10.24265/horizmed.2022.v22n3.11

Caso clínico

Lupus eritematoso sistémico ampolloso en un paciente varón de 16 años

Bullous systemic lupus erythematosus in a 16-year-old male patient

Karla Fiorella Aguilar García1  , Médico residente en dermatología
http://orcid.org/0000-0002-0273-699X

Adela Margarita Vargas Rojas1  , Médico residente en dermatología
http://orcid.org/0000-0002-3589-8952

Natalia Tena Angulo1  , Médico residente en dermatología
http://orcid.org/0000-0001-6083-7775

Gabriela López Córdova1  , Médico residente en anatomía patológica
http://orcid.org/0000-0001-5575-3729

César Augusto Chian García1  , Médico patólogo clínico
http://orcid.org/0000-0002-4550-8655

Wenceslao Castillo Farneschi1  , Médico dermatólogo
http://orcid.org/0000-0002-6748-0964

1 Hospital Nacional Arzobispo Loayza. Lima, Perú.


RESUMEN

El lupus eritematoso sistémico ampolloso (LESA) es una enfermedad vesículo-ampollosa mediada por autoanticuerpos en pacientes con lupus eritematoso sistémico (LES). Se observan vesículas y ampollas tensas sobre una piel edematosa, eritematosa y, en ocasiones, normal en cualquier región del cuerpo, incluyendo áreas mucosas y que no han sido fotoexpuestas. Se presenta el caso de un paciente varón de 16 años de edad con nefritis lúpica, que al séptimo día de hospitalización presenta múltiples ampollas serosas y hemorrágicas sobre el rostro, el tronco, el abdomen y las extremidades superiores. El estudio histológico mostró una dermatosis ampollar subepidérmica con numerosos neutrófilos.

Palabras clave: Lupus Eritematoso Sistémico; Lupus Eritematoso Cutáneo; Vesícula; Nefritis Lúpica


ABSTRACT

Bullous systemic lupus erythematosus (BSLE) is a vesiculobullous disease mediated by autoantibodies in patients with systemic lupus erythematosus (SLE). Tense vesicles and bullae are seen on an edematous, erythematous and sometimes normal skin in any body region, including mucous membranes and non-photoexposed areas. This is the case of a 16-year-old male patient with lupus nephritis who, on the seventh day of hospitalization, presented multiple serous and hemorrhagic blisters on the face, trunk, abdomen and upper extremities. The histological study showed a subepidermal bullous dermatosis with numerous neutrophils.

Keywords: Lupus Erythematosus, Systemic; Lupus Erythematosus, Cutaneous; Blister; Lupus Nephritis


Introducción

El lupus eritematoso sistémico ampolloso (LESA) es una enfermedad vesículo-ampollosa subepidérmica mediada por anticuerpos contra el colágeno tipo VII y otros componentes esenciales de la unión dermoepidérmica. En pacientes con lupus eritematoso sistémico (LES), las manifestaciones cutáneas se presentan en un 76 %; sin embargo, las lesiones ampollares son muy raras y ocurren en menos del 5 % 1-3.

Se ha reportado una mayor cantidad de casos en mujeres en edad reproductiva (20-40 años), sin mostrarse tendencia por una raza específica. Se ha estimado una incidencia de 0,2 a 0,05 casos por millón de habitantes por año 2,9. El caso clínico se presenta como un brote de lesiones de tipo vesículo-ampollosa tensas, de intensidad pruriginosa variable y diseminadas con un eritema urticarial de fondo. Asimismo, las lesiones forman erosiones y costras antes de la curación y, por lo general, no dejan cicatrices 1. Estas lesiones pueden aparecer en cualquier sitio, incluyendo en las zonas no expuestas al sol y en las membranas mucosas 4, lo que ayuda a diferenciarlas de un LES con ampollas.

A continuación, se presenta el caso clínico de un paciente hospitalizado en el servicio de Pediatría en un Hospital de nivel III en Lima, Perú.

Caso

Paciente varón de 16 años, natural de una de las regiones del interior del país (residente actual de un distrito de la capital), con tiempo de enfermedad de tres meses de lupus eritematoso sistémico (LES) y que recibe tratamiento con corticoides. Acude a nuestro nosocomio por Emergencia por presentar, durante dos semanas, dolor hemitorácico, oliguria y disnea. Al séptimo día de hospitalización, tras encontrarse en su segundo pulso con metilprednisolona y en hemodiálisis por un catéter de alto flujo (CAF), cursa febril y presenta la aparición de ampollas tensas en la cara, el tórax y el abdomen, así como ampollas hemorrágicas que aparecen mayormente en las extremidades (Figuras 1 y Figura 2).

Figura 1 Ampollas tensas en cara anterior de tórax superior. 

Figura 2 (A) Ampollas hemorrágicas tensas en dorso de manos con predominio en nudillos y (B) brazos. 

Los exámenes de laboratorio revelaron hemoglobina 10,1 (post transfusiones); leucocitos, 9320 mm3 (segmentados 74 %, abastonados 21 %; linfocitos 2 %); plaquetas 67 000 mm3; proteína C reactiva 24,89 mg/dl; beta 2 glicoproteína (-); anticardiolipinas (-); urocultivo (-); cultivo de ampolla (-); hemocultivo (+): Staphylococcus aureus.

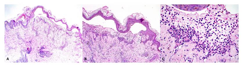
Ecocardiograma: fracción de eyección del ventrículo izquierdo (FEVI) 58 %, contractilidad conservada, no se observan vegetaciones. Se inició la cobertura antibiótica con vancomicina y se realizó un recambio del catéter de diálisis. Además, se practicó al paciente una biopsia de piel con resultado histopatológico de dermatosis ampollar subepidérmica (Figura 3 A, B) con numerosos neutrófilos (Figura 3 C), que se visualizan a mayor aumento (X40).

Figura 3 Ampollas subepidérmicas (A) HE, X2.5 y (B) HE, X4. (C) Neutrófilos dispuestos de manera dispersa en la dermis superficial (HE, X40). 

Discusión

El LESA es una variante ampollosa rara que afecta a menos del 5 % de pacientes con LES. Es poco frecuente en la población pediátrica, rara vez se presenta como la manifestación inicial del LES y puede manifestarse como un signo de exacerbación en pacientes con compromiso renal 2, como en el presente caso, donde se diagnosticó nefritis lúpica tres meses después del diagnóstico de LES.

Las lesiones cutáneas incluyen ampollas, vesículas y un brote maculopapular diseminado, que pueden aparecer sobre una piel eritematosa o normal. El contenido de las ampollas puede ser seroso o hemorrágico, con un eritema urticarial de fondo, que tras erosionar y producir costras no dejan cicatriz, pero pueden resolver dejando máculas hipopigmentadas (en menor medida hiperpigmentadas). En ciertas áreas afectadas, como el cuero cabelludo, se ha observado que puede presentarse la alopecia cicatricial 2,5.

Es importante mencionar que si bien existe una tendencia a que las lesiones ampollosas aparezcan en el tronco, el cuello, la región supraclavicular, axilar, la zona proximal de extremidades, tanto en superficies flexoras como extensoras, dichas lesiones también pueden aparecer en cualquier sitio, incluyendo en membranas mucosas y en zonas que no han sido fotoexpuestas. La cavidad oral se ha visto afectada en un 30 %-40 % de los casos, las fosas nasales y la vulva 4,6,7. Además, la infección de la piel expuesta y afectada es una de las complicaciones del LESA 3,11. En nuestro paciente se aisló Staphylococcus aureus en dos hemocultivos, y se presume que el punto de entrada fue por CAF; mostró mejoría con el tratamiento con vancomicina.

Por lo general, los pacientes con LESA presentan actividad lúpica en otros órganos, especialmente nefritis lúpica, reportándose hasta en un 50 % de los casos, mayormente estadio III o IV, anormalidades hematológicas (45 %) y manifestaciones neuropsiquiátricas (7 %) 8. En algunos casos el brote cutáneo ampolloso coincide con recaídas del LES, pero se ha informado sobre su aparición entre cuatro y doce días después del inicio del tratamiento con glucocorticoides sistémicos 6,7. En nuestro caso clínico, el paciente se encontraba en su séptimo día de hospitalización, en su segundo pulso de metilprednisolona y en hemodiálisis por su complicación nefrológica.

Los primeros criterios para el diagnóstico de LESA fueron propuestos por Camisa y Sharma en 1993. Posteriormente, estos fueron modificados en 1981: 1. diagnóstico de LES según los criterios del American College of Rheumatology; 2. vesículas y ampollas en partes de la piel que están expuestas al sol, pero sin excluir a otras zonas; 3. histopatología compatible con dermatitis herpetiforme; 4. inmunofluorescencia directa: depósitos lineales o granulares de Ig G, Ig M y/o Ig A contra la membrana basal de piel lesionada o perilesional; 5. inmunofluorescencia indirecta negativa o positiva para anticuerpos circulantes contra la membrana basal, utilizando la piel separada como sustrato 2,9,10.

En la histopatología se observa como una formación de ampollas subepidérmicas con infiltrado predominante de neutrófilos en la dermis superior, con presencia de microabscesos en la dermis papilar e infiltrado de neutrófilos en banda; también se puede observar fibrina y grandes depósitos de mucina en la dermis reticular 11-13. Además, se ha descrito un incremento gradual de la transcripción de neutrófilos durante la progresión a nefritis activa, lo que explicaría la asociación entre LESA y nefritis lúpica 8. En la inmunofluorescencia directa se observan depósitos lineales o granulares de Ig G (con Ig A o Ig G o sin ellas) y depósitos de complemento en la zona de la membrana basal 1,12. En nuestro caso, la histopatología coincidió con lo descrito en anteriores reportes de casos.

Con respecto al tratamiento, la dapsona ha demostrado ser un fármaco de primera línea que es eficaz y con una respuesta notable 14. Sin embargo, si la enfermedad sistémica está activa o la enfermedad cutánea es extensa, se debe iniciar con esteroides a dosis altas, como en nuestro paciente, a quien se le iniciaron pulsos de metilprednisolona. Asimismo, los inmunosupresores son agentes útiles como ahorradores de esteroides, pero normalmente no funcionan como tratamiento de agente único. Para tratar a los pacientes con LESA se ha empleado el metotrexato, la azatioprina, la ciclofosfamida y el micofenolato mofetilo, con resultados variables. El rituximab, un anticuerpo monoclonal anti-CD20, se ha mostrado prometedor en casos refractarios 6,9.

Nuestro paciente presentó remisión completa de las lesiones a las 3 semanas de instaurado el tratamiento, y fue dado de alta. Lamentablemente, un mes después presenta complicaciones neurológicas asociadas al LES, por lo cual reingresó por Emergencia y falleció a los pocos días.

Durante la evolución de LESA, este a menudo presenta una remisión, y se resuelve incluso de manera espontánea en menos de un año. El desarrollo de LESA en un paciente con LES no suele generar un incremento de la mortalidad, dependiendo esta de la extensión de la erupción y de la respuesta a la terapia. Gharib también reporta un caso de LESA asociado a mortalidad, que difiere de los 15 casos publicados que él revisa, donde no se halló esta asociación 14.

REFERENCIAS BIBLIOGRÁFICAS

1. Duan L, Chen L, Zhong S, Wang Y, Huang Y, He Y, et al. Treatment of bullous systemic lupus erythematosus. J Immunol Res. 2015; 2015: 167064.

2. Navarro LMS, Poletti ED, Dominguez NVL, Lopez SS, Delgado MAS. Lupus eritematoso sistemico ampolloso: reporte de un caso y revision de la literatura. Dermatologia CMQ. 2012; 10(3): 182-7.

3. Cardoza RJ, Castelar ME, Serpas LM, Munoz M. Manifestaciones clinicas e histopatologicas de lupus eritematoso sistemico bulloso en un hospital de tercer nivel de atencion. El Salvador, 2016. Unidad Inv Cient. 2016.

4. Tincopa M, Puttgen KB, Sule S, Cohen BA, Gerstenblith MR. Bullous lupus: an unusual initial presentation of systemic lupus erythematosus in an adolescent girl. Pediatr Dermatol. 2010; 27(4): 373-6.

5. Charris EJE, Camargo JC, Siado JS, Buzon LC. Lupus ampolloso: un verdadero reto diagnostico y terapeutico. Biociencias. 2018; 13(1): 123-36.

6. Rutnin S, Chanprapaph K. Vesiculobullous diseases in relation to lupus erythematosus. Clin Cosmet Investig Dermatol. 2019; 12: 653-67.

7. Naranjo LAG, Duque GMV, Escobar MR. Enfermedad cutanea ampollosa en el lupus eritematoso sistemico. Iatreia. 2012; 25(3): 229-39.

8. De Risi-Pugliese T, Aubart FC, Haroche J, Moguelet P, Grootenboer-Mignot S, Mathian A, et al. Clinical, histological, immunological presentations and outcomes of bullous systemic lupus erythematosus: 10 New cases and a literature review of 118 cases. Semin Arthritis Rheum. 2018; 48(1): 83-9.

9. Contestable JJ, Edhegard KD, Meyerle JH. Bullous systemic lupus erythematosus: a review and update to diagnosis and treatment. Am J Clin Dermatol. 2014; 15(6): 517-24.

10. Zychowska M, Batycka-Baran A, Maj J, Baran W. Bullous systemic lupus erythematosus associated with increased activity of lupus nephritis: a case report and review of the literature. Postepy Dermatol Alergol. 2018; 35(4): 431-3.

11. Odonwodo A, Vashisht P. Bullous systemic lupus erythematosus. In: StatPearls. Treasure Island (FL): StatPearls Publishing; 2021.

12. Vargas GA, Gallego M, Carmona S. Lupus eritematoso sistemico ampolloso con mejoria lenta con dapsona. Rev Asoc Colomb Dermatol. 2016; 24(3): 211-5.

13. Vassileva S. Bullous systemic lupus erythematosus. Clin Dermatol. 2004; 22(2): 129-38.

14. Gharib K. Childhood bullous systemic lupus erythematosus: unusual prognosis. Egypt J Dermatol Venerol. 2021; 41(1): 16-21.


Notas

Fuente de financiamiento: El artículo ha sido financiado por los autores.

Recibido: 05 de Agosto de 2021; Revisado: 05 de Noviembre de 2021; Aprobado: 01 de Diciembre de 2021

Correspondencia: Karla Fiorella Aguilar García Dirección: Calle Ricardo Rosell 180, dpto. 202 Urbanización Los Rosales 1era etapa, Surco. Lima, Perú. Teléfono: +51 991242125 Correo electrónico: fiorella.aguilar.g@gmail.com

Conflicto de interés: Los autores declaran no tener ningún conflicto de intereses.

Creative Commons License Este es un artículo publicado en acceso abierto bajo una licencia Creative Commons