INTRODUCCIÓN
Los geles de silicona o la silicona líquida son términos para referirnos al dimetilpolisiloxano, polímero usado con fines estéticos desde 1960, y que, a su vez, es un componente en muchos tipos de dispositivos médicos implantables debido a sus propiedades químicas, su falta de inmunogenicidad y su estabilidad física; sin embargo, no es totalmente inerte, ya que existen reportes de complicaciones locales y sistémicas 1. Si bien los implantes de silicona están aprobados para el aumento de senos, el uso de silicona líquida inyectable en cirugía estética ha demostrado tener un potencial significativo en la morbilidad y, actualmente, su uso es ilegal 2. A pesar de ello, la aplicación clandestina de silicona industrial parenteral por personal no certificado está aumentando, lo cual genera riesgos innecesarios 3. Existen publicaciones de complicaciones respiratorias graves por daño alveolar difuso posterior a la aplicación de silicona "líquida" 4. Debido a lo excepcional de esta presentación, se expone el caso de un varón transexual, quien presentó compromiso del parénquima pulmonar por embolia posterior a la inyección subcutánea de geles de silicona.
REPORTE DEL CASO
Varón de 28 años, transexual, natural de Iquitos, procedente de Lima, previamente sano, ingresa por emergencia, con tiempo de enfermedad de tres días, por presentar súbitamente malestar general, disnea y dolor torácico dentro de las 24 horas posteriores a una intervención estética: inyección de geles de silicona en región glútea (aproximadamente 500 ml en cada glúteo).
En el examen físico se constata presión arterial de 110/80 mmHg, frecuencia cardíaca de 77x', frecuencia respiratoria de 28x', saturación de oxígeno de 72 %, FIO₂ de 21 %; en el aparato respiratorio se observa amplexación aumentada, uso de musculatura accesoria: tirajes supraclavicular y subcostal, crepitantes difusos de predomino bibasal. El resto de exámenes no brinda ningún aporte al caso.
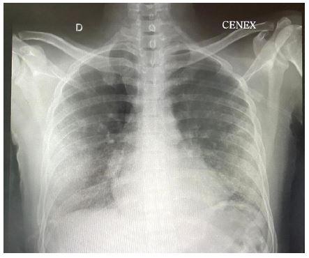
Los exámenes auxiliares proporcionan hemograma con leucocitos: 10 650/mm3, plaquetas: 321 000/mm3, hemoglobina: 6,9 g/dl, volumen corpuscular medio: 87,4 fL, hemoglobina corpuscular media: 29,9 pg. Los exámenes bioquímicos, bilirrubina total: 0,40 mg/dl, bilirrubina directa: 0,10 mg/dl, creatinina: 0,58 mg/dl, urea: 40 mg/dl, deshidrogenasa láctica: 233 UI/L, proteína C reactiva: 2,7, ferritina: 116 mg/dl, dímero D: 1,02 µg/ml, ELISA-VIH I-II: no reactivo, prueba ARN para SARS-CoV-2 en muestra respiratoria por RT-PCR en tiempo real: negativo, prueba rápida antigénica COVID-19: no reactiva, baciloscopia directa para Mycobacterium tuberculosis en orina, heces y esputo: negativos. Radiografía de tórax posteroanterior: patrón alveolointersticial periférico a predominio bibasal; radiografía de tórax (Figura 1), tomografía espiral multicorte con contraste de tórax: áreas de vidrio delustrado periférico respetando área central (Figura 2); tomografía espiral multicorte con contraste de región glútea (Figura 3): nódulos granulomatosos a cuerpo extraño asociados a signos inflamatorios en plano graso subcutáneo de la región glútea y muslos proximales derecho e izquierdo. Recibió oxacilina y clindamicina endovenosas por sospecha de infección de partes blandas en lugar de inyección, anticoagulación terapéutica por sospecha de tromboembolismo, corticoterapia durante 9 días y soporte oxigenatorio. La evolución fue favorable, por lo que fue dado de alta después de 10 días.
DISCUSIÓN
Las siliconas son un grupo de polímeros de polidimetilsiloxano ampliamente usados en cirugía estética y reconstructiva por su supuesta estabilidad física y falta de inmunogenicidad. Sin embargo, estos compuestos no son inertes, y numerosas complicaciones locales y sistémicas se han asociado a su uso 5. Existen diversas sustancias prohibidas, como aceites industriales, silicona líquida, metacrilato, colágeno, parafina, que son inoculadas con fines estéticos por personal no autorizado, las cuales producen complicaciones sistémicas, como las respiratorias, que en algunos casos llegan a ser fatales. El uso de estas sustancias prohibidas constituye un problema particularmente grave en los países subdesarrollados donde , a pesar de ser ilegal, se ofrece este servicio a pacientes que no pueden acceder a la cirugía estética convencional; la mayoría de los informes provienen de países de Asia y América del Sur y las víctimas son en su mayoría mujeres y transgéneros 6.
Las áreas del cuerpo donde los materiales desconocidos se inyectan con mayor frecuencia son glúteos (8-72 %) y senos (12-16 %). Esto provoca complicaciones locales como úlceras, livedo reticularis, nódulos, etc. 6. Así mismo, se han reportado reacciones sistémicas secundarias, tales como alteraciones hepáticas a largo plazo, enfermedades pulmonares y renales originadas por procesos autoinmunes y reacciones granulomatosas 3. No existe una teoría establecida para explicar el compromiso pulmonar luego de la inyección subcutánea de geles de silicona. Una primera hipótesis es la del embolismo que puede ocurrir de numerosas formas, pero, en casos de inyección ilegal, puede estar relacionado con la alta presión necesaria para la administración de grandes dosis, masaje local, un efecto de migración, o inyección accidental en la circulación venosa 7; la distribución a través del sistema linfático es planteada por la observación de granulomas de silicona en los nódulos linfáticos 8. Una segunda hipótesis postula que la inyección de silicona provoca derrames de silicona líquida en el espacio alveolar después de la embolización pulmonar, lo que ocasiona una neumonitis aguda, caracterizada por la ingestión de silicona por parte de los linfocitos, macrófagos, neutrófilos, y a esto se suma la hemorragia alveolar con edema alveolar 7.
No existe un protocolo estandarizado para el diagnóstico, lo que nos orienta es el antecedente de inyección de esta sustancia y la evidencia en el lavado broncoalveolar de un aumento en el número de macrófagos alveolares, neutrófilos y eosinófilos, en donde a su vez pueden identificarse las vacuolas lipídicas que contienen silicona 4. La presencia de glóbulos de silicona embolizados dentro del capilar pulmonar es patognomónica para neumonitis por inyección de silicona líquida 9.
De acuerdo con la literatura, las edades de los casos varían entre los 20 a 55 años, y se presentan con mayor frecuencia en el sexo femenino; en menor cuantía, en los varones transexuales. Respecto a la clínica de presentación, va desde dificultad respiratoria, dolor torácico de tipo punzante u opresivo, fiebre, tos seca (1,5,7-10,11,12,13 y hemoptisis 14; así mismo, la presentación puede ser aguda, dentro de las primeras 24 horas tras la inyección, y latente, en donde se reportan casos de hasta 13 meses. La cantidad de geles de silicona inyectada repercute en el inicio de los síntomas, y se describe que desde 100 ml de inóculo a más puede presentarse en forma aguda 4. Al ingreso, se han reportado distintos grados de hipoxemia en los análisis de gases arteriales 1,4,7,15. Las imágenes encontradas en las radiografías de tórax al ingreso van desde una radiografía normal 2, un patrón alveolar difuso 13,15, reticular difuso bilateral 4,8,9, alveolar difuso bibasal y periférico 1,3, este último presente en nuestro caso; las tomografías de tórax computarizadas, de acuerdo con los informes, mostraron al ingreso áreas de consolidación a predominio bibasal 9,15, en parches y áreas en vidrio deslustrado periférico 3,4,8,13, algunos con broncograma aéreo (1y) de nódulos pulmonares no clasificados; la predominancia del compromiso periférico en vidrio deslustrado respetando el área central presente en nuestro caso, que según Soeroso cataloga como muy "sugerente de inyección de silicona líquida". Asimismo, se planteó la sospecha de tromboembolismo pulmonar; sin embargo, fue descartado dada la probabilidad clínica baja luego de aplicar la regla de predicción clínica de Geneva y el score de Wells, por lo que no se justificó realizar otro examen diagnóstico más específico.
El manejo de esta patología no está estandarizado, quizás por ser poco frecuente. En la mayoría de los casos, los corticoides fueron administrados, aunque ningún estudio ha investigado si realmente contribuyen a la mejoría clínica 9,15; en nuestro caso se administraron corticoides, oxígeno suplementario y medidas de soporte, y se reportó una mejoría clínica a los 10 días.
En conclusión, podemos decir que en el presente caso la relación que existe entre la inoculación del agente en un paciente previamente joven, sano, sin ninguna comorbilidad, con la posterior aparición de los síntomas dentro de las primeras 24 horas, así como la evidencia clínica y tomográfica con signos catalogados por algunos autores como muy sugerentes es lo que nos dio el diagnóstico de esta rara presentación; además de ello, el manejo con corticoides sistémicos hizo que este cuadro se resolviera, por lo cual el paciente fue dado de alta.
REFERENCIAS BIBLIOGRÁFICAS
1. Pastor E, Andreu AL, Chiner E. Neumonitis aguda y síndrome de distrés respiratorio del adulto tras inyección subcutánea de silicona líquida. Arch Bronconeumol. 2005;41(12):702-3.
2. Bartsich S, Wu JK. Silicon emboli syndrome: A Sequela of clandestine liquid silicone injections. A case report and review of the literature. J Plast Reconstr Aesthet Surg. 2010;63:e1-3.
3. Bejarano A, Bautista DF, Sua LF, Pérez B, Lores J, Aguirre M, et al. Acute pneumonitis and diffuse alveolar hemorrhage secondary to silicone embolism: A case report. Medicine (Baltimore) 2020;99(24):e20578.
4. Gutiérrez RA, Flores LA, Martínez DA, Toledo HM, Gaxiola MO, Mejía ME. Neumonitis aguda secundaria a la inyección subcutánea de biopolímero líquido. Neumol Cir Torax. 2011;70(3):199-202.
5. García MJ, López G, Ruiz E. Subacute Silicone Pneumonitis After Silent Rupture of Breast Implant. Arch Bronconeumol. 2016;52(7):397-8.
6. Montealegre G, Uribe R, Martínez-Ceballos MA, Rojas A. ASIA syndrome symptoms induced by gluteal biopolymer injections: Case- series and narrative review. Toxicol Rep. 2021;8:303-14.
7. Parikh R, Karim K, Parikh N, Han P, Daoko J, Shamoon FE. Case Report and Literature Review: Acute Pneumonitis and Alveolar Hemorrhage after Subcutaneous Injection of Liquid Silicone. Ann Clin Lab Sci. 2008;38(4):380-5.
8. Paredes S, Gonzalez FJ, Suarez J, Moldes M, Abdulkader I, Valdes L. Pneumonitis caused by silicone gel following breast implant rupture. Ir J Med Sci. 2010;179(1):141-5.
9. Abtahi-Naeini B, Faghihi G, Shahmoradi Z, Saffaei A. Filler migration and extensive lesions after lip augmentation: Adverse effects of polydimethylsiloxane filler. J Cosmet Dermatol. 2018;17(6):996-9.
10. Blanco J, Gaines S, Arshad J, Sheele JM. Silicone pneumonitis, diffuse alveolar hemorrhage and acute respiratory distress syndrome from gluteal silicone injections. Am J Emerg Med. 2018;36(12):2340.
11. Eckle VS, Lambiris N, Grund D, Vogtmann M, Ruwwe-Glösenkamp C, Uhrig A, et al. Acute Respiratory Failure after Silicone Injection. Pneumologie. 2019;73(10):582-5.
12. Ng BH, Wan WR, Nik NN, Abdul MF, Yu-Lin AB, Soo CI. Silicone pneumonitis after gluteal filler: a case report and literature review. Respirol Case Rep. 2020;8(3):e00538.
13. Bonfirraro PP, Sallam D, Verga M, Righi B, Mevio G, Codazzi D, et al. A Rare Case of Pulmonary Restrictive Syndrome after Liquid Silicone Injection: The Role of the Plastic Surgeon. Indian J Plast Surg. 2021;54(1):90-3.
14. Soeroso NN, Rhinsilva E, Soeroso L. Acute pneumonitis following breast silicone liquid injection. Respirol Case Rep. 2018;6(6):e00335.
15. Gopie P, Sakhamuri S, Sharma A, Solomon S, Teelucksingh S. Acute pneumonitis secondary to subcutaneous silicone injection. Int J Gen Med. 2011;4:477-9.
Recibido: 09 de Septiembre de 2022; Aprobado: 10 de Noviembre de 2022; : 27 de Noviembre de 2022
