10.24265/horizmed.2023.v23n3.10

Caso clínico

Síndrome alterno mesencefálico: síndrome de Weber en dos pacientes varones VIH positivos con toxoplasmosis cerebral

Midbrain stroke syndrome: Weber’s syndrome in two male HIV-positive patients with cerebral toxoplasmosis

Jorge-Luis Wong-Armas1  2  , Médico especialista en Neurología
http://orcid.org/0000-0001-8846-3250

César-Justo Obregón-Manzur2  , Estudiante de Medicina
http://orcid.org/0009-0003-5760-4091

Bruce-Jorge Wong-Ramírez2  , Estudiante de Medicina
http://orcid.org/0009-0000-4149-7031

Tian-Hanayka-Del Carmen Wong-Ramírez2  , Estudiante de Medicina
http://orcid.org/0000-0002-7956-8357

Carlos-Alberto Ortiz-Castillo1  2  , Médico residente de la especialidad de Neurología
http://orcid.org/0009-0006-9704-3315

1 Hospital María Auxiliadora, servicio de Neurología. Lima, Perú.

2 Universidad de San Martín de Porres, Facultad de Medicina Humana. Lima, Perú.


RESUMEN

En este reporte se describen dos casos de pacientes varones con VIH diagnosticados por serología, que no estaban recibiendo tratamiento. Ambos pacientes desarrollaron el síndrome alterno mesencefálico y la lesión estructural, causada por la infección del sistema nervioso central por toxoplasmosis cerebral, confirmada mediante una resonancia magnética cerebral. Esta condición se constató por serología en líquido cefalorraquídeo.

El síndrome de Weber es un tipo de síndrome alterno mesencefálico poco frecuente y existe poca información de su clínica y evolución. Fue descrito por sir Herman David Weber en 1863, y se caracteriza por la lesión ipsilateral del fascículo del III par craneal, con presencia de hemiparesia contralateral debida a la lesión de la vía corticoespinal y corticobulbar del pedúnculo cerebral. Las causas que lo originan incluyen tanto procesos isquémicos o hemorrágicos, que lesionan el fascículo del III par craneal y pedúnculo cerebral, como neoplasias intraencefálicas, aneurismas, hematomas extradurales y procesos infecciosos que se comportan como procesos expansivos.

Los pacientes evaluados presentaron clínica de ptosis palpebral, visión doble vertical, dificultad para bipedestación, hemiparesia, hiporreflexia, sensibilidad superficial y profunda disminuidas, equilibrio y coordinación alterados, III par parético, habla incoherente, desorientación en tiempo, espacio y persona de manera intermitente y asimetría facial. Para la toxoplasmosis se aplicó un tratamiento específico con trimetropim-sulfametoxasol, clindamicina y prednisona por vía oral, lo cual permitió una mejoría del cuadro clínico.

En el presente caso clínico se presenta la secuencia de los hechos, manejo y breve revisión de la literatura para su consideración como diagnóstico y su relevancia en el paciente con VIH-toxoplasmosis del sistema nervioso central.

Palabras clave: Síndrome de Weber; VIH; Toxoplasmosis


ABSTRACT

This report describes the case of two male HIV-positive patients who were not receiving treatment and whose diagnosis was confirmed by serology testing. Both patients developed midbrain stroke syndrome and the structural injury, which was caused by a central nervous system infection due to cerebral toxoplasmosis, was verified by brain magnetic resonance imaging. This condition was confirmed by cerebrospinal fluid serology testing.

Weber’s syndrome is a very rare type of midbrain stroke syndrome with little information available on its symptoms and evolution. It was first described by Sir Herman David Weber in 1863 and is characterized by ipsilateral injury of the third cranial nerve fascicle with contralateral hemiparesis due to injury of the corticospinal and corticobulbar tracts of the cerebral peduncle. Its causes range from ischemic or hemorrhagic processes, which damage the third cranial nerve fascicle and cerebral peduncle, to brain tumors, aneurysms, extradural hematomas and infectious diseases that behave like spreading processes.

The assessed patients showed clinical signs and symptoms such as ptosis; vertical double vision; difficulty standing up; hemiparesis; hyporeflexia; decreased superficial and deep sensation; poor balance and coordination; third cranial nerve palsy; slurred speech; intermittent disorientation in time, place and person; and facial asymmetry. Oral trimethoprim-sulfamethoxazole, clindamycin and prednisone were administered as specific treatment for toxoplasmosis, which enabled the improvement of the clinical picture.

This case report presents the sequence of events, treatment and a brief review of the literature to be considered in the diagnosis and determine its importance in patients with HIV-toxoplasmosis of the central nervous system.

Keywords: Brain Stem Infarctions; HIV; Toxoplasmosis


Introducción

El síndrome vascular mesencefálico de Weber, descrito por sir Herman David Weber en 1863, se caracteriza por la lesión ipsilateral del fascículo del III par craneal, con presencia de hemiparesia contralateral debido a la lesión de la vía corticoespinal y corticobulbar del pedúnculo cerebral 1,2. Las causas que lo originan incluyen tanto procesos isquémicos o hemorrágicos, que lesionan el fascículo del III par craneal y pedúnculo cerebral, como neoplasias intraencefálicas, aneurismas, hematomas extradurales y procesos infecciosos que se comportan como procesos expansivos 3,4.

La encefalitis por toxoplasmosis es la infección oportunista más frecuente del sistema nervioso central de pacientes con VIH-sida, presente en 26 % de ellos y asociada a múltiples lesiones focales del encéfalo 5.

Los criterios utilizados para el diagnóstico de toxoplasmosis cerebral se basan en la histología y el laboratorio para determinar el diagnóstico definitivo, junto con la clínica del paciente y la lesión evidente en una neuroimagen; sin embargo, el diagnóstico presuntivo tiene mayor frecuencia de presentación con base solo en la clínica del paciente, las lesiones compatibles en la neuroimagen y la respuesta radiológica a los 10-14 días de iniciado el tratamiento antitoxoplasma de manera empírica 6. En esta serie de casos se describirá la presentación clínica de dos pacientes

varones VIH+ con toxoplasmosis del sistema nervioso central (SNC) en el área de Enfermedades Neuroinfecciosas del Instituto Nacional de Ciencias Neurológicas (INCN) en Lima, Perú.

Caso clínico I

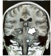
Se trata de un varón de 28 años, a quien recientemente se le diagnosticó VIH, sin tratamiento antirretroviral. Llega al hospital con la siguiente sintomatología: ptosis palpebral derecha, visión doble vertical, arrastre de pie izquierdo, incapacidad para mantener la bipedestación, hemiparesia izquierda (fuerza muscular MS 2/5 MI 2/5), hipotonía izquierda, reflejos osteotendinosos (ROT): hiporreflexia izquierda (+/++), sensibilidad izquierda superficial y profunda disminuida, equilibrio y coordinación alterados, III par derecho parético al 75 %, pupila derecha arreactiva a la luz de 5 mm y reflejo consensual ausente. Una resonancia magnética con contraste detecta una imagen compatible con toxoplasmosis cerebral (Figura 1). Por otro lado, la prueba serológica de líquido cefalorraquídeo (LCR) para toxoplasmosis cerebral mediante inmunoquimioluminiscencia (IMMULITE 2000) detecta los anticuerpos Ig M >1,1, con resultado “reactivo”, lo que indica una infección activa. Por tanto, se indica un tratamiento protocolizado en la institución y se evidencia restablecimiento; la evolución es favorable con mejoría de la sintomatología.

Figura 1 Resonancia magnética nuclear (RMN) de encéfalo contrastada. Se observan imágenes captadoras de contraste de 3-5 mm a nivel de mesencéfalo (flecha blanca). 

Síndrome alterno mesencefálico: síndrome de Weber en dos pacientes varones VIH positivos con toxoplasmosis cerebral

Caso clínico II

Se trata de un varón de 40 años, a quien se le diagnosticó VIH desde hace un año aproximadamente, sin tratamiento antirretroviral y sin controles. Acude al hospital al presentar ptosis palpebral derecha y un habla incoherente, después de 4 días aproximadamente, con dichos síntomas. En la evaluación se observa desorientación en tiempo, espacio y persona de manera intermitente, asimetría facial izquierda, hemiparesia izquierda 4/5, hiporreflexia izquierda ++/+++, sensibilidad disminuida en hemicuerpo izquierdo, signos meníngeos ausentes, III par craneal

pléjico, pupila derecha hiporreactiva a la luz 3,5 mm, falta de fluidez en el lenguaje y habla incoherente. Se toma resonancia magnética con contraste, donde se evidencia lesión compatible con toxoplasmosis cerebral (Figura 2); además, se realiza serología de LCR para toxoplasmosis cerebral mediante inmunoquimioluminiscencia (IMMULITE 2000), que detecta anticuerpos Ig M >1,1, con resultado “reactivo”, lo que indica una infección activa. Por tanto, recibe tratamiento protocolizado en la institución, y se evidencia restablecimiento; la evolución es favorable con mejoría de la sintomatología.

Figura 2 RMN de encéfalo contrastada. Se observa imagen captadora de contraste de 2-4 mm a nivel de mesencéfalo (flecha blanca). 

Discusión

Los pacientes seropositivos para VIH pueden tener muchas infecciones oportunistas, y la toxoplasmosis cerebral es una de las más frecuentes a nivel del SNC en el orden del 26 %, aproximadamente, sobre todo en países donde hay alta carga de infección y un acceso escaso al tratamiento antirretroviral 5,7. En la mayoría de los casos en los que los pacientes viven con VIH, la toxoplasmosis cerebral se manifiesta clínicamente con una carga viral de VIH por encima de 50 copias/ml y recuento de células CD4+ <100/mm3 8. Uno de los tejidos predilectos del toxoplasma es el cerebro, por su baja reacción inflamatoria, y en la mayoría de los casos sucede por la reactivación de una infección latente 9,10. Las lesiones del mesencéfalo que cursan con parálisis ipsilateral del III par craneal y hemiplejía o hemiparesia contralateral son características del síndrome de Weber 11,12.

La presencia de síndromes alternos en el contexto de VIH y toxoplasmosis cerebral es muy escasa, pues aparecen con sintomatología muy específica, como oftalmoplejía homolateral y parálisis contralateral de la parte inferior del rostro, la lengua, el brazo y la pierna. La parálisis del músculo recto interno genera ptosis del párpado superior; si se afecta el núcleo de Edinger-Westphal, la pupila se encontrará dilatada y fija con la luz y la acomodación, debido al daño del III par

craneal en los casos presentados 2,3,4. Las posibles etiologías de un síndrome de Weber son lesiones compresivas en la fosa interpeduncular tales como las enfermedades meníngeas, infartos a nivel del mesencéfalo, aneurismas, neoplasias intracraneales o infecciones, como en los casos que se presentan actualmente, donde los pacientes presentaron infección del SNC por toxoplasmosis cerebral con afección mesencefálica y del III par craneal 6,13.

Los pacientes recibieron tratamiento alternativo y estandarizado por el Ministerio de Salud del Perú. Se empleó el esquema de trimetroprim 320 mg (TMP)-sulfametoxasol 1600 mg dos veces al día, además, clindamicina 600 mg cada 6 horas por al menos 6 semanas (la duración se puede prolongar si la respuesta clínica-imagenológica es incompleta a las 6 semanas). En los casos clínicos expuestos, los pacientes presentaron mejoría significativa entre la sexta y octava semana de la clínica neurológica; asimismo, iniciaron la terapia antirretroviral de gran actividad (TARGA) y permanecieron en seguimiento por 6 meses con terapia de mantenimiento para toxoplasmosis hasta mejorar su conteo de CD4+ 14,15. Estos casos nos muestran la importancia de considerar los síndromes alternos mesencefálicos como un diagnóstico probable en el contexto de una infección VIH-toxoplasmosis del SNC y realizar un diagnóstico adecuado para el manejo oportuno que resulte en la minimización de las posibles secuelas.

REFERENCIAS BIBLIOGRÁFICAS

1. Palacio M, Nunez T, Montiel K, Ferrer Y, Finol F, Parra M. Sindrome de Weber hemorragico: a proposito de un caso. Revista Latinoamericana de Hipertension [Internet]. 2012;7(2):45-7.

2. Serra Valdes MA, Serra Ruiz M, Comas Valdespino R. Infarto isquemico mesencefalico: sindrome de Weber. Rev Cubana Med [Internet]. 2018;57(3):43-9.

3. Montalvo Herdoiza JP, Montalvo Perero PS, Moreira Vera DV. Sindrome de Weber, etiologia infrecuente y resolucion espontanea. Rev Ecuat Neurol [Internet]. 2015;24(1):1-3.

4. Adeva Bartolome MT, Gomez Sanchez JC, Marcos Toledano M, Ciudad Bautista J, Fermoso Garcia J. Triple asociacion de sindromes mesencefalicos. Rev Neurol [Internet]. 1999;28(4):403-4.

5. Duran E, Mirazo I, Combol A. Toxoplasmosis cerebral en pacientes con sida. Parasitol al dia [Internet]. 1997;21(3-4):1213-8.

6. Vidal JE. HIV-related cerebral toxoplasmosis revisited: Current concepts and controversies of an old disease. J Int Assoc Provid AIDS Care [Internet]. 2019;18(1):1-20.

7. Pacheco PRG, Zara ALSA, Silva e Souza LC, Turchi MD. Late onset of antiretroviral therapy in adults living with HIV in an urban area in Brazil: Prevalence and risk factors. J Trop Med [Internet]. 2019;2019:5165313.

8. Seo H, Han H, Lee S, Hong S, Cho S, Kim S, et al. Modelling Toxoplasma gondii infection in human cerebral organoids. Emerg Microbes Infect [Internet]. 2020;9(1):1943-54.

9. Wang Z, Wang S, Liu H, Ma H, Li Z, Wei F, et al. Prevalence and burden of Toxoplasma gondii infection in HIV-infected people: a systematic review and meta-analysis. Lancet HIV [Internet]. 2017;4(4):e177-88.

10. Dian S, Ganiem AR, Ekawardhani S. Cerebral toxoplasmosis in HIV-infected patients: a review. Pathog Glob Health [Internet]. 2023;117(1):14-23.

11. Parija S, Lalitha CS, Naik S. Weber syndrome secondary to brain stem tuberculoma. Indian J Ophthalmol [Internet]. 2018;66(7):1036-9.

12. Khalil M, Malik TG, Farooq K. Weberï¿1/2s syndrome with vertical gaze palsy. J Coll Physicians Surg Pak [Internet]. 2009;19(10):668-9.

13. Lizarazo J, Castro F, de Arco M, Chaves O, Pena Y. Infecciones oportunistas del sistema nervioso central en pacientes con VIH atendidos en el Hospital Universitario Erasmo Meoz, Cucuta, 19952005. Infectio [Internet]. 2006;10(4):226-31.

14. Instituto Nacional de Ciencias Neurologicas. Guia de Practicas Clinicas del paciente neurologico con infeccion por el virus de la inmunodeficiencia humana (VIH) sida - Aspectos Generales y Toxoplasmosis del Sistema Nervioso e Infeccion por el virus de la Inmunodeficiencia Humana (VIH) [Internet]. Ministerio de Salud. 2016. Disponible en: https://www.incn.gob.pe/wp-content/uploads/2020/09/RD._037-2016_Aprobar_Gu%C3%ADa_de_practica_clinica_de_Enf_Transmisibles.pdf

15. Konstantinovic N, Guegan H, Stajner T, Belaz S, Robert-Gangneux F. Treatment of toxoplasmosis: Current options and future perspectives. Food Waterborne Parasitol [Internet]. 2019;15(e00036):e00036.


Fuentes de financiamiento: El artículo ha sido financiado por los autores.

Recibido: 23 de Febrero de 2023; Revisado: 27 de Marzo de 2023; Aprobado: 10 de Abril de 2023

Correspondencia: Jorge Luis Wong Armas Dirección: Lugo 160 dpto. 201, La Molina. Lima, Perú. Teléfono: +51 945 038 481 Correo electrónico: jwonga@usmp.pe

Contribuciones de los autores: JLWA colaboró en la planificación del estudio, la elaboración de la historia clínica de los pacientes y en la redacción; CJOM participó en la revisión de la información y en la redacción del artículo; BJWR, HCWR y CAOC contribuyeron con la redacción del reporte.

Conflictos de interés: Los autores declaran que no existe ningún conflicto de intereses.

Creative Commons License Este es un artículo publicado en acceso abierto bajo una licencia Creative Commons