Introducción
El dengue es una enfermedad viral transmitida a través de la picadura del mosquito Aedes aegypti. El patógeno se denomina virus del dengue (DENV, por sus siglas en inglés) y posee cuatro serotipos: DENV-1, DENV-2, DENV-3 y DENV-4 1. Este virus ARN corresponde a la especie dengue virus, género Flavivirus, familia Flaviviridae2. El vector, Aedes aegypti, es un mosquito peridomiciliario diurno, capaz de reproducirse en diversos recipientes que pueden almacenar agua 3.
Tras la picadura de un mosquito infectado, el virus se replica en el huésped, principalmente en las células dendríticas y los ganglios linfáticos regionales 2, y luego de infectar a los macrófagos, monocitos y linfocitos, se disemina a través del sistema linfático y la sangre a otros tejidos 4. La infección por el DENV desencadena una variedad de manifestaciones clínicas, desde un síndrome similar a la gripe leve, conocido como fiebre del dengue, hasta el síndrome de choque por dengue, potencialmente mortal 1.
Luego de la infección con una cepa se producen hasta tres resultados: a) protección duradera contra la infección de la misma cepa, b) protección breve contra la infección o enfermedad con una cepa diferente y c) una infección con una cepa diferente que puede resultar en una enfermedad grave 5. Existen predictores relevantes para el desarrollo de un dengue grave: los niños, la infección secundaria, la diabetes y las enfermedades renales 6.
Se han realizado investigaciones en el Perú que han implicado un rastreo a los miembros del hogar. Se ha reforzado el concepto de que el riesgo de infección por el DENV se relaciona con la presencia o ausencia del vector en los lugares visitados durante el día. Se evidenció, además, que las personas enfermas no propagan el DENV de manera significativa 5. En términos epidemiológicos, es importante resaltar que en las últimas décadas se han evidenciado cambios medioambientales drásticos relacionados al calentamiento global, lo que facilita una distribución geográfica más amplia del vector; otros factores están relacionados a la conservación de objetos que sirven como criaderos del mosquito 3.
Es importante destacar que un serotipo de dengue produce inmunidad de por vida contra la reinfección, pero solo brinda inmunidad temporal y parcial contra otros serotipos 2. Los bebés con infecciones primarias por dengue cuyas madres tienen cierta inmunidad contra la enfermedad y los niños que se infectan con un segundo serotipo de dengue después de una infección primaria inicial tienen mayor riesgo de progresar a la forma grave 4.
Existe evidencia in vivo de que la proteína no estructural 1 (NS1) del DENV, que daña los tejidos, es la responsable de la mayoría de las características fisiopatológicas del dengue grave. Esta proteína se usa como marcador para el diagnóstico del patógeno 5.
El diagnóstico de laboratorio se puede establecer dentro de los cinco días después del inicio de la enfermedad mediante la detección directa de componentes virales en el suero (detección de antígeno NS1), reacción de cadena polimerasa y cultivo viral. Después del día cinco, el diagnóstico serológico proporciona evidencia indirecta de dengue con los marcadores Ig M e Ig G 4.
Reporte del caso
Se presenta el caso de un paciente varón de cinco años, natural y procedente de la provincia del Callao, cuya vivienda se encuentra en el distrito de Ventanilla, sin antecedentes patológicos de importancia. Acudió a Emergencia del Hospital Nacional Daniel Alcides Carrión (HNDAC), en compañía de su madre, con un tiempo de enfermedad de diez días de inicio insidioso y curso progresivo. Los síntomas iniciales fueron fiebre de 39 °C, cefalea, eyección conjuntival y malestar general, que su madre trató con paracetamol. Después de tres días, apareció un dolor abdominal leve e hiporexia, por lo que acudió a un centro de salud, donde le administraron metamizol y se prescribió la misma sustancia para su uso en domicilio cada ocho horas. Luego de dos días tuvo vómitos posprandiales (tres episodios por día); al día siguiente presentó distensión abdominal, coloración amarillenta de escleras y coluria. Posteriormente, acudió a Emergencia por incremento de dolor abdominal, persistencia de fiebre y otros síntomas, por lo que fue hospitalizado en la Unidad de Cuidados Intensivos Pediátricos (UCIP) del HNDAC. El examen físico reveló FC = 110/min, FR = 28 rpm, PA = 112/57 mmHg, pulso de 55, PAM de 75, T°= 39 °C y Sat O₂ = 98 %, ojos hundidos, mucosa oral semiseca, escleras ictéricas, edema bipalpebral, piel tibia e ictérica, sin adenopatías palpables. En el aparato respiratorio, se apreció murmullo vesicular disminuido en las bases de ambos hemitórax; en el aparato cardiovascular, los ruidos cardiacos eran rítmicos y de buena intensidad, el abdomen se presentaba globuloso, distendido, con dolor a la palpación superficial y profunda, matidez desplazable, hígado a 2 cm por debajo del reborde costal derecho, con perímetro abdominal de 62 cm. Manifestó edema en los pies y estaba despierto y lúcido, orientado en tiempo, espacio y persona.
En los exámenes de laboratorio al momento de la hospitalización se evidenció falla hepática con hipertransaminemia moderada (TGO = 661U/L, TGP = 187U/L, BT = 5,20 mg/dL, BD = 2,056 mg/dL, Alb = 1,75 g/dL), perfil de coagulación severamente alterado (TT = 33,8", TP = 22" 48 %, TTPA = 52,7", fibrinógeno = 78 mg/dL, INR = 1,68, dímero D 10,34 ug/dL). El hemograma mostró leucocitos = 13 000, neutrófilos = 6210, linfocitos = 5,8, hemoglobina = 8,4 g/dL, hematocrito = 25,7 % y plaquetas = 422 000. PCR = 20 U/L, DHL = 2100 U/L, ferritina = 2000 mg/L. Los resultados de la ecografía abdominal revelaron hepatoesplenomegalia; los de radiografía de tórax, derrame pleural en las bases de ambos hemitórax.
Al momento de la hospitalización en la UCIP se plantearon los siguientes diagnósticos: síndrome ictérico febril, descarte de leptospirosis versus hepatitis viral, por lo que fue evaluado por el médico infectólogo, quien planteó la posibilidad de enfermedad por dengue grave, lo cual fue confirmado por el resultado de ELISA Ig M reactivo (criterios de gravedad: ascitis, efusión pleural, hepatitis y coagulación intravascular diseminada). Ante la fiebre alta, la presencia de proteína C reactiva (PCR) muy incrementada, leucocitosis y compromiso abdominal, se planteó sobreinfección bacteriana por probable peritonitis bacteriana espontánea. Se inició tratamiento con dextrosa 5 %, administración de plasma fresco congelado, crioprecipitado, furosemida postransfusional, piperacilina/tazobactam más metronidazol y se dio metamizol condicional a la fiebre. Se estableció monitorización permanente de las funciones vitales y hemodinamia, diuresis, sangrado y balance hidroelectrolítico estricto.
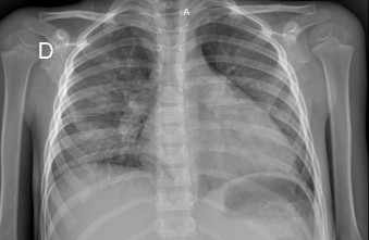
A pesar del tratamiento, el estado de gravedad del paciente permaneció estacionario: perfil hepático y perfil de coagulación sin variación, la albúmina persistió baja, con incremento de ascitis (perímetro abdominal de 68 cm), balance hídrico positivo, diuresis mayor de 1 mL/kg/h, aparición de edema escrotal y dificultad respiratoria. Al encontrarse en dicha condición, en su noveno día de hospitalización, Gastroenterología no autorizó paracentesis evacuatoria por riesgo de sangrado y se decidió optimizar el manejo de diuréticos (espironolactona más furosemida horario), iniciar con la administración de albúmina humana diaria, y la suspensión del plasma fresco congelado y crioprecipitado (Figura 1).
El paciente empezó a tener mayor diuresis con balances hidroelectrolíticos negativos progresivos. Con el nuevo tratamiento, el perímetro abdominal se redujo a 64 cm, además, se produjo una disminución del edema escrotal y la desaparición de edema en miembros inferiores. Así mismo, se registró una mejoraría del perfil hepático (TGO = 265, TGP = 66, albúmina = 3,61) y del perfil de coagulación (TP = 14,5" 87 %, TTPA = 33,9", INR = 1,09, fibrinógeno = 177). Al día veinte de hospitalización, el paciente se encontraba afebril, había desaparecido el edema escrotal, el perímetro abdominal era de 58 cm, no presentaba ictericia en la piel y solo leve ictericia en las escleras; también mejoró el perfil hepático (BT = 2,39, BD = 1,82, TGO = 81, TGP = 35) y el perfil de coagulación (TP = 13,9, TTPA = 32,9, INR = 1,04, fibrinógeno = 274).
Asimismo, presentaba DHL = 1087, ferritina = 2000, PCR = 1,53. Recibió catorce días de antibiótico, nueve días de albúmina, furosemida de dosis continua por tres días y luego en bolos después de la administración de albúmina. Al día siguiente, presentó dificultad respiratoria, por lo que se tomó una radiografía de tórax, donde se evidenció cardiomegalia y congestión pulmonar. El médico cardiólogo diagnosticó insuficiencia cardiaca congestiva por miocardiopatía dilatada.
En el ecocardiograma se evidenció disfunción sistólica ventricular izquierda, con FEVI 39 %. Dímero D = 6,98 ug/mL, ferritina = 522 ng/mL, BT= 1,72, TGO = 49, TGP = 30, Cr = 0,47, CPK MB = 12,20. Por ello, se indicó tratamiento con captopril 6,25 mg vía oral cada doce horas más carvedilol 3,125 mg vía oral cada 12 horas y continuó su tratamiento con diuréticos. Finalmente, fue dado de alta afebril, sin edemas y con resolución de la falla hepática y del trastorno de coagulación (Figura 2 y Figura 3).
Discusión
El dengue es una enfermedad viral que no pocos autores califican como una "enfermedad tropical desatendida" 2. Si bien la mortalidad por dengue grave no llega a los niveles elevados de enfermedades tan importantes o más en salud pública 3, se pronostica que el cambio climático aumentará aún más la población en riesgo de contraer dengue por una mayor transmisión en áreas endémicas y por la expansión del rango geográfico de los mosquitos Aedes aegypti7.
En el 2023, en el Perú se vivió una epidemia que llevó a que en febrero se declarara emergencia sanitaria en trece departamentos. A nivel nacional, hasta la semana epidemiológica catorce, se notificaron 40 958 casos, con 42 defunciones. Ucayali, Madre de Dios, Loreto, Piura, San Martín, Tumbes, Amazonas, Huánuco e Ica fueron los departamentos que presentaron los indicadores más elevados. En la semana catorce, se notificó un primer brote en el distrito de San Juan de Lurigancho en Lima 8.
Tras un periodo de incubación asintomático de 4-10 días, la enfermedad comienza de manera repentina y se desarrolla en tres fases: febril, crítica y de recuperación. El día de la defervescencia, cuando desaparece la fiebre, o día cero, es el día crucial para el paciente: evoluciona hacia la curación o hacia las formas con signos de alarma y graves 9. La identificación de este momento es trascendental para el manejo oportuno de los casos.
La gravedad de la enfermedad depende de la carga viral y de la magnitud de las sustancias reactivas de la fase aguda (citoquinas) 9. Los niños tienen mayor riesgo de desarrollar escape severo de plasma y evolucionar al choque por dengue 10, como es el caso del paciente que presentó ascitis severa, derrame pleural moderado, edema en miembros inferiores, bipalpebral y escrotal.
Desde el punto de vista de la fisiopatología, la forma grave se caracteriza por un aumento de la permeabilidad vascular, hipovolemia y anormalidades en la hemostasia. El virus repercute a nivel multisistémico debido a su marcado tropismo por los órganos del sistema monocítico-macrofágico, como la medula ósea, el bazo, el hígado y los nódulos linfáticos 11. Una revisión de casos reportó cuadros de hepatitis, encefalitis, glomerulonefritis, síndrome urémico hemolítico, miocarditis, hemorragia pulmonar y pancreatitis 9. Incluso es pertinente considerar la encefalomielitis, una complicación neurológica rara, ya que se han reportado casos como el de un niño de 6 años que, al séptimo día de la enfermedad, desarrolló síntomas neurológicos. La resonancia magnética realizada evidenció encefalomielitis aguda diseminada, por lo cual se le administró metilprednisolona intravenosa. Fue dado de alta dos semanas después, lo cual indica que, si bien es una complicación grave, el reconocimiento temprano y el tratamiento oportuno de la encefalomielitis pueden conducir a un resultado exitoso sin secuelas neurológicas 12.
El paciente desarrolló falla hepática severa asociada con coagulación intravascular diseminada, falla cardiaca por miocarditis dilatada y daño renal con proteinuria. Y es que la proteinuria se ha encontrado en otros casos, como sucedió en un niño de ocho años ingresado a cuidados intensivos por dengue grave, que desarrolló proteinuria poco después de su punto más bajo de trombocitopenia. El autor resalta que el dengue puede causar un amplio espectro de lesión renal aguda, aunque la proteinuria sea una complicación poco frecuente en esta condición 13.
El estudio de las alteraciones hepáticas de pacientes con dengue tiene especial relevancia, ya que con cierta frecuencia se presentan signos y síntomas o alteración del perfil hepático que, por lo general, son interpretados erróneamente como de etiología diferente a dengue, y hay un manejo adecuado y oportuno 11. Aunque en el dengue el compromiso hepático no es frecuente, este daño no es atribuible a esta enfermedad, sino a otros factores externos influyentes, como la toxicidad por medicamentos (metamizol u otros AINE) 14.
Marianneau destaca que las alteraciones hepáticas son signos de mal pronóstico y características de enfermedad probablemente fatal 15. El compromiso hepático es una manifestación inusual por dengue, aunque algunos autores describen relativa frecuencia y se ha descrito que el virus puede producir disfunción hepática moderada y grave con elevación marcada de transaminasas similares a las hepatitis virales 16. Desde el punto de vista anatomopatológico, se describen necrosis focal del hepatocito, cuerpos de Councilman e hinchamiento con necrosis hialina 11. En las formas graves, el compromiso hepático se describe con elevación importante de las transaminasas hasta su normalización hacia la segunda o tercera semana, aunque puede persistir hasta ocho semanas 11,14.
Otro criterio de gravedad son las hemorragias masivas, debido a trastornos de la coagulación y a la trombocitopenia estimulada por la infección. Algunos estudios no encuentran asociación entre el sangrado y la trombocitopenia 17, otros la encuentran significativa cuando la trombocitopenia es menor de 50 000/mL 18. La trombocitopenia en dengue puede deberse a una disminución en la producción y por incremento en la destrucción periférica debido a un secuestro esplénico y lisis por anticuerpos antiplaquetarios. Sabatier describió que la hemoconcentración y la trombocitopenia no siempre están presentes, incluso en pacientes con formas graves con o sin choque 19.
Los trastornos de la coagulación por dengue se han visto relacionados al sangrado, debido a la alteración en las proteínas anticoagulantes. Un grupo de investigación colombiano encontró que en sangrados significativos había elevación importante del TP y el TTP 20. Las alteraciones de la coagulación, en combinación con la trombocitopenia profunda y otros efectos secundarios a estados de choque, como la hipoxia, la acidosis y la disminución del fibrinógeno, pueden llevar a una verdadera coagulación intravascular diseminada. Este paciente tuvo trastornos de la coagulación severa; sin embargo, no se presentó sangrado de ningún tipo, probablemente por no presentar alteración plaquetaria. Evidentemente, hay casos en los que sí se presenta sangrado, por lo que se requiere inclusive transfusión sanguínea, como se relata en una serie de casos de diez pacientes con dengue gravemente enfermos, donde la indicación de transfusión de sangre fue reconocida rápidamente durante el curso clínico y para beneficio de los pacientes 21.
La fuga capilar va acompañada de derrame pleural, ascitis, edemas y deterioro de órganos y choque. En los niños hay más propensión debido a que, intrínsecamente, la microvasculatura es más permeable y tiene menor capacidad para compensar la extravasación del plasma. También la hipoalbuminemia es considerada un factor de riesgo para el desarrollo de formas graves 19. Esta hipoalbuminemia, así como la proteinuria, es frecuente en la infección por dengue, por lo que es importante considerarla, más aún cuando las características de la infección por dengue pueden imitar el síndrome nefrítico en la práctica clínica 22.
Por lo general, cuando disminuye la fiebre, si se incrementa la permeabilidad vascular puede producirse una evolución a hipovolemia y originar un choque en algunos casos. Durante la etapa inicial del choque, la presión arterial sistólica se mantiene normal, pero con reducción de la perfusión cutánea, lo que da lugar a extremidades frías y retraso del tiempo de llenado capilar. Si se mantiene la hipovolemia, la presión sistólica desciende y la diastólica se mantiene. El resultado es una disminución de la presión del pulso y de la presión arterial media 10. Deben monitorearse estas dos presiones, pues los pacientes con signos de alarma pueden progresar a formas graves con choque; sin embargo, en nuestro paciente, probablemente por un manejo oportuno y adecuado, no llegó a presentar un cuadro de shock evidente.
Algunos pacientes con dengue desarrollan fiebre que dura más de diez días; en ese caso, se tiene que descartar coinfección o sobreinfección. Si hay leucocitosis con aumento de neutrófilos y elevación importante de PCR, se debe investigar la presencia de una infección bacteriana agregada. Al ingreso, el paciente estudiado presentó leucocitosis, PCR muy elevada y persistencia de fiebre por más de catorce días, por lo que se pensó en una sobreinfección de peritonitis bacteriana. Por ello, se inició el tratamiento con antibiótico y, luego de catorce días de terapia, desapareció la fiebre, la PCR se normalizó y los niveles de leucocitos regresaron a los rangos normales.
Se ha sugerido que algunas medidas tempranas, como el soporte hídrico pertinente y la hospitalización temprana, y un adecuado uso de antipiréticos podría disminuir la severidad de la enfermedad 20. Esto hace necesario el reconocimiento precoz de ciertos indicadores pronósticos de riesgo mayor de desarrollar formas graves. Asimismo, la hipotensión es un signo tardío de choque y la vigilancia clínica de los pacientes con dengue debe identificar precozmente los síntomas y signos clínicos que traducen la presencia de trastornos de la perfusión tisular (fase inicial del choque), tales como la frialdad distal y retardo del llenado capilar 23, además del reconocimiento de los signos de alarma que indican el momento posible del paso a las formas graves de la enfermedad 10.
Adicionalmente, cabe destacar que puede haber afectación en otros sistemas u órganos, aunque en este caso específico no sucedió, como lo indicaron Castellanos et al. cuando describieron casos de niños diagnosticados con dengue que presentaron enfermedad neurológica con signos característicos como convulsiones tónico-clónicas, alteraciones de la conciencia, irritabilidad y ataxia. Los autores resaltan la importancia de incluir el dengue como diagnóstico diferencial en pacientes neurológicos provenientes de áreas endémicas 24. De la misma manera, se han descrito casos raros de síndrome hemofagocítico, como el de un niño de dos años con dengue grave que lo desarrolló, pero que se recuperó luego de la terapia con corticosteroides 25. En la misma línea, se ha descrito la linfohistiocitosis hemofagocítica, una enfermedad fatal poco común de linfocitos e histocitos 26,27, como es el caso de un paciente con dengue que progresó a esta condición durante su hospitalización. Dado que el paciente estaba clínicamente estable y había una condición desencadenante clara, como es el dengue, se optó por medidas de soporte en lugar de una terapia específica para la condición. Si bien nuestro paciente no presentó estas complicaciones, es importante saber que el reconocimiento temprano de la enfermedad se asocia con mejores resultados 27.
Creemos que el conocimiento adecuado de la enfermedad puede ayudar en el diagnóstico oportuno y el manejo apropiado de los casos y prevenir en lo posible la mayor morbimortalidad que, en algunos casos, se debe a un mal diagnóstico y tratamiento inadecuado, puesto que se han reportado complicaciones por sobrehidratación, así como al uso de medicación contraindicada como anticoagulantes, corticoides y los AINE. Existen indicaciones claras del momento de uso de paquetes globulares, plasma fresco congelado, crioprecipitado y plaquetas en los pacientes con dengue grave, así como guías y protocolos nacionales e internacionales bien desarrollados, los cuales deben implementarse en los diferentes niveles de atención de salud de la población rural y urbana. Se espera que este trabajo permita a los médicos tomar decisiones adecuadas y oportunas en la práctica clínica, y establecer medidas terapéuticas adecuadas orientadas a disminuir la morbimortalidad del dengue.

