Introducción
La tuberculosis (TB) es una enfermedad infecciosa de amplia distribución en el mundo y es la principal causa de muerte entre las personas que viven con el VIH 1. Compromete diferentes aparatos y sistemas con predominio pulmonar en una relación de diez a uno sobre el extrapulmonar 2. Las formas extrapulmonares representan el 10-20 % de la TB en pacientes inmunocompetentes y más del 40 % en individuos VIH positivos. Es la forma de peor pronóstico y difícil diagnóstico 2-3.
La tuberculosis multisistémica se define como una infección de TB que afecta el torrente sanguíneo, la médula ósea, el hígado o dos o más sitios o sistemas no contiguos, e incluye la TB miliar que afecta a los pulmones 4. Además, se presenta con mayor frecuencia en pacientes con coinfección por VIH y la presentación de la enfermedad puede estar relacionada con el nivel de inmunosupresión del paciente 5. En pacientes con VIH avanzado con recuento de células CD4 < 250 células/mm, la progresión de la enfermedad es marcadamente diferente en comparación con los pacientes con recuento de células CD4 más alto 6. El diagnóstico sigue siendo un desafío, ya que las manifestaciones clínicas son diversas, las pruebas microbiológicas dependen de procedimientos invasivos y el gold standard del cultivo de micobacterias o la histopatología de apoyo no está disponible en su mayoría 7. Reportamos una presentación inusual de TB multisistémica que afectó el sistema urinario, respiratorio y digestivo de un paciente varón de 19 años inmunodeprimido por VIH. Se describen y discuten el tratamiento y el factor etiológico más prevalente, el SIDA.
Caso clínico
Varón de 19 años de edad, soltero, con grado de instrucción superior técnica, natural y procedente de Cascas. Presenta neurosis y refiere tener "flashbacks" y pesadillas que se producen como resultado de la agresión sexual por un familiar cuando tenía 6 años. A partir de dicho episodio desarrolló una clínica depresiva y ha manifestado deseos de suicidio. Consumió marihuana y tabaco durante 3 años desde que tenía 14 años, y un año después comenzaron las alucinaciones auditivas que le ordenaban lastimarse: se autolesionó en las piernas con un objeto punzocortante. Inició su actividad sexual activa y pasiva, sin protección y con parejas del mismo sexo, desde hace 3 años.
Seis meses antes de su internamiento, el paciente presentó una serie de síntomas como resfrío, hiporexia, diarrea y pérdida de peso (aproximadamente 20 kg); un mes y medio antes, disnea, tos seca, ortopnea y náuseas. En Trujillo le realizaron una prueba de tamizaje para VIH con resultado positivo. Posteriormente, los síntomas se agudizaron, la tos se tornó productiva con expectoración blanquecina, presentó agitación al reposo, astenia, inestabilidad a la bipedestación, malestar general, debilidad, insomnio y empeoramiento de los síntomas previos. Por su condición delicada, acudió por consultorio externo del servicio de Medicina Interna e ingresó en una silla de ruedas. Durante el examen físico estuvo lúcido y ventilando espontáneamente. Los signos vitales registrados fueron P/A: 100/72 mmHg, FC: 78 ppm, FR: 18 rpm, T: 36 °C, SatO₂: 99 % (FiO₂: 21 %). Se observó palidez de la piel +/+++, lesiones blanquecinas en la lengua, matidez palpable de 4 cm bajo el reborde costal derecho. Ganglio supraclavicular derecho de 1 cm (consistencia blanda), sin dolor durante la palpación; tres ganglios en región axilar izquierda, uno de 2 cm (móvil, blando y no doloroso), y dos de 0,5 cm no dolorosos; y ganglios inguinales bilaterales de 0,5 cm (móviles) con dolor leve durante la palpación.
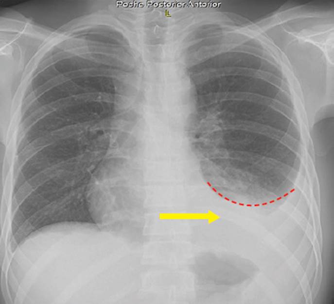
En la Tabla 1 se muestran los exámenes de laboratorio que se realizaron durante la hospitalización del paciente: baciloscopia en esputo con resultado negativo, baciloscopia en orina con resultado 5 BAAR y baciloscopia en heces que resultó positiva (+), ecografía torácica con reporte de líquido libre en ambos hemitórax, un volumen de 400 ml en el hemitórax izquierdo y 150 ml en el derecho; radiografía de tórax que muestra derrame pleural bilateral con predominio izquierdo (Figura 1); ecografía abdominal con hallazgos de esplenomegalia y nódulos hipoecogénicos (Figura 2); test de adenosina deaminasa en líquido pleural con valor 33. Los resultados de carga viral para VIH fueron 181 000 copias/ml y CD4: 63.
Se indicó dieta blanda astringente hipercalórica e hiperproteica, hidratación vía oral y parenteral. Recibió fluconazol 200 mg vía endovenosa (EV) cada 24 h y Daktarim gel ® (miconazol) 2-5 ml a manera de enjuague después de las comidas. Para el tratamiento contra la tuberculosis se inició con un esquema sensible: isoniazida 300 mg, rifampicina 600 mg, pirazinamida 1500 mg y etambutol 1200 mg vía oral (VO) cada 24 h, además, prednisona 50 mg VO cada 24 h, profilaxis con trimetoprim/sulfametoxazol 160/800 mg VO cada 24 h, paracetamol 1 g VO condicional en caso de fiebre o dolor. Asimismo, por sugerencia de psiquiatría, se administró sertralina 500 mg VO por 5 días y clonazepam 0,5 mg VO, también se aplicó medidas de higiene del sueño. Dos semanas posteriores al tratamiento antituberculoso se inició la terapia antirretroviral (TARV) con tenofovir 300 mg, lamivudina 300 mg y efavirenz 400 mg, y fue dado de alta.
En los controles posteriores al alta (2, 6 y 8 semanas), el paciente no refirió molestias debido al TARV, sus funciones vitales fueron estables y presentó buena adherencia a ambos tratamientos, con evolución favorable de los síntomas; sin embargo, manifestó náuseas y disminución del apetito luego de la toma del tratamiento antituberculoso en la octava semana. En el examen físico se mantiene la disminución del murmullo vesicular en el tercio inferior del campo pulmonar izquierdo.
Tabla 1 Exámenes de laboratorio alterados tomados el día del internamiento
HCM: hemoglobina corpuscular media; CHCM: concentración de hemoglobina corpuscular media; TP: tiempo de protrombina; TTP: tiempo de tromboplastina parcial
Figura 1 La radiografía de tórax anteroposterior muestra radiopacidad homogénea en tercio inferior del campo pulmonar izquierdo (flecha amarilla), que obtura seno costofrénico, con signo de menisco (líneas punteadas rojas). Seno costofrénico derecho libre y elementos óseos y partes blandas con características habituales
Discusión
La tuberculosis puede afectar cualquier sistema de órganos del cuerpo, y la TB multisistémica es un problema clínico importante que representa aproximadamente el 25 % de la morbilidad tuberculosa general 8. En países en vías de desarrollo donde la TB es endémica, la forma extrapulmonar representa hasta el 60 % de pacientes coinfectados con VIH, y frecuentemente muestran afectación pulmonar 2. El aumento proporcional de los casos de TB multisistémica se ha asociado con la infección del VIH, ya que existe una mayor susceptibilidad a la reactivación y diseminación de la tuberculosis en este tipo de pacientes 9. La TB diseminada se ha observado durante siglos, pero se desconoce su incidencia exacta. Además, los síntomas y signos son inespecíficos y simulan una variedad de enfermedades, lo que requiere un alto índice de sospecha para realizar un diagnóstico precoz 4.
Tras un diagnóstico de VIH, se busca la tuberculosis no solo a nivel pulmonar, sino en diversos órganos por la elevada incidencia de aparición de TB extrapulmonar en este tipo de pacientes. Los sistemas que se evaluaron fueron el digestivo y el urinario, con resultado positivo ante la presencia de colonias. Como limitación del caso, es importante reportar que no se identificó el lugar exacto de la aparición de los focos tuberculosos en ambos sistemas, por falta de biopsia guiada; pero, posteriormente, se confirma la presencia del bacilo con la toma de muestra de orina y heces.
El síndrome de inmunodeficiencia adquirida, SIDA, es la fase más grave de la infección por el VIH (fase 3). Una persona recibe el diagnóstico de SIDA cuando los recuentos de células CD4+ son menores a 200 células/mm3, o cuando comienza a presentar ciertas infecciones oportunistas 10. Estas infecciones se manifiestan según la gravedad de la supresión de los recuentos de CD4+, por lo que diversos estudios 11,12 clasifican su aparición en función de estos niveles. En todo paciente con SIDA, se busca alguna enfermedad concomitante que pueda exacerbarse por la inmunodeficiencia; además, se evalúa su estado mental para poder tener un buen control psiquiátrico y realizar un adecuado tratamiento antirretroviral que asegure la adherencia del paciente.
En nuestro caso, el paciente fue sometido a una prueba sérica 5 días después del internamiento, y 3 días después recibió los resultados con un recuento de CD4+ con valor de 63; por lo que ingresa al rango de infecciones oportunistas que aparecen con valores de CD4+ entre 500 a 100 cel/mm3. Como se menciona en la Tabla 2, puede aparecer cualquier tipo de infección oportunista de ese rango, pero con mayor prevalencia a la aparición de criptosporidiosis, criptococosis, microsporidiosis e infección por virus del herpes simple (VHS), los cuales aparecen desde un recuento < 100 cel/mm3 11,12.
Los pacientes que van a iniciar la TARV deben contar con exámenes auxiliares antes de comenzar el tratamiento. El hemograma arrojó valores normales, las transaminasas elevadas, la glucosa en ayunas y creatinina sérica normal. El paciente contaba con una radiografía de tórax que no mostraba tuberculosis pulmonar, pero la baciloscopia de esputo salió positiva. Entonces, primero se trató la TB multisistémica con un esquema sensible (2 HRZE/7 HR), y el TARV se inició luego de dos semanas de tratamiento porque sus CD4+ eran mayores a 50 cel/mm3. El objetivo de iniciar el TARV después del tratamiento antituberculoso es evitar el deterioro clínico por el síndrome inflamatorio de reconstitución inmunitaria (SIRS), que es más común en pacientes que inician ambos tratamientos al mismo tiempo. Esto podría ocurrir hasta una semana después del inicio del tratamiento 13,14, pero no solo por la exacerbación de la tuberculosis, sino de cualquier otra enfermedad oportunista e inclusive alguna enfermedad autoinmune no diagnosticada.
El paciente presentó estrés postraumático manifestado por pesadillas recurrentes, así como distimia expresada por un estado de ánimo deprimido, pérdida de peso, insomnio e ideas de muerte recurrente. Tras la evaluación psiquiátrica, se trató al paciente con sertralina, clonazepam e higiene del sueño. Al respecto, es importante resaltar que el consumo de cannabis es un factor de riesgo para diferentes trastornos psicóticos y posible factor causal de esquizofrenia. Asimismo, su uso repetido y consumo temprano previo a los 15 años estaría asociado a un mayor riesgo de desarrollar psicosis, y a medida que la dependencia al cannabis inicie a menor edad, existe mayor posibilidad de desarrollar síntomas psicóticos 15.
El tratamiento actual de los pacientes con TB asociada al VIH incluye la aplicación de un tratamiento antituberculoso eficaz, el uso de la TARV concurrente, la prevención de comorbilidades relacionadas con el VIH, el tratamiento de la citotoxicidad de los medicamentos y la prevención de situaciones adversas como el SIRS 16. Como control de la adhesión del paciente y respuesta adecuada al tratamiento antituberculoso, se realizaron baciloscopias, cultivos con enfoque en los sistemas donde se involucró la TB, así como exámenes de diagnóstico por imagen que comprueben la resolución de lo presentado antes del tratamiento. Con respecto al TARV, se evaluó la clínica para hacer un seguimiento de la evolución del paciente. Además, se realizó la valoración inmunológica y virológica mediante el recuento de CD4+ y ARN viral, respectivamente. Asimismo, en la Figura 2 se hallaron nódulos hipoecogénicos, que en un principio se sospecho que era un linfoma, aunque también podría ser propio de la infección existente. Para tener un diagnóstico certero será necesario realizar otro estudio por imágenes luego de varios meses de tratamiento y verificar si es que existe resolución o no.
Otro de los fármacos usados en el tratamiento del paciente fue el efavirenz, que produjo efectos secundarios que afectaron el sistema nervioso, tales como mareos, problemas de concentración, disforia, sueños vívidos o perturbadores e insomnio 14. En nuestro caso, el paciente presentó pesadillas e insomnio y se recomendó reemplazar el medicamento para evitar su posterior complicación.
En conclusión, destacamos la importancia de un diagnóstico y manejo multidisciplinario oportuno. Por ello, todo paciente recién diagnosticado con VIH/SIDA debe seguir una evaluación sistémica por la incidencia de aparición de infecciones oportunistas. Cabe señalar que la tuberculosis multisistémica es una de las más difíciles de tratar. Además, se debe tomar el CD4+ como indicador para profilaxis y factor determinante de inicio de adhesión al TARV, con el propósito de evitar la aparición de un deterioro clínico por el SIRS.

