10.24265/horizmed.2023.v23n4.10

Caso clínico

Insulinoma: reporte de un caso con resección quirúrgica exitosa

Insulinoma: a case report of a successful resective surgery

Luis Enrique Machicado Rivero*  1  2  , Médico asistente. Tutor y docente de Posgrado
http://orcid.org/0009-0005-9400-4620

1 Hospital Nacional Arzobispo Loayza, Departamento de Cirugía General. Lima, Perú.

2 Universidad de San Martín de Porres, Facultad de Medicina Humana. Lima, Perú.


RESUMEN

El insulinoma es un tumor endocrino del páncreas, el cual produce hiperinsulinismo y provoca disminución severa de la glucemia, con síntomas crónicos como desvanecimiento. Es más frecuente en varones y puede presentarse a cualquier edad, ya sea como neoplasias solitarias o múltiples, estas últimas conocidas por formar parte del grupo de neoplasias endocrinas múltiples tipo 1 (MEN 1). Los insulinomas son de rara presentación y requieren tratamiento quirúrgico resectivo; la resolución de los síntomas es el marcador de curación. En la presente publicación, se describe un caso de insulinoma en una mujer de 51 años, de presentación típica desde el punto de vista clínico, con síntomas y signos de hiperinsulinismo. Los exámenes de laboratorio indican un aumento de la secreción de insulina, mientras que las imágenes por resonancia magnética muestran características del insulinoma, donde se puede apreciar la tumoración pancreática. Este caso se trató mediante resección quirúrgica por medio de laparotomía exploratoria, utilizando la técnica de enucleación del tumor pancreático, la cual se describe al detalle en la publicación; no se presentaron complicaciones intraoperatorias ni posoperatorias, es decir, desde el punto de vista curativo, el resultado fue exitoso. Esta es la técnica quirúrgica que se emplea en el Hospital Nacional Arzobispo Loayza en Lima, Perú, ante casos como el descrito. Este tipo de neoplasia es muy poco común, por lo que se le debe considerar de alta sospecha y, en este caso, las imágenes fueron fundamentales para optar por la resección quirúrgica. En el hospital Arzobispo Loayza se han tratado otros casos de insulinoma mediante cirugía; asimismo, se ha presentado, al menos, un caso de nesidioblastosis, en donde no se pudo administrar un tratamiento adecuado al paciente.

Palabras clave: Insulinoma; Hiperinsulinismo; Páncreas; Neoplasias (Fuente: DeCS BIREME).


ABSTRACT

Insulinoma is a pancreatic neuroendocrine tumor that produces hyperinsulinism and causes a severe lowering of blood glucose levels with chronic symptoms such as fainting. It is more common in males and can occur at any age, either as solitary or multiple neoplasms, the latter known to be part of the multiple endocrine neoplasia, type 1 (MEN 1) group. Insulinomas are rare and require resective surgery, with symptoms resolution being the marker of recovery. This article describes a case of insulinoma in a 51-year-old woman with a clinically typical presentation and signs and symptoms of hyperinsulinism. Laboratory tests revealed increased insulin secretion, while magnetic resonance imaging showed features of insulinoma, where the pancreatic tumor could be seen. This case was treated by surgical resection of the pancreatic tumor during an exploratory laparotomy, using the enucleation technique, which is described in detail herein. There were no intraoperative or postoperative complications, i.e., the result was successful in terms of health recovery. This surgical technique is used at Hospital Nacional Arzobispo Loayza in Lima, Peru, when facing cases such as the one described. This type of neoplasm is very uncommon, so it should be considered highly suspicious and, in this case, the images were essential for choosing the surgical resection. Other cases of insulinoma have been treated surgically at the Hospital; moreover at least one case of nesidioblastosis could not receive an adequate treatment.

Keywords:  Insulinoma; Hyperinsulinism; Pancreas; Neoplasms (Source: MeSH NLM).


Introducción

El insulinoma es el tipo de tumor endocrino más frecuente del páncreas. Se ha reportado en 1 a 4 personas por millón cada año 1. Es más frecuente en varones que en mujeres y puede ocurrir a cualquier edad 2. La presentación del insulinoma es habitualmente benigna, con una masa menor a 2 cm de diámetro. Otra forma de presentación consiste en la presencia de múltiples insulinomas (10 % de los casos), lo cual se asocia a un síndrome de neoplasia endocrina múltiple tipo 1 (MEN 1, por sus siglas en inglés). Los síntomas son inespecíficos y, por ello, suele haber una demora en el tratamiento. Los pacientes presentan a menudo signos de hipoglicemia, debido a que el insulinoma secreta insulina 3. Tras la confirmación clínica de hiperinsulinismo, se procede a realizar un estadiaje imagenológico, el cual suele ser difícil. El tratamiento curativo para el insulinoma es la resección quirúrgica, aunque la localización quirúrgica suele ser un dilema diagnóstico si no se cuenta con los equipos para realizar una ecografía intraoperatoria.

En la siguiente presentación, se describe un caso del manejo de un insulinoma en el Hospital Nacional Arzobispo Loayza de Lima.

Reporte de caso

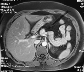
Se trata de una paciente mujer de 51 años que acudió al Hospital Loayza en marzo del 2012, con un tiempo de enfermedad de dos años, caracterizado por desvanecimiento, en especial por las noches tras la cena. No registraba antecedentes de enfermedades pancreáticas en la familia. Cuando ingresó al hospital, presentaba un cuadro de hipoglicemia de 50 mg/dl, motivo por el cual se le sometió a un dosaje de insulina, que arrojó 80 UI (rango mayor en 25 UI). Se le indicó ayuno prolongado, y se observó hipoglicemia asociada a hiperinsulinismo. El péptido C se encontraba elevado. Se decidió realizar una resonancia magnética (Figura 1), donde se evidenció una lesión nodular en la cara anterior del páncreas de aproximadamente 2 cm de diámetro. Se procedió con el dosaje de otras hormonas como cortisol y hormona tiroidea para descartar el síndrome de MEN.

Figura 1 Resonancia magnética de la paciente: lesión pancreática sugestiva de insulinoma 

Se sometió a la paciente a cirugía abierta; se practicó una incisión mediana supraumbilical, lo que permitió aperturar la transcavidad de los epiplones (Figura 2). Se pudo observar directamente la lesión, por lo que no fue necesario contar con otras imágenes intraoperatorias. Se procedió a realizar la palpación bimanual del páncreas, por lo cual se realizó la maniobra de Kocher extendida para evaluar la profundidad de la lesión.

Figura 2 Lesión nodular de aproximadamente 2 cm 

Con la finalidad de extirpar la lesión, se aplicó la técnica de sacabocado, luego se procedió a colocar suturas de seda (Figura 3), a manera de anclaje en las lesiones, y se extirpó la lesión nodular con electrocauterio monopolar (Figura 4). El resultado fue una hemostasia prolija (Figura 5). Finalmente, se procedió a cerrar la transcavidad de los epiplones y la cavidad se cerró en un plano sin colocación de drenajes.

Se extrajo un tumor de 2 cm (Figura 6), que fue enviado al laboratorio, y se obtuvo el diagnóstico anatomopatológico de insulinoma. La paciente mostró normalización de los niveles de glucosa y ya no presentó hiperinsulinismo en el posoperatorio ni en los controles posteriores, por lo que fue dada de alta al sexto día sin complicaciones.

Figura 3 Colocación de suturas de seda para anclaje de la neoplasia 

Figura 4 Extirpación del insulinoma en sacabocado con electrocauterio monopolar en modo spray 

Se realizó seguimiento de la paciente hasta el cuarto año de la cirugía. No hubo evidencia de síntomas de hiperinsulinismo y en los controles radiológicos no se encontró recurrencia.

Figura 5 Hemostasia prolija tras resecación de la neoplasia 

Discusión

Los insulinomas son tumores muy poco comunes, que se manifiestan con un cuadro clínico inespecífico. En diferentes revisiones de autopsias, la tasa de insulinomas silentes es de 0,8 a 10 % 4-7. Cuando hay sintomatología, se presenta habitualmente confusión, cambios de comportamiento, disturbios visuales, debilidad, vértigo, síncope, fatiga, obnubilación, convulsiones, entre otros 8,9. Los insulinomas son responsables del 70 al 75 % de los casos de hiperinsulinismo 10-12. Para localizar el tumor, la resonancia magnética es exitosa en un 47 % de los casos, con una sensibilidad media del 45 % 13,14.

El caso que se presenta exhibe una clínica muy sugerente de insulinoma. Los exámenes de diagnóstico fueron acertados y se descartó la posibilidad de neoplasia endocrina múltiple. Es poco frecuente encontrar este tipo de tumores por medio de imágenes, sin embargo, en este caso se pudo identificar la neoplasia con bastante claridad (Figura 1). Esto mejora las condiciones de resecabilidad, las cuales, asociadas a maniobras quirúrgicas apropiadas como una adecuada palpación bimanual y una enucleación amplia, auguran un buen pronóstico.

Entre otras experiencias en el hospital Arzobispo Loayza, se puede mencionar el éxito, aunque parcial, al resecar insulinomas; asimismo, se ha tenido al menos un caso de nesidioblastosis 15, en donde no se pudo administrar un tratamiento adecuado al paciente.

REFERENCIAS BIBLIOGRÁFICAS

1. Okabayashi T, Shima Y, Sumiyoshi T, Kozuki A, Ito S, Ogawa Y, et al. Diagnosis and management of insulinoma. World J Gastroenterol. 2013;19(6):829-37.

2. Bouslama K, Maghrebi H, Bedioui H, Bouslama K. Lï¿1/2insulinome pancreatique: approche diagnostique et modalites therapeutiques. J Afr Hepatol Gastroenterol. 2014;8:11-5.

3. Patel S, Narwari M, Parekh D, Shah V. Insulinoma: case report and review of diagnostic and treatment modalities. J Assoc Physicians India. 2013;61(6):423-6.

4. Shin JJ, Gorden P, Libutti SK. Insulinoma: pathophysiology, localization and management. Future Oncol. 2010;6(2):229-37.

5. Service FJ, McMahon MM, O'Brien PC, Ballard DJ. Functioning insulinoma incidence, recurrence, and long-term survival of patients: a 60-year study. Mayo Clin Proc. 1991;66(7):711-9.

6. Halfdanarson TR, Rabe KG, Rubin J, Petersen GM. Pancreatic neuroendocrine tumors (PNETs): incidence, prognosis and recent trend toward improved survival. Ann Oncol. 2008;19(10):1727-33.

7. Sada A, Glasgow AE, Vella A, Thompson GB, McKenzie TJ, Habermann EB. Malignant insulinoma: a rare form of neuroendocrine tumor. World J Surg. 2020;44(7):2288-94.

8. Abboud B, Boujaoude J. Occult sporadic insulinoma: localization and surgical strategy. World J Gastroenterol. 2008;14(5):657-65.

9. Cryer PE. Symptoms of hypoglycemia, thresholds for their occurrence, and hypoglycemia unawareness. Endocrinol Metab Clin North Am. 1999;28(3):495-500.

10. Rostambeigi N, Thompson GB. What should be done in an operating room when an insulinoma cannot be found? ClinEndocrinol (Oxf). 2009;70(4):512-5.

11. Gramatica L, Herrera MF, Mercado-Luna A, Sierra M, Verasay G, Brunner. Videolaparoscopic resection of insulinomas: experience in two institutions. World J Surg. 2002;26(10):1297-300.

12. Christ E, Iacovazzo D, Korbonits M, Perren A. Insulinomatosis: new aspects. Endocr Relat Cancer. 2023;30(6):e220327.

13. Hirshberg B, Libutti SK, Alexander HR, Bartlett DL, Cochran C, Livi A, et al. Blind distal pancreatectomy for occult insulinoma, an inadvisable procedure. J Am Coll Surg. 2002;194(6):761-4.

14. Pellegrino F, Granata V, Fusco R, Grassi F, Tafuto S, Perrucci L, et al. Diagnostic management of gastroenteropancreatic neuroendocrine neoplasms: technique optimization and tips and tricks for radiologists. Tomography. 2023;9(1):217-46.

15. Dravecka I, Lazurova I. Nesidioblastosis in adults. Neoplasma. 2014;61(3):252-6.


Fuentes de financiamiento: Este artículo ha sido financiado por el autor.

Recibido: 22 de Junio de 2023; Revisado: 10 de Julio de 2023; Aprobado: 20 de Julio de 2023

Correspondencia: Luis Enrique Machicado Rivero Dirección: Avenida Grau 481 Miraflores. Lima, Perú. Teléfono: +51 995 665 736 Correo electrónico: drmachicado75@gmail.com

Contribuciones del autor: El autor del presente trabajo realizó la recolección, análisis y redacción del presente artículo.

Conflicto de intereses: El autor declara no tener ningún conflicto de intereses.

Creative Commons License Este es un artículo publicado en acceso abierto bajo una licencia Creative Commons