Introducción
El linfoma de Hodgkin (LH) es una neoplasia maligna derivada de linfocitos B alterados que, de acuerdo con sus características, se clasifica en dos tipos: a) linfoma de Hodgkin clásico (LHC), que es más frecuente y usualmente asociado con el virus de Epstein Barr (VEB), constituido por células neoplásicas multinucleadas denominadas de Reed-Sternberg o mononucleadas llamadas de Hodgkin (HRS), las cuales expresan CD30, PAX5, y suelen ser positivas a CD15 y negativas para marcadores genéricos de linfocitos B o linfocitos T; b) linfoma de Hodgkin predominantemente linfocítico nodular (LHPLN), cuyas células son positivas para marcadores pan-B y negativas para CD30, CD15 y VEB 1,2. El tratamiento estándar del LH es efectivo, aunque hay un subgrupo de casos que son refractarios o recaen después del tratamiento 3. En el Perú el LH es frecuente, sobre todo el asociado al VEB 4.
En los últimos años se está utilizando con éxito la inmunoterapia para el tratamiento de diversos tipos de cáncer, basada en la estimulación de la respuesta linfocítica citotóxica, al desbloquear los mecanismos de escape a la inmunovigilancia que usualmente se produce en algunos tipos de cáncer. Una de las estrategias utilizadas por las células tumorales para evadir esta vigilancia inmunológica es la expresión del ligando de la proteína de muerte programada 1 (PD-L1), que al unirse con su receptor (PD-1), expresado en los linfocitos T citotóxicos (LTC) y macrófagos asociados al tumor (MAT), anula la acción de reconocimiento inmunológico. Una forma de inmunoterapia está basada en el bloqueo del receptor PD-1 por anticuerpos monoclonales específicos, lo que permite reestablecer la acción de respuesta inmunitaria de los LTC hacia el tumor 3,5.
Diversos estudios han determinado la expresión de PD-L1 en las HRS y de PD-1 y PD-L1 en los linfocitos T citotóxicos del MAT, y los resultados son controversiales 6-12. El objetivo de este estudio es determinar la expresión de PD-L1 en las HRS de linfoma de Hodgkin clásico (LHC) en biopsias de casos diagnosticados en el Instituto Nacional de Enfermedades Neoplásicas (INEN), teniendo en cuenta la importancia de estos datos para posibles tratamientos inmunológicos.
Materiales y métodos
Diseño y población de estudio
El presente estudio es no experimental, descriptivo, transversal y retrospectivo. Se evaluaron 25 biopsias embebidas en parafina correspondientes a pacientes con diagnóstico de LHC que fueron atendidos en el INEN entre los años 2015 y 2018 (muestreo probabilístico, aleatorio simple). Se consideraron como criterios de inclusión a los casos de LHC con muestras parafinadas en buen estado de conservación durante el periodo 2015-2018 y con información clínica relevante. Entre los criterios de exclusión se consideraron pacientes con antecedentes de enfermedades inmunológicas asociadas.
Variables y mediciones
Las variables utilizadas fueron expresión de PD-L1, edad, sexo y estadio clínico.
Para las mediciones se utilizaron los siguientes reactivos: buffer de lavado TBS Tween 20 (10x), buffer de recuperación Tris EDTA pH 9.0, anticuerpo anti PDL-1(clona CAL 10), peroxidase blocking reagent, primary antibodies amplifier master, master polymer plus HRP, DAB substrate buffer, DAB chromogen (adquiridos por Vitro Master Diagnóstica), hematoxilina de Harris (Biopack).
Además, se usó el equipo de pretratamiento PT-Link (Agilent Dako) y el procesador automático de IHQ (Autostainer Link 48, Agilent Dako), así como el micrótomo de rotación Leica RM2125RT.
En el procesamiento y posterior evaluación de los resultados de IHQ para la expresión de PD-L1, se prepararon bloques con pequeñas muestras, tomadas de las biopsias parafinadas de los casos seleccionados, a las cuales se ordenó en filas de 12 casos por bloque o micromatriz de tejido (TMA). Se realizaron las reacciones en una sola corrida, y se incluyó muestras control positivas en cada caso. Previamente, se ejecutó la tinción de HE para la reevaluación histológica en cada sección de TMA. Esta técnica permitió el análisis simultáneo de múltiples muestras de tejidos integrados en un único bloque de parafina, lo que garantizó la homogeneidad de resultados y un considerable ahorro de tiempo y reactivos 13.
Se obtuvieron secciones de los bloques de parafina de los TMA, que contienen las muestras tisulares, mediante micrótomo de rotación Leica (3 micras). Estas secciones se adhirieron a láminas porta objetos cargadas y expuestas a calor mediante estufado a 60 ºC por 60 min 14.
Para la determinación de la expresión del PD-L1, se colocaron las láminas con las muestras en el equipo de pretratamiento PT-Link (Agilent Dako) y el procesador automático de IHQ (Autostainer Link 48, Agilent Dako) para realizar la recuperación antigénica e inmunotinción, respectivamente, y se siguió los protocolos establecidos para el anticuerpo anti PDL-1 (Vitro Master Diagnóstica, clona CAL 10). La recuperación antigénica se realizó mediante incubación de las muestras tisulares en Tris EDTA pH 9.0 por 20 min a 92 ºC. Se determinó la expresión del PD-L1 mediante IHQ, y se utilizó la metodología a base de polímeros (Vitro Master Diagnóstica). El antígeno PD-L1 presente en la muestra tisular fue reconocido por el anticuerpo monoclonal de conejo anti-PD-L1 mediante incubación por 20 min a temperatura ambiente; el complejo antígeno-anticuerpo formado ante la presencia del antígeno fue amplificado mediante Primary Antibodies Amplifier Vitro Master Diagnóstica durante 10 min a temperatura ambiente. Este complejo antígeno-anticuerpo fue reconocido por un anticuerpo secundario antiespecie (Master Polymer Plus HRP Vitro Master Diagnóstica) mediante incubación de 15 min a temperatura ambiente. El revelado de dicha actividad se visualizó mediante una reacción colorimétrica marrón con diaminobenzidina (DAB Cromogen-Vitro Master Diagnóstica), y, por último, se procedió con la contratinción con hematoxilina por 15 s y los correspondientes lavados entre paso y paso 15.
Se consideró positividad de expresión de proteína de muerte programada 1 (PD-L1) cuando se encontró tinción de membrana en 5 % o más de las células Reed-Sternberg-Hodgkin (HRS).
Análisis estadístico
Los datos obtenidos fueron registrados en fichas de recolección de datos, diseñadas especialmente para este estudio, luego se trasladaron al programa Excel de Microsoft Office (Microsoft, Inc., Redmond, Washington, EE. UU.)
Las diferencias entre grupos de pacientes con mayor y menor expresión de PD-L1 (punto de corte 50 %), respecto a características cuantitativas, se evaluaron con la prueba T o su correspondiente prueba no paramétrica (previa evaluación de normalidad). Las asociaciones entre grupos de pacientes PD-L1 con características cualitativas se evaluaron con la prueba chi-cuadrado, y se aplicó la corrección de Yates o se agrupó en categorías cuando correspondió.
El tiempo de seguimiento para la estimación de la supervivencia global comprendió desde la fecha de ingreso hasta la fecha de muerte (evento de interés) o la fecha de la última consulta. Los pacientes que no alcanzaron el evento de interés se consideraron como censurados. Las curvas de supervivencia se estimaron con el método de Kaplan-Meier y las diferencias entre curvas se evaluaron con el test logrank.
Resultados
Los 25 pacientes en estudio tuvieron, en promedio, 28,9 años al momento del diagnóstico (rango 5-64 años); el 68,0 % (n = 17) de pacientes fueron varones, y el 32,0 % (n = 8), mujeres. Todos los casos tuvieron tumores que expresaron PD-L1 en más del 1 %; el 80 % de las muestras tuvieron una expresión del receptor igual o mayor al 50 % (Figura 1, Figura 2 y Figura 3).
Las características generales de los pacientes en estudio se muestran en la Tabla 1.
Tabla 1 Características de los pacientes en estudio (n = 25)
| N (%) | |
|---|---|
| Edad, años | |
| Promedio [min-max] | 28,90 [5,00-64,00] | 
| Sexo | |
| Hombres | 17,00 (68,00) | 
| Mujeres | 8,00 (32,00) | 
| Localización | |
| Cervical | 20,00 (80,00) | 
| Mediastinal | 16,00 (64,00) | 
| Axilar | 13,00 (52,00) | 
| Retroperitoneal | 9,00 (36,00) | 
| Bazo | 5,00 (20,00) | 
| Hueso | 5,00 (20,00) | 
| Hígado | 3,00 (12,00) | 
| Inguinal | 2,00(8,00) | 
| Intra abdominal | 2,00 (8,00) | 
| Orbitario | 1,00(4,00) | 
| Pleura | 1,00 (4,00) | 
| Partes blandas | 1,00 (4,00) | 
| Estadio clínico | |
| I | 2,00 (8,00) | 
| II | 8,00 (32,00) | 
| III | 7,00 (28,00) | 
| IV | 7,00 (28,00) | 
| Sin registro | 1,00 (4,00) | 
| Quimioterapia | |
| No | 2,00 (8,00) | 
| QT | 18,00 (72,00) | 
| QT+TPH | 3,00 (12,00) | 
| TPH autólogo y alogénico | 1,00 (4,00) | 
| Sin registro | 1,00 (4,00) | 
| Subtipo histológico | |
| EN | 12,00 (48,00) | 
| CM | 4,00 (16,00) | 
| RL | 1,00 (4,00) | 
| DL | 1,00 (4,00) | 
| PLN | 1,00 (4,00) | 
| Sin registro | 6,00 (24,00) | 
| PD-L1 | |
| <50 % | 5,00 (20,00) | 
| ≥50 % | 20,00 (80,00) | 
* PD-L1: ligando de la proteína de muerte programada
Figura 1 Linfoma de Hodgkin clásico: células neoplásicas HRS (a), intercaladas con linfocitos (b), histiocitos (c) y menor proporción de eosinófilos (d). Tinción H&E (40X)
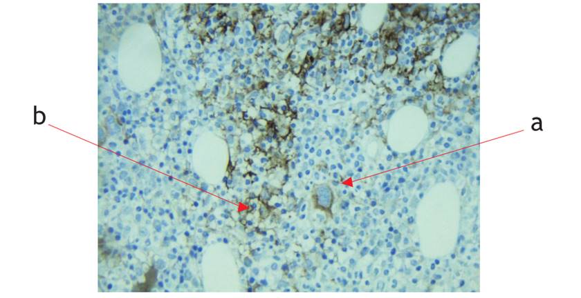
Figura 2 Linfoma de Hodgkin clásico: marcada tinción de membrana en más del 50 % de las células HRS (a). Los histiocitos (b) también muestran tinción de membrana. IHQ para PD-L1 (40X)
Figura 3 Linfoma de Hodgkin Clásico: marcada tinción de membrana en menos del 50% de las células HRS (a). Los histiocitos (b) también muestran tinción de membrana. IHQ para PD-L1 (40X).
Hubo un total de 4 muertes (16,0 %) en el grupo en estudio, y todas correspondieron al grupo cuyos tumores expresaron PD-L1 mayor o igual al 50 %. No hubo fallecidos en los pacientes con PD-L1 menor al 50 %. La supervivencia global a los 12, 36 y 60 meses se estimó en 94,4 %, 94,4 % y 76,3 %, respectivamente; no se encontró una diferencia significativa en la supervivencia global según los grupos de PD-L1 (Figura 4). De los 4 pacientes fallecidos, uno no recibió tratamiento y los otros tres fueron refractarios a la quimioterapia
En la Tabla 2 se muestra la relación de los grupos PD-L1 menor al 50 % y mayor o igual al 50 % con la edad, el sexo y el estadio clínico. No se encontró una relación significativa de los grupos PD-L1 con la edad, el sexo y el estadio clínico
Tabla 2 PD-L1 y características de los pacientes
| PD-L1 | |||
|---|---|---|---|
| <50 % | ≥50 % | p | |
| Edad, años | |||
| Promedio [min-max] | 29,60 [5,00-64,00] | 28,80 [5,00-53,00] | 0,973 | 
| Sexo | |||
| Mujeres | 0 (0,0) | 8,00 (40,00) | |
| Hombres | 5,00 (100,00) | 12,00 (60,00) | 0,238 | 
| Estadio clínico | |||
| I-II | 2,00 (40,00) | 8,00 (42,10) | |
| III-IV | 3,00 (60,00) | 11,00 (57,90) | 1,000 | 
Discusión
En el presente estudio se analizó la expresión de PD-L1 en 25 casos de LHC y se correlacionó con la edad, sexo, estadio clínico y sobrevida global. Todos los pacientes en el estudio recibieron tratamiento convencional con quimioterapia, pero las biopsias fueron tomadas previamente a dicho tratamiento. Se encontró expresión de PD-L1 en las HRS en los 25 casos investigados, y se evidenció 80,00 % de estos con 50,00 % o más de positividad. Un interesante estudio, realizado por Hollander y colaboradores, comparó la positividad de PD-L1 en HRS en biopsias pretratamiento con biopsias postratamiento, y se encontró un incremento significativo de la expresión en los casos tratados. También observaron que en las biopsias de casos recurrentes todos los casos expresaron PD-L1, mientras que en las primeras biopsias de los casos tratados la expresión fue de 87,00 % 8. Se especula que esta regulación al alza se debe, principalmente, a mecanismos genéticos que ocurren por el tratamiento antineoplásico, como la alteración en el gen 9p24.1 16. Además, en otra publicación se encontró un incremento de PD-L1 en las HRS luego del tratamiento, pero con menor porcentaje de positividad en los casos evaluados. En este estudio, solo 18,00 % de los casos mostraron expresión de PD-L1 antes del tratamiento, mientras que 47,00 % evidenció positividad luego del tratamiento 6. La peculiaridad en este informe es que todos los casos mostraron expresión de PD-L1, en la mayoría con alta positividad (80 %), y las biopsias fueron tomadas previamente al tratamiento. En los dos estudios previos hay diferencias en porcentaje de expresión de esta proteína, y se destaca que, en los casos tratados, la expresión de PD-L1 es alta o mayor que los no tratados. Esto podría significar que en nuestros pacientes hay mecanismos no identificados que desregulan PDL-1 independientemente del tratamiento o de la recurrencia.
La alta expresión de PD-L1 en las HRS tiene implicancias terapéuticas. El tratamiento con inhibidores de PD-1 se ha asociado con altas tasas de respuesta objetiva en casos de LHC con enfermedad refractaria o recidivante 17-19. La mayor expresión de PD-L1 y/o PD-2, como se comentó líneas arriba, se debería a la amplificación del cromosoma 9p24.19 y a la activación de AP-110 por las HRS, que indujo la ruta de JAK-STAT 12,17,20. El mecanismo de la respuesta terapéutica al bloqueo de PD-1 en LHC podría explicarse por el hecho de que la interrupción de la interacción PD-1/PD-L1 o PD-L2 inicia una cascada de eventos de señalización que invierte el fenotipo agotado en las células T y desencadena una respuesta celular inmunitaria eficaz contra las células tumorales 21. Además, Jalali et al. observaron que la forma soluble de PD-1 se incrementa significativamente en el suero de pacientes con LHC en comparación con los sujetos sin enfermedad. Según lo mencionado en el reporte, PD-1 soluble tiene la capacidad de inducir la señalización inversa de PD-L1 en líneas celulares de LHC y el tratamiento con anti-PD-1 (nivolumab) podría revertir este efecto, y sugiere que hay un mecanismo funcional y biológico importante para estas formas solubles 12. Otro informe indica que el metabolismo energético de las HRS es altamente dependiente de la fosforilación oxidativa, de tal modo que los efectos de los bloqueadores de PD-1 en pacientes con LHC podrían estar mediados por la interrupción de la fosforilación oxidativa mitocondrial de las HRS, y, posiblemente, la señalización inversa PD-L1 juega un papel significativo en este contexto 12,22.
La expresión de PDL-1 en las HRS en este estudio no demostró asociación con edad, sexo, estadio clínico (EC), ni sobrevida global (SG) cuando se comparó dos grupos con punto de corte en 50,00 % de positividad. Esto corrobora lo encontrado en otros informes 8,10. Sin embargo, en otro estudio, en el que también se encontró alta expresión (97,00 %) de PDL-1 en las HRS del LHC 16, estas tenían, además, alteraciones concordantes de los loci PDL-1 y PD-L2 (polisomía, ganancia de copia, amplificación), encontrándose una asociación entre la expresión de PDL-1 y las alteraciones genéticas en esta serie, y la supervivencia libre de progresión significativamente más corta fue para los pacientes con amplificación de 9p24.1. Llama la atención que la incidencia y amplificación de 9p24.1 se incrementó en pacientes con cáncer avanzado. Además del posible rol del PDL-1 en la evolución clínica del LHC, se postula que la expresión de PD-L1, así como de PD-1 en las células inflamatorias del microambiente tumoral (MAT) tienen un rol relevante para identificar pacientes con LHC de alto riesgo 23. Como es conocido, en el LHC las HRS representan, en general, un bajo porcentaje celular del tejido afectado pues la mayoría de las células corresponde a células inflamatorias. Ya que PD-1 es un análogo de CD28 expresado en células T, su actividad citotóxica es inhibida en células neoplásicas mediante la interacción con PD-L1, que es un análogo de B7. Esta proteína está regulada al alza en células inmunes y no inmunes, incluidas las células malignas. Se sabe que la inmunosupresión a través de PD1/PD-L1 contribuye a una respuesta inmune fallida y un resultado adverso en algunos tumores 21. Esta interacción PD1/PD-L1 también es importante para la supervivencia de las células B del centro germinal 24. En el estudio de Greaves, se determinó la variabilidad de la expresión de PD-1 y PDL-1 al momento del diagnóstico de LHC. La expresión de PD-1 fue baja o ausente en el MAT de la mayoría de los casos, pero los pocos pacientes con alta expresión de PD-1 tuvieron una evolución clínica adversa. Por el contrario, PD-L1 se expresó en alto nivel tanto en HRS como en las células del MAT, aunque el nivel de expresión de PD-L1 en estas últimas no mostró asociación con el cuadro clínico. Se concluye que PD-1 puede tener importancia biológica en una minoría de pacientes con HL, donde la sobreexpresión se asocia con una mayor probabilidad de baja sobrevida 23. Otros estudios han evaluado los niveles de PD-1 en linfocitos infiltrantes de tumores (TIL) en pacientes con linfoma de Hodgkin (LH), y se ha observado expresión más alta que la advertida en los linfocitos de voluntarios sanos 25. Este aumento de TIL con PD-1+ se ha asociado con un peor pronóstico en pacientes con linfoma de Hodgkin (LH) 26,27.
Otra utilidad de la determinación de PD-L1 en HRS fue evaluada por Volaric et al. Dicho estudio buscó determinar la utilidad diagnóstica de PD-L1 y PD-1 en biopsias con aguja de LHC. Se observaron diferentes expresiones de estas proteínas entre biopsias de ganglios linfáticos reactivos y LHC. Estos últimos tuvieron mayor expresión de PD-L1 en las HRS, lo que no se observó en ninguna célula linfoide de los ganglios reactivos. Cabe resaltar que hubo baja expresión de PD-1 en los linfocitos del MAT de LHC en comparación con los linfocitos de los ganglios reactivos. Por tanto, en casos de biopsias pequeñas en que se identifican células sospechosas de corresponder a HRS, la positividad de PD-L1 estaría a favor de este diagnóstico, así como la baja expresión de PD-1 en los linfocitos del MAT 10.
En conclusión, el presente estudio corrobora la alta expresión de PD-L1 en las HRS del linfoma de Hodgkin clásico, así como la ausencia de relación de esta expresión con la edad, sexo, SG o EC.
Dada la alta expresión de PD-L1 observada en este estudio, previo al tratamiento, es recomendable la realización de otro estudio con una población con mayor número de casos, determinando PD-L1 y PD-1 por IHQ, tanto en las HRS como en las células inflamatorias del MAT, para reevaluar el impacto pronóstico de estas proteínas, su relación con otras variables clínicas y la presencia del VEB. El rol de PD-L1 en el tratamiento inmunológico del LH requiere de ensayos clínicos controlados y aleatorizados.

