Introducción
La apendicitis aguda es la emergencia quirúrgica más frecuente 1, y una de sus causas es la obstrucción que se genera cuando un lito obstruye el lumen apendicular 2. Los apendicolitos, también conocidos como fecalito, coprolito, estercolito, se encuentran incidentalmente en hasta el 32 % de la población asintomática 3,4. Los apendicolitos suelen ser pequeños 5, los que miden ≥5 mm o son múltiples se asocian con apendicitis aguda y con tasas más altas de perforación apendicular 2,3.
El apendicolito se compone de heces firmes, depósitos minerales, grasas, sales inorgánicas (fosfato de calcio) y residuos orgánicos. Su dureza está directamente relacionada con la cantidad de calcio que contiene 4. No existe una correlación conocida entre el apendicolito y la malignidad apendicular 6.
El apendicolito libre, caído o retenido postapendicectomía, es una complicación rara que puede ocurrir como consecuencia de la salida del apendicolito del apéndice debido a una perforación previa o al no identificar el apendicolito 4,7,8 o a la extracción forzada a través del puerto umbilical durante la apendicectomía laparoscópica 4. Las complicaciones asociadas con apendicolitos libres han sido más prevalentes con el uso de la apendicectomía laparoscópica 8.
Los apendicolitos libres se encuentran con mayor frecuencia en la región paracecal 9, pelvis o espacio de Morrison. El neumoperitoneo, la irrigación y el posicionamiento utilizado durante la laparoscopia pueden provocar que el apendicolito se mueva a sitios inusuales 10. La revisión de la literatura muestra que un fecalito puede quedar libre en cualquier parte de la cavidad abdominal, como en el intestino 11, saco de Douglas, saco rectovesical, trompas de Falopio, espacio perihepático 9, dentro del parénquima hepático 12-14, e incluso localizarse en la región subcutánea 12,15,16, en el compartimento del músculo iliopsoas, la región glútea 4 o torácica 10.
En la mayoría de los casos, el fecalito se vuelve sintomático con el tiempo, debido a la formación de un absceso, trayecto fistuloso o inflamación del muñón apendicular (apendicitis del muñón) 11.
El objetivo principal de este reporte de casos es evidenciar las complicaciones de los apendicolitos libres postapendicectomía y la importancia de su remoción temprana.
Caso clínico
Caso 1
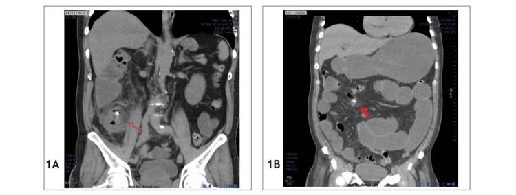
Se trata de una mujer de 23 años que ingresó a emergencia de un hospital público de Lima, Perú, el 17 de octubre del 2022 (día 1), quejándose de dolor tipo cólico en la fosa iliaca derecha que tenía 4 horas de duración; también informó sobre antecedente de cesárea. Los exámenes revelaron sus leucocitos: 9080/mm3; posteriormente, fue diagnosticada de apendicitis aguda por clínica, que se corroboró por una TC (Figura 1A). Ese mismo día se le realizó una apendicectomía laparoscópica, donde se evidenció un apéndice cecal supurado de 7 x 0,9 cm, con líquido purulento de aproximadamente 50 cc de volumen en fondo de saco de Douglas.
En el posoperatorio, la paciente cursó con evolución favorable, y fue dada de alta al día siguiente de la operación (día 2). En el segundo día postoperatorio (día 3), reingresó a emergencia del mismo hospital por presentar dolor en el hipogastrio, náuseas y vómitos. Se le realizó una TC sin contraste que informó de los hallazgos (19 de octubre) (Figura 1B): "impresiona líquido libre en fondo de saco de Douglas y presencia de apendicolito". Leucocitos: 6020/mm3, proteína C reactiva (PCR): 151,44 mg/l.
El 20 de octubre (día 4) se intervino nuevamente a la paciente, se realizó una laparoscopía diagnóstica, donde se observó líquido seropurulento de aproximadamente 280 cc en fondo de saco de Douglas, parietocólico derecho y subfrénico derecho, múltiples adherencias en cuadrante inferior derecho, apéndice cecal con muñón indemne con 1 coprolito en su interior, el cual fue extraído (Figura 2).
En el posoperatorio, la paciente evolucionó favorablemente, por lo que fue dada de alta al día siguiente de la reintervención quirúrgica (día 5).
Figura 1 Tomografías computarizadas del caso 1. (A) Tomografía abdominal preoperatoria, la flecha roja indica el apendicolito. (B) Tomografía abdominal posoperatoria, la flecha roja indica el apendicolito libre.
Caso 2
Se trata de un varón de 77 años de edad que ingresó el 16 de noviembre del 2021 (día 1) a emergencia de un hospital público de Lima. Se quejaba hace 4 días de un dolor en el hipogastrio; con antecedente de hipertensión arterial y colecistectomía. Luego de ser evaluado se llegó al diagnóstico clínico de apendicitis aguda, el cual fue corroborado por una TC que informó de los hallazgos (Figura 3A): "apéndice cecal engrosado en 17 mm con apendicolitos y burbujas de gas en su interior". Los exámenes revelaron sus leucocitos: 15 290/mm3. Entonces, se le programó una apendicectomía laparoscópica. Durante la operación, se evidenció un plastrón apendicular con asas intestinales friables, por lo cual se decidió convertir la operación a una apendicectomía abierta. Se realizó la liberación de adherencias, con apertura de la fascia de Told del parietocólico derecho, y se encontró un apéndice cecal de ubicación retrocecal, retroperitoneal, ascendente, necrosado en toda su extensión con mesoapéndice necrosado; se extrajeron 2 coprolitos a nivel de la punta del apéndice, con aspiración del absceso de 15 cc de volumen a ese nivel y apendicectomía. Se colocó un dren Penrose a nivel de muñón apendicular con salida por contraabertura. Se indicó en el posoperatorio ayuno por 3 días, ceftriaxona y metronidazol.
Durante su hospitalización posoperatoria, el paciente cursó con evolución favorable; en el cuarto día posoperatorio (día 5) se inició dieta blanda y al día siguiente (día 6), dieta completa, la cual toleró adecuadamente, con eliminación de flatos y heces. En el sexto postoperatorio (día 7), el paciente presentó eructos y distensión abdominal, por lo cual se le solicitó una TC (Figura 3B), que informó de los hallazgos: "asas intestinales delgadas dilatadas tanto en yeyuno como en íleon proximal con diámetro máximo de 41 mm, con varios niveles hidroaéreos, a descartar adherencias. Llama la atención a este nivel una imagen hiperdensa suelta en grasa peritoneal de 9 mm rodeada de gas, que no fue vista en un control previo, la cual tiene morfología similar al apendicolito, asas gruesas colapsadas". Con este informe, se realizó una junta médica, y se evaluó el riesgo-beneficio de una segunda intervención quirúrgica versus un manejo médico conservador. Se llegó a la conclusión de que la intervención quirúrgica sería lo más beneficioso.
El 23 de noviembre (día 8) se intervino nuevamente al paciente, donde se pudo constatar una obstrucción intestinal por adherencias del íleon proximal a la región parietocólica derecha, con escasa secreción purulenta, aunque no se ubicó el fecalito a ese nivel. Debido a esto, se realizó una revisión sistemática de todo el intestino delgado, en el cual se localizó el apendicolito de 1 cm de diámetro, a nivel del mesenterio del yeyuno a 1 m del ángulo de Treitz, con la erosión del mesenterio causada por el apendicolito (Figura 4).
El paciente evolucionó favorablemente en el posoperatorio, y fue dado de alta al sétimo día de la reintervención (día 15).
Figura 3 Tomografías computarizadas del caso 2. (A) Tomografía abdominal preoperatoria, la flecha roja indica el apendicolito. (B) Tomografía abdominal al sexto día posoperatorio, la flecha roja indica el apendicolito libre a nivel de interasas intestinales.
Discusión
En el primer caso presentado, la paciente desarrolló un absceso intraabdominal como complicación de un apendicolito libre. Se sabe que los apendicolitos libres están fuertemente asociados con la formación de abscesos intraabdominales 1. Esta formación de abscesos se debe a que el apendicolito es potencialmente infeccioso porque alberga bacterias 4. Los sitios de formación de abscesos que están documentados en la literatura son el subhepático, perihepático, pélvico, tubo-ovárico, paracecal, incluso de psoas y glúteo 4,11,17. La línea de tiempo para desarrollar un absceso varía desde unos meses hasta 15 años 9,18, pero para este caso presentado solo bastaron 48 h para desarrollar este absceso intraabdominal, algo que llamó la atención.
El apendicolito libre también puede inducir a una obstrucción mecánica del intestino delgado como un evento temprano 1. Aunque, en el segundo caso presentado, el apendicolito no fue precisamente la causa de la obstrucción, se sospechó inmediatamente de él porque en la literatura existe evidencia de obstrucciones intestinales causadas por apendicolito libre 1. Durante la operación se observó una complicación por apendicolito libre que no está reportada en la literatura, que fue la erosión del mesenterio, y que ocurrió en 6 días.
Ante la sospecha de un apendicolito libre, se recurrió a la TC, ya que se considera el estudio más sensible y específico para el diagnóstico, lo que se realizó en ambos pacientes 1,14,19.
Para la mayoría de cirujanos, el manejo definitivo de un apendicolito libre implica su extracción quirúrgica. De lo contrario, se pueden producir abscesos intraabdominales recurrentes, infección de la herida, formación de fístulas 4,12,13,15. Otro método para extraer un apendicolito libre es mediante el abordaje transcutáneo, indicado para un tamaño <10 mm, que puede ser un método factible y seguro 9.
En oposición a lo mencionado, Albdah (2021) considera un manejo conservador para los apendicolitos libres con dolor crónico o absceso, aunque su estudio solo se basó en 2 pacientes y su seguimiento fue de 1 año 20. Y, como se sabe, las complicaciones pueden aparecer después de varios años. Es por ello que, para prevenir los apendicolitos libres postapendicectomía, varios autores indican que se debe evitar la caída del apendicolito a la cavidad abdominal durante la cirugía, por lo cual se debe realizar una disección cuidadosa, colocando una ligadura doble de la base apendicular (que se ha asociado con menos posibilidades de retención del apendicolito) 4, además de una atención minuciosa en el momento de la sección apendicular y una adecuada coagulación del muñón 12. Durante la extracción del apéndice, el uso de bolsas reducirá las posibilidades de su caída durante la extracción y la contaminación involuntaria de las heridas del sitio del puerto 4. Igualmente, revisar el muñón apendicular, correderas y pelvis de forma rutinaria 1.
Se desconoce actualmente la incidencia del apendicolito libre después de una apendicectomía, ya sea convencional o laparoscópica, pues se dispone de pocos datos en la literatura mundial 16. Tampoco existe un metaanálisis o revisión sistemática sobre el tema, hasta el momento en el que se realizó el presente trabajo. Babington (2023) pudo recopilar 24 artículos científicos relevantes sobre apendicolitos de toda la literatura disponible, y solo 6 artículos científicos fueron sobre apendicolito libre 21. Por ello, es importante la presentación de estos casos, para poder ampliar la casuística y contribuir al conocimiento de los apendicolitos libres postapendicectomía.
En conclusión, el manejo definitivo de un apendicolito libre postapendicectomía debe ser su extracción precoz para evitar complicaciones.

