Introducción
La aterectomía rotacional (AR) es una técnica específica adoptada para el tratamiento de lesiones complejas, especialmente aquellas con mucha calcificación que no se pueden dilatar adecuadamente con balones o estents convencionales, lo que lleva a la ruptura del primero o a la subexpansión de los segundos 1. A diferencia de la angioplastia coronaria transluminal percutánea (ACTP), esta técnica elimina parte del ateroma obstructivo mediante corte diferencial. En consecuencia, la rotación se asocia con una lesión de la pared menos profunda y, por lo tanto, los resultados a corto y largo plazo pueden ser mejores 2. El uso de la AR ha disminuido desde finales de la década de 1990, cuando se utilizó en aproximadamente el 10 % de las intervenciones coronarias percutáneas (ICP) en los Estados Unidos. Registros más recientes muestran que el uso de la AR representa <1 % de los casos de IPC en el Reino Unido y 1,35 % en personas mayores de 65 años en un registro grande de EE. UU. 3. Se presenta el caso de una paciente de 80 años con enfermedad coronaria multivaso y circulación coronaria extensamente calcificada por una historia de radioterapia, por lo cual se requirió de manejo con aterectomía rotacional e inserción de estents medicados.
Presentación de caso
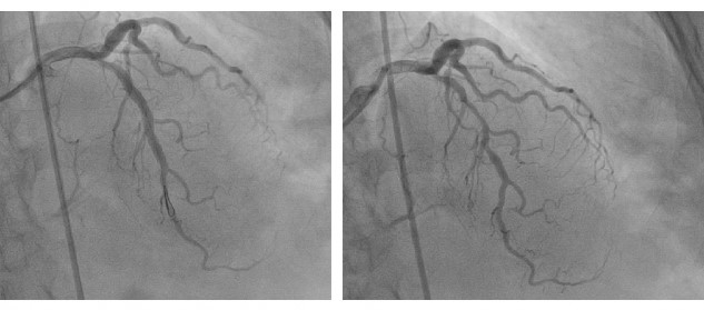
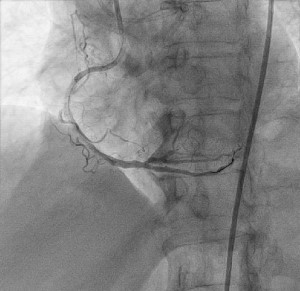
Una paciente de 80 años con antecedentes de diabetes mellitus tipo 2, hipertensión arterial, dislipidemia y cáncer de mama hace 6 años (con requerimiento de radioterapia) ingresó al hospital por dolor torácico de características típicas. En el examen físico se encontraron signos vitales estables, no hubo dificultad respiratoria ni tampoco signos de congestión pulmonar o sistémica. Se tomaron biomarcadores y un electrocardiograma, y los resultados fueron negativos para isquemia aguda. El ecocardiograma mostró fracción de eyección del ventrículo izquierdo (FEVI) conservada, dilatación auricular izquierda, ausencia de trastornos de la contractilidad e insuficiencia mitral leve a moderada. La coronariografía evidenció arteria coronaria izquierda sin lesiones obstructivas significativas, lesión calcificada del 70 % en el tercio proximal de la arteria descendente anterior y del 70 % de tercio medio de la misma arteria, coronaria derecha ocluida totalmente en su tercio medio, vaso severamente calcificado y oclusión total de la arteria posterolateral. Además, se realizó el diagnóstico de enfermedad coronaria multivaso; se solicitó la valoración por cirugía cardiovascular, que indicó que no había posibilidad de realizar el procedimiento quirúrgico por calcificación a lo largo de todas las arterias coronarias. Posteriormente, se llevó a cabo una coronariografía, donde se realizó la permeabilización de descendente anterior y posterior por medio de la AR e insertaron un estent medicado (Figura 1 y Figura 2). Durante el procedimiento, se reportó la microperforación de la arteria posterolateral, pero fue posible corregirla en el mismo tiempo quirúrgico con la técnica de embolización con micropartículas. Luego de la intervención, la paciente tuvo una adecuada evolución clínica y se dio su egreso.
Discusión
La AR se indica en casos de calcificación de arterias coronarias (CAC), que es la patología más frecuente de las arterias coronarias. También el procedimiento se indica si se presenta enfermedad ateromatosa difusa en la que se requieren estents largos, reestenosis in-stent, lesiones ostiales calcificadas y oclusiones totales crónicas 4. Dado que la AR evita el prolapso o el desplazamiento de la placa, podría ser especialmente útil en las lesiones en bifurcación, lo que permite una mejor conservación de las ramas laterales 5. El uso de la AR ha disminuido desde finales de la década de 1990, cuando se utilizó en aproximadamente el 10 % de las ICP en los Estados Unidos. Registros más recientes muestran que el uso de AR representa <1 % de los casos de ICP en el Reino Unido y 1,35 % en personas mayores de 65 años en un registro grande de EE. UU. 3.
La CAC está influenciada por una serie de factores como la edad, el género, la diabetes mellitus, la hipertensión arterial y la enfermedad renal crónica 6. Nuestra paciente, además de tener dos de estos factores de riesgo, tenía antecedente de radioterapia por cáncer de mama. Según el estudio BACCARAT, este tratamiento aumenta el riesgo de CAC y, sobre todo, de la arteria descendente anterior porque es el vaso más expuesto 7. La CAC se puede medir por métodos de imagen como la tomografía por haz de electrones, y existe asociación entre la severidad de esta y la mortalidad 8.
La AR es una técnica específica adoptada para el tratamiento de lesiones complejas, especialmente aquellas con calcificación intensa que no se pueden dilatar adecuadamente con balones o estents convencionales, lo que lleva a la ruptura de los primeros o a la subexpansión de los segundos. La AR induce el agrandamiento de la luz mediante la eliminación física de la placa, genera microfragmentos y reduce la rigidez de la placa, lo que facilita la dilatación adecuada 1. Estos fragmentos resultantes, al ser de pequeño tamaño, pasan a la circulación capilar y son absorbidos por el sistema reticuloendotelial 9,10. La combinación de AR más terapia con estent se ha asociado con la tasa de supervivencia libre de revascularización de la lesión diana más alta, así como con la tasa de supervivencia libre de eventos más alta a los 9 meses (85,4 % y 85,4 %, respectivamente). El diámetro luminal mínimo final de la lesión tratada fue el único predictor independiente significativo de una supervivencia libre de eventos 11.
Respecto a la aplicación de este procedimiento en pacientes ancianos, Dahdouh et al. realizaron un estudio en un grupo de pacientes con indicación de revascularización quirúrgica, pero sin posibilidad de realizarse por presentar CAC; ellos mostraron que la AR es segura, no tiene riesgo aumentado de injuria renal en comparación con la ICP sin AR y tiene una tasa de efectividad significativa 12, independientemente de si se utiliza el abordaje radial o femoral 13.
Las complicaciones de este procedimiento incluyen la perforación o ruptura coronaria, flujos lentos, atrapamiento o desconexión de la fresa y lesiones ostiales de la arteria coronaria derecha 14. La perforación debida a la fresa es la complicación más grave de la AR, y la incidencia es de aproximadamente 1 %. El riesgo de perforación depende, en gran medida, de las características de la lesión, como la tortuosidad del vaso o la excentricidad de la calcificación. En general, se considera que el riesgo de perforación es mayor en una calcificación excéntrica, como los nódulos calcificados en comparación con una calcificación concéntrica, como la calcificación en "anillo de servilleta". La selección del tamaño de fresa y RotaWire MR adecuados es importante para prevenir la perforación. El uso de dispositivos de imágenes intravasculares ayudaría a los operadores a seleccionar el tamaño de fresa y RotaWire MR óptimos 15.
