10.24265/horizmed.2022.v22n1.10

Caso clínico

Inestabilidad hemodinámica por efecto Macklin en un paciente con COVID-19: reporte de caso

Hemodynamic instability due to Macklin effect in a patient with COVID-19: a case report

Santiago Gerardo Ruiz-Laos*  1  , Médico Intensivista
http://orcid.org/0000-0002-5847-2153

Aníbal Díaz-Lazo2  3  , Médico Internista
http://orcid.org/0000-0002-9282-9435

1 Hospital Regional Docente de Enfermedades Tropicales Julio Demarini Caro, La Merced, Chanchamayo, Junín, Perú.

2 Hospital Regional Docente Clínico Quirúrgico Daniel A. Carrión. Departamento de Medicina, Huancayo, Perú.

3 Universidad Peruana Los Andes, Facultad de Medicina Humana de Huancayo, Huancayo, Perú.


RESUMEN

Presentamos un caso de un neumomediastino espontáneo, efecto Macklin, en un hombre de 49 años con comorbilidades y diagnóstico de COVID-19. El paciente recibió soporte vital total pero evolucionó de manera desfavorable y con inestabilidad hemodinámica, la cual progresa a un choque obstructivo por el neumomediastino. Aunque es un cuadro inusual, es importante conocer la clínica, el diagnóstico y el manejo de esta entidad en las unidades de cuidados intensivos.

Palabras clave: Diagnóstico de Neumomediastino; Choque; Tomografía


ABSTRACT

This is the case of a 49-year-old male with spontaneous pneumomediastinum due to Macklin effect, who presented comorbidities and was diagnosed with COVID-19. The patient was placed on life support but showed an unfavorable progression with hemodynamic instability, which led to obstructive shock caused by pneumomediastinum. Despite being an unusual clinical entity, it is important to know its approach, diagnosis and management in the intensive care units.

Keywords: Pneumomediastinum, Diagnostic; Shock; Tomography


INTRODUCCIÓN

Han pasado cerca de diez meses desde el inicio de la pandemia por la infección del coronavirus-2 del síndrome respiratorio agudo severo (SARS-CoV-2), el cual es altamente letal, y que fue descrito por primera vez el 31 de diciembre del año pasado, en Wuhan (provincia de Hubei, China) 1,2. En los últimos años de investigación, se demostró que la mayoría de los coronavirus humanos ocasionan enfermedades respiratorias leves; sin embargo, el SARS-CoV, el MERS-CoV y, recientemente, el SARS-CoV-2 son muy similares en su forma de presentación, comparten síntomas y signos, así como una elevada mortalidad 3. Por lo tanto, ya se ha demostrado que los pacientes con la enfermedad por coronavirus 2019 (COVID-19) pueden presentar diversos síntomas 4.

Hacia finales de los años 30 del siglo pasado, el investigador Macklin informa el efecto fisiopatológico que produce el rompimiento alveolar y que ocasiona el neumomediastino, el cual describe como un efecto sucesivo de tres fenómenos (rompimiento alveolar, escisión de las vainas broncovasculares y propagación del enfisema intersticial pulmonar hacia el mediastino) que ponen en riesgo la vida de un paciente 5. Por lo general, el efecto Macklin está relacionado a diversas entidades como contusión torácica, síndrome de dificultad respiratoria del neonato, crisis y estado asmático, ventilación mecánica con presión positiva o maniobras de rescate 6. El diagnóstico confirmatorio de este fenómeno se realiza con una tomografía computarizada de tórax 7. Por otro lado, durante la pandemia por coronavirus 2019 (COVID-19), algunos pacientes han presentado tos exigente y compromiso pulmonar severo, que pueden ser los factores implicados en la incidencia del neumomediastino espontáneo, el cual es una complicación rara en las neumonías virales 8,9.

En pocos casos, la evolución del neumomediastino puede ser tórpida y desfavorable 9-11, lo que ocasiona inestabilidad hemodinámica y disminuye la presión arterial media por debajo de 65 mmHg, lo que se considera dentro de los criterios de shock12-15. Por ello, el monitoreo intensivo en una unidad de cuidado crítico es valioso para evitar complicaciones por la hipoperfusión a consecuencia de la hipotensión, que se presenta junto con la aparición de otras fallas orgánicas. Para el diagnóstico se emplea la tomografía de tórax (en diversos cortes topográficos como coronal, sagital y axial) con la finalidad de observar el aire libre en el mediastino. Así mismo, es necesario el seguimiento, evaluación y monitoreo en la Unidad de Cuidados Intensivos debido al riesgo de una evolución desfavorable, la cual cursa con una alta mortalidad

REPORTE DE CASO

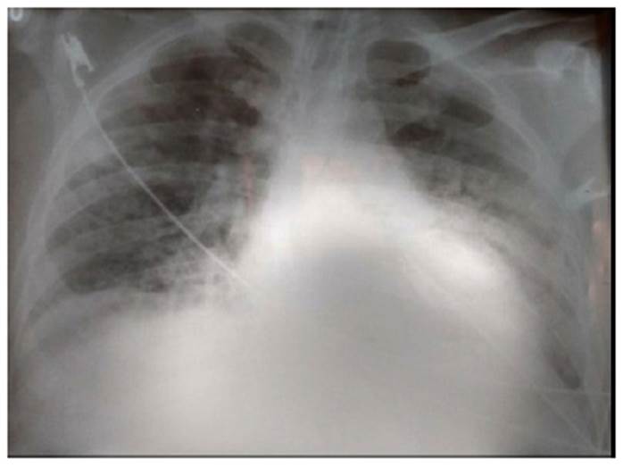
Paciente varón de 49 años, comerciante, natural del distrito de Huacho, provincia de Huaura, ubicada al norte de la ciudad de Lima; tiene antecedentes de obesidad (índice de masa corporal de 41,86) y diabetes mellitus tipo 2, con tratamiento de metformina de 850 mg. El 9 de setiembre de 2020, el paciente ingresa al hospital regional de la misma ciudad llevado por sus familiares, con un tiempo de enfermedad de 10 días, de inicio insidioso y curso progresivo. El cuadro se caracteriza por encefalopatía, tos seca, sensación de alza térmica no cuantificada en el hogar, dificultad respiratoria y cefalea. Examen clínico: presión arterial en 110/70 mmHg, frecuencia respiratoria de 42 por minuto, temperatura de 36 grados centígrados, saturación de oxígeno de 78 % con una fracción inspiratoria de oxígeno del 100 %, con bolsa de reservorio. Piel tibia, húmeda, con tejido celular subcutáneo adecuado y uñas con signos de cianosis periférica. Aparato cardiovascular: ruidos cardiacos rítmicos, bajo tono, no soplos. Aparato respiratorio: murmullo vesicular disminuido en ambos campos pulmonares, crépitos leves en ambas bases pulmonares y roncantes difusos. Abdomen: blando depresivo, ruidos hidroaéreos presentes, no masas palpables. Neurológico: Glasgow 14/15 puntos, reflejo tusígeno positivo, pupilas isocóricas y fotoreactivas. Exámenes de laboratorio: glóbulos blancos: 12 150 x mm3; abastonados: 0 %; hemoglobina: 13,5 g/dl; hematocrito: 40,1 %; plaquetas: 225 000 x mm3; INR: 0,60 S/U; glucosa: 143 mg/dl; creatinina: 0,8 mg/dl; urea: 19 mg/dl; proteínas totales: 6,49 g/dl; albumina: 3,99 g/dl; globulina: 2,50 g/dl; bilirrubina total: 0,54 mg/dl; fosfatasa alcalina:80 UI; aspartato-aminotransferasa: 31 UI; alanina- aminotransferasa:16 UI; prueba rápida para COVID-19 con IgM e IgG positivo; dímero D positivos: 1,45 UGI/L (VN: < 0,5). Análisis de gases arteriales y electrolitos (11/9/20): pH: 7,46; pO₂: 59 mmHg; pCO₂: 40 mmHg, HCO3: 35,6 meq/L; Na: 133 meq/L; K: 3,8 meq/L; Cl: 98 meq/L. (9/9/20): pH: 7,19; pO₂: 69 mmHg; pCO₂: 66 mmHg; HCO₃: 40 meq/L; Na: 140 meq/L; K: 4,1 meq/L; Cl: 104 meq/L. (10/9/20): pH: 7,31; pO₂: 132 mmHg; pCO₂: 84 mmHg; HCO₃: 39,3 meq/L; Na: 140 meq/L; K: 3,7 meq/L; Cl: 98 meq/L. Radiografía de tórax: signos de infiltración alveolar difusa en ambos campos pulmonares (Figura 1).

Figura 1 Infiltrado alveolar bilateral en ambos campos pulmonares 

El paciente ingresó a la Unidad de Cuidados Intensivos con los siguientes diagnósticos: insuficiencia respiratoria, sepsis por infección por COVID-19 y diabetes mellitus 2 compensada. Se planteó la siguiente terapéutica: nada por vía oral, ClNa 90/000 + ClK 20 % (EV a 80 cc/h), ceftriaxona 2 g (EV c/24 h), azitromicina 500 mg (SNG c/24 h), ivermectina 80 gotas (SNG c/24 h), vitamina C 2,5 g (EV c/12 h), zinc 30 mg (SNG c/12 h), paracetamol 1 g (EV condicional a T > 38,5 °C), hemoglucotest (c/8 h), soporte de oxígeno, control de funciones vitales, balance hidroelectrolítico y con estrategia respiratoria de pronación. Al inicio del segundo día de hospitalización, presenta hemodinamia estable, la cual se deteriora de manera espontánea y progresiva; al promediar el medio día, presenta disminución de la saturación de 95 % a 60 %, FR: 46 veces por minuto, FC: 105 por minuto, PA: 150/97 mmHg, encefalopatía, agitación psicomotriz, cianosis central y periférica, signos de hipoperfusión, y con caída brusca del PO₂; además, presenta enfisema subcutáneo en la región cervical. Debido a la inestabilidad, se protege la vía aérea con intubación endotraqueal. La tomografía helicoidal multicorte de tórax muestra una imagen de neumomediastino espontáneo (Figura 2) que se extiende a las zonas cervical y abdominal (Figura 3), y se evidencia el efecto Macklin espontáneo.

Figura 2 Tomografía helicoidal de tórax, corte transversal. Se observa el enfisema subcutáneo y el neumomediastino que limita el espacio de la cavidad cardiaca 

Figura 3 Tomografía helicoidal de tórax (vista sagital). Se observa aire libre que diseca áreas anatómicas y se desplaza hacia diversas regiones topográficas 

Se brinda ventilación mecánica protectiva con soporte integral total y monitoreo constante, lo que mejora la saturación a 85 %, con FiO₂ 100 % y la frecuencia cardiaca con 90 latidos por minuto. Sin embargo, persiste la hipertensión arterial con 162/98 mmHg. La inestabilidad hemodinámica continúa con descenso brusco de la presión arterial de 170/110 mmHg a 50/35 mmHg, por lo cual se inicia el tratamiento con reto de fluidos e inotrópicos, y se obtiene una respuesta hemodinámica desfavorable, insuficiencia respiratoria severa y tendencia a la oligoanuria. El paciente tiene una mala evolución y fallece a las 72 horas de su ingreso, aproximadamente, con los diagnósticos agregados a los planteados, de efecto Macklin y shock obstructivo.

DISCUSIÓN

La fisiopatología descrita conlleva a cuadros de neumonía grave con daño alveolar difuso, lo que puede producir o condicionar a un neumomediastino espontáneo, aunque su presentación es poco frecuente 16. Por la historia clínica, el paciente presentó tos seca en los días previos al ingreso y durante la hospitalización, lo que pudo condicionar un aumento de la presión en la vía aérea distal con efecto de rotura alveolar y salida súbita de aire al intersticio pulmonar peribroncovascular, que diseca las estructuras anatómicas hasta alcanzar el mediastino, mecanismo que se define como el efecto Macklin 6,7.

En este caso, en la placa de rayos X inicial no se evidencia aire libre. El neumomediastino espontáneo se presenta de forma muy rara en las neumonías víricas. Pocas publicaciones reportan casos aislados en las neumonías por SARS (síndrome respiratorio agudo severo) y por la influenza AH1N1 o la SARS-CoV-2; la evolución de estos pacientes cursa con complicaciones cardiovasculares y respiratorias 10.

El neumomediastino espontáneo es una emergencia poco frecuente en pacientes pediátricos y jóvenes 17, y que provoca confusión en los casos de adultos, con una incidencia que va desde 1:800 a 1:42.000 pacientes atendidos en emergencia 18 y que se debe descartar de otras etiologías como la perforación esofágica espontánea o síndrome de Boerhaave. Al examinar la tomografía de tórax de nuestro paciente, se evidencia que el aire diseca adecuadamente las estructuras anatómicas del mediastino y que no daña o perfora algún órgano. El efecto de distensibilidad de las estructuras blandas mediastínicas y cervicales propician el descenso de la presión intratorácica. Sin embargo, se han descrito casos excepcionales de neumomediastino con compromiso hemodinámico, como en este paciente, que se ha considerado dentro de la clasificación de neumomediastino a tensión 12. La inestabilidad hemodinámica fue súbita 13, y se caracterizó por dolor torácico retro esternal, que se presenta en el 27,8 % de casos 19-21, y disnea 13,20,22,23, descrita entre el 19,4 al 88 % de los pacientes 17,19. Además, se observaron otros síntomas en el paciente como dolor cervical, disfonía, disfagia, tos persistente, náuseas y ansiedad 20,22-24.

Por lo general, la evolución es favorable y autolimitada, aunque en pocos casos puede ser desfavorable y tórpida y progresar a un neumomediastino a tensión, tal como lo exponen Macia et al. 22 al reportar que el 37 % de los pacientes con neumomediastino a tensión presentan complicación hemodinámica, con hipotensión como signo inmediato, descartando al neumotórax a tensión y al shock como primeras causas 14,15. El choque obstructivo disminuye el gasto cardiaco por reducción de la compliance cardiaca y sus estructuras adyacentes: tiene el mismo efecto de un taponamiento cardiaco, quizás por un incremento de la presión intratoráxica, la cual origina una caída significativa del gasto cardiaco, como se ha descrito en el neumotórax a tensión o taponamiento cardiaco 25, lo que alcanza una alta mortalidad, que oscila hasta un 57 %, tal como lo describen Rolim-Marques et al. 26. Esto explica la inestabilidad hemodinámica de nuestro paciente y la persistencia de la hipotensión arterial a pesar del tratamiento de soporte.

En conclusión, el neumomediastino a tensión espontáneo con shock obstructivo es una entidad poco frecuente, pero con una elevada mortalidad.

REFERENCIAS BIBLIOGRÁFICAS

1. Mao L, Wang M, Chen S, He Q, Chang J, Hong C, et al. Neurological manifestations of hospitalized patients with COVID-19 in Wuhan, China: a retrospective case series study. MedRxiv. 2020.

2. GenBank. Wuhan seafood market pneumonia virus isolate Wuhan-Hu-1, complete genome [Internet]. 2020. Disponible en: http://www.ncbi.nlm.nih.gov/nuccore/MN908947.3

3. Li Y-C, Bai W-Z, Hashikawa T. The neuroinvasive potential of SARS-CoV2 may play a role in the respiratory failure of COVID-19 patients. J Med Virol. 2020; 92(6): 552-5.

4. AHA/ASA Stroke Council Leadership. Temporary emergency guidance to US Stroke Centers during the Coronavirus Disease 2019 (COVID-19) pandemic: on behalf of the American Heart Association/American Stroke Association Stroke Council Leadership. Stroke. 2020; 51(6): 1910-2.

5. Macklin CC. Transport of air along sheaths of pulmonic blood vessels from alveoli to mediastinum: clinical implications. Arch Intern Med. 1939; 64(5): 913-26.

6. Wintermark M, Schnyder P. The Macklin effect. A frequent etiology for pneumomediastinum in severe blunt chest trauma. Chest. 2001; 120(2): 543-7.

7. Sakai M, Murayama S, Gibo M, Akamine T, Nagata O. Frequent cause of the Macklin effect in spontaneous pneumomediastinum: demonstration by multidetector-row computed tomography. J Comput Assist Tomogr. 2006; 30(1): 92-4.

8. Gorospe L, Ayala-Carbonero A, Ureña-Vacas A, Fernández S, Muñoz- Molina GM, Arrieta P, et al. Spontaneous pneumomediastinum in patients with COVID-19: a case series of four patients. Arch Bronconeumol. 2020; 56(11): 754-6.

9. Zendah I, Bacha S, Daghfous H, Ben M’rad S, Merai S, Tritar F. Management of spontaneous pneumomediastinum in the adult: 14 cases and a review of the literature. Rev Pneumol Clin. 2010; 66(3): 163-6.

10. O’Connor JV, Scalea TM. Tension pneumopericardium after blunt thoracic trauma. Ann Thorac Surg. 2010; 90(5): 1713.

11. Wang J, Su X, Zhang T, Zheng C. Spontaneous pneumomediastinum: a probable unusual complication of coronavirus disease 2019 (COVID-19). Korean J Radiol. 2020; 21(5): 627-8.

12. Newcomb AE, Clarke CP. Spontaneous pneumomediastinum: a benign curiosity or a significant problem? Chest. 2005; 128(5): 3298-302.

13. Takada K, Matsumoto S, Hiramatsu T, Kojima E, Watanabe H, Sizu M, et al. Management of spontaneous pneumomediastinum based on clinical experience of 25 cases. Respir Med. 2008; 102(9): 1329-34.

14. Zakynthinos E, Karetsi E, Diakaki C. Pneumopericardium after blunt chest trauma: mechanical ventilation with positive pressure must be avoided. Int J Cardiol. 2008; 124(1): e8-10.

15. Kallel N, Beloeil H, Geffroy A, Albaladejo P, Marty J. Post-traumatic tension pneumothorax and pneumopericardium in spontaneous ventilation. Ann Fr Anesth Reanim. 2004; 23(4): 364-6.

16. Li K, Fang Y, Li W, Pan C, Qin P, Zhong Y, et al. CT image visual quantitative evaluation and clinical classification of coronavirus disease (COVID-19). Eur Radiol. 2020; 30: 4407-16.

17. Dekel B, Paret G, Szeinberg A, Vardi A, Barzilay Z. Spontaneous pneumomediastinum in children: clinical and natural history. Eur J Pediatr. 1996; 155(8): 695-7.

18. Weissberg D, Weissberg D. Spontaneous mediastinal emphysema. Eur J Cardiothorac Surg. 2004; 26(5): 885-8.

19. Campillo-Soto A, Coll-Salinas A, Soria-Aledo V, Blanco-Barrio A, Flores-Pastor B, Candel-Arenas M, et al. Spontaneous pneumomediastinum: descriptive study of our experience with 36 cases. Arch Bronconeumol. 2005; 41(9): 528-31.

20. Santiago-Aguinaga IJ, Martínez-Bayarri Ubillos M. Neumomediastino espontáneo. Análisis de 16 casos. Emergencias. 2000; 12: 321-5.

21. Mondello B, Pavia R, Ruggeri P, Barone M, Barresi P, Monaco M. Spontaneous pneumomediastinum: experience in 18 adult patients. Lung. 2007; 185(1): 9-14.

22. Macia I, Moya J, Ramos R, Morera R, Escobar I, Saumench J, et al. Spontaneous pneumomediastinum: 41 cases. Eur J Cardiothorac Surg. 2007; 31(6): 1110-4.

23. Perna V, Vilà E, Guelbenzu JJ, Amat I. Pneumomediastinum: is this really a benign entity? When it can be considered as spontaneous? Our experience in 47 adult patients. Eur J Cardiothorac Surg. 2010; 37(3): 573-5.

24. Kelly S, Hughes S, Nixon S, Paterson-Brown S. Spontaneous pneumomediastinum (Hamman's syndrome). Surgeon. 2010; 8(2): 63-6.

25. Pich H, Heller AR. Obstructive shock. Anaesthesist. 2015; 64(5): 403-19.

26. Rolim-Marques AF, Hermogenes Lopes L, dos Santos Martins M, Vanderlei Carmona C, Pereira Fraga G, Shiyoti Hirano E. Tension pneumopericardium in blunt thoracic trauma. Int J Surg Case Rep. 2016; 24: 188-90.


Fuente de financiamiento: El artículo ha sido financiado por los autores.

Recibido: 19 de Noviembre de 2020; Revisado: 03 de Marzo de 2021; Aprobado: 11 de Junio de 2021

Correspondencia: Santiago Gerardo Ruiz-Laos Dirección: Av. Chacra Grande, parcela 18 manzana E Lote 11, Carabayllo. Lima, Perú. Teléfono: +51 954 862 003 Correo electrónico: drgerul@hotmail.com

Contribuciones de los autores: GRL participó en el diseño del estudio, recolección de datos, análisis e interpretación de los datos, en la redacción del manuscrito y aprobó la versión para su publicación. ADL participó en el diseño del estudio, interpretación de los datos, redacción y aprobó la versión para su publicación.

Conflictos de interés: Los autores declaran no tener ningún conflicto de intereses.

Creative Commons License Este es un artículo publicado en acceso abierto bajo una licencia Creative Commons