineuropatía y trastorno monoclonal de células plasmáticas. Entre los criterios principales están las lesiones óseas osteoscleróticas (97 %), niveles elevados de VEGF (68 %) y enfermedad de Castleman (25 %). Los seis criterios menores incluyen cambios en la piel como hiperpigmentación, hipertricosis, hemangiomas glomeruloides, plétora, acrocianosis, enrojecimiento, uñas blancas (68 %); endocrinopatías de tipo suprarrenal, tiroidea, pituitaria, gonadal, paratiroidea o pancreática (67 %); organomegalia, que puede ser esplenomegalia, hepatomegalia o linfadenopatía (58%); sobrecarga de volumen extravascular, que origina el edema, derrame pleural o ascitis (29 %); papiledema (29 %); trombocitosis/policitemia (19 %); y edemas. Otros signos o síntomas que pueden presentarse incluyen pérdida de peso (>10 libras) (37 %), fatiga (31 %), clubbing (5 %), hiperhidrosis, hipertensión pulmonar/enfermedad pulmonar restrictiva, diátesis trombótica, diarrea, valores bajos de vitamina B12, entre otras 2,5,7. El diagnóstico del paciente se confirmó por la polineuropatía sensitivo-motora axonal en miembros inferiores y la gammapatía monoclonal como criterios obligatorios; como criterio principal, las lesiones osteoescleróticas; y como criterios menores, la organomegalia, sobrecarga de volumen extravascular, endocrinopatía y cambios en la piel.
La patogenia del SP es compleja y aún desconocida, pero existen algunos avances en su comprensión. Las investigaciones revelan la presencia de la cadena pesada de Ig A, Ig G o Ig M en la proteína M (inmunoglobulina monoclonal), y a su vez, está presente la cadena ligera tipo λ 3,4. Además, existen reordenamientos en el gen de la región variable de la cadena ligera λ de la inmunoglobulina monoclonal (IGLV) (Vλ1-44 * 01 y Vλ40 * 01). Estas mutaciones en las células plasmáticas estarían implicadas en un exceso de citoquinas, por ejemplo, IL-1b e IL-6, que estimulan sobre todo la producción de VEFG (factor de crecimiento endotelial) 7,8, que es la citoquina más representativa, además de que sus niveles altos indica la gravedad de esta enfermedad 5,9,10. El SP es una enfermedad que es de difícil diagnóstico debido a su baja prevalencia y la variedad de los síntomas 2. Por otro lado, las manifestaciones clínicas más frecuentes no siempre están presentes al inicio de la enfermedad, es decir, pueden aparecer a lo largo de la evolución, lo que retrasa aún más el diagnóstico definitivo: entre 13 a 18 meses, en algunas ocasiones 2,5,11. Nuestro paciente no ha sido la excepción, pues el diagnóstico se determinó después de 12 meses de la aparición de los síntomas prodrómicos.
Los estudios revelan que la ascitis y el SP están asociados. Aun así, la información disponible sobre las características fisicoquímicas del líquido ascítico en esos pacientes sigue siendo escasa 12. En el presente caso, el paciente tenía ascitis compatible con trasudado, lo que contradice al estudio realizado por Cui RT et al. 13, una de las series más grandes (106 pacientes) sobre líquido ascítico y SP, pero coincide en la ausencia de trombosis portal o trombosis de vena porta. El paciente presentó edema periférico, derrame pleural y derrame pericárdico, eventos comunes tal como revela la literatura 11.
Además, los pacientes con SP suelen presentar policitemia 2. Nuestro paciente tuvo anemia, tal como se observa en los exámenes de laboratorio (Tabla 1). El caso presentado se suma a los cinco reportados con hipertensión portal (cuatro de ellos con evidencia de fibrosis portal no cirrótica y uno con mecanismo desconocido) 12. La nefropatía del SP es una microangiopatía trombótica asociada a altas concentraciones de citoquinas y factores de crecimiento como IL-1β, IL-6, TNF-α y VEGF, que ocasionarían daño endotelial a nivel renal y sistémico 14. Los niveles séricos de creatinina son normales en la mayoría de los casos, solo el 6 % tiene una creatinina sérica mayor o igual a 1,5 mg/dl. El 4 % de los pacientes desarrollaron una insuficiencia renal como eventos preterminales. En el presente caso, la creatinina llegó a 4,2 mg/dl, lo que complicó el caso hasta causar una injuria renal aguda 3, por lo que el paciente necesitó tres hemodiálisis 7.
Respecto al tratamiento, hasta hace un poco más de una década los pacientes eran tratados con melfalán y prednisolona, seguido por un mantenimiento prolongado; después pasó a un régimen de bortezomib y dexametasona, seguido de la lenalidomida y dexametasona; en los últimos años se induce a estos pacientes con regímenes basados en bortezomib y trasplante autólogo de células madre (ASCT) como una consolidación 1,2. El paciente no sigue un régimen de tratamiento adecuado, pues recibe un tratamiento paliativo de alopurinol 100 mg VO/24 h, prednisona 70 mg VO/24 h, furosemida 40 mg VO/12 h, metildopa 250 mg VO/8 h y levotiroxina 50 mgVO/24 h (1/2 tableta); de las cuales la prednisona es la que más se asemeja a uno de los medicamentos dentro del régimen mencionado anteriormente. Esto coincide con un estudio realizado por Suichi T et al. 15, quien realizó una encuesta nacional en Japón sobre la prevalencia, perfiles clínicos, tratamiento y pronóstico del síndrome de POEMS que mostró que la cuarta parte de los pacientes solo reciben corticoesteroides y no el régimen de tratamiento adecuado. A pesar de esto, el paciente tuvo una respuesta favorable. Sin embargo, ha dejado de asistir a sus consultas.

