10.24265/horizmed.2024.v24n4.16

Caso clínico

Síndrome de paraganglioma familiar: un caso raro de hipertensión secundaria en jóvenes

Familial paraganglioma syndrome: a rare case of secondary hypertension in young patients

Gonzalo Miranda Manrique1  , Endocrinólogo; médico asistente
http://orcid.org/0000-0003-0162-1952

Rosa Pando Álvarez1  , médico asistente
http://orcid.org/0000-0002-6112-802X

Hugo Arbañil Huamán1  , médico asistente
http://orcid.org/0000-0001-6738-7834

Dante Américo Gamarra González1  , médico asistente
http://orcid.org/0000-0002-1166-7121

1Hospital Nacional Dos de Mayo, Servicio de Endocrinología. Lima, Perú.


RESUMEN

Los paragangliomas son tumores infrecuentes que se originan en el sistema nervioso autónomo, cuyas manifestaciones clínicas son el resultado de la producción excesiva de catecolaminas. La mayoría de los derivados de ganglios parasimpáticos se localizan en el cuello y la base del cráneo, a lo largo de las ramas de los nervios glosofaríngeo y vago. Por otro lado, los paragangliomas simpáticos surgen fuera de la glándula suprarrenal, a lo largo de la cadena simpática. Aproximadamente el 75 % de ellos se presenta en el abdomen; asimismo, la mayoría son funcionales y provocan hipersecreción de catecolaminas. Estos tumores tienen agresividad variable y se caracterizan por un amplio espectro de predisposición hereditaria; de hecho, más de un tercio presenta dicha susceptibilidad. Se han descrito cinco síndromes hereditarios con diferentes variantes patogénicas en cada tipo. Además, se sabe que existen distintas correlaciones genotípicas y fenotípicas con cada mutación.

Se presenta el caso de una paciente de 26 años, con tiempo de enfermedad de cinco años, catalogada como hipertensión endocrina. Tenía metanefrinas fraccionadas urinarias elevadas. Una tomografía contrastada encontró una masa sólida en el espacio retroperitoneal; incidentalmente, por resonancia magnética se hallaron tumores bilaterales a nivel cervical no asociados a funcionalidad. Se realizó una intervención quirúrgica de la masa abdominal, y el diagnóstico anatomopatológico confirmó la presencia de un paraganglioma bien delimitado.

Pese a la poca frecuencia de estos tumores, es importante tenerlos en cuenta en el diagnóstico diferencial de la hipertensión, especialmente en pacientes jóvenes, debido a su potencial maligno y efectos sobre el sistema cardiovascular.

Palabras clave: Paraganglioma; Hipertensión; Adulto Joven


ABSTRACT

Paragangliomas are uncommon tumors that originate in the autonomic nervous system and whose clinical manifestations result from excessive catecholamine production. Most of those arising from parasympathetic ganglia are located in the neck and at the base of the skull, along the branches of the glossopharyngeal and vagus nerves. On the other hand, sympathetic paragangliomas occur outside the adrenal, gland along the sympathetic chain. Approximately 75 % of them occur in the abdomen, most of which are functional and present with hypersecretion of catecholamines. These tumors exhibit varying degress of aggressiveness and are characterized by a wide spectrum of hereditary predisposition. In fact, more than one-third exhibit such susceptibility. Five hereditary syndromes have been described, each with different pathogenic variants. Moreover, it is known that there are various genotypic and phenotypic correlations associated with each mutation. We present the case of a 26-year-old female patient, with a five-year history of disease, classified as endocrine hypertension. The patient also had elevated urinary fractionated metanephrine. A contrast-enhanced computed tomography (CT) scan revealed a solid mass in the retroperitoneal space. Additionally, magnetic resonance imaging (MRI) detected bilateral tumors at the cervical level which were not associated with functionality. Surgical intervention was performed on the abdominal mass, and the pathological diagnosis confirmed the presence of a well-defined paraganglioma. Despite the low frequency of these tumors, it is important to take them in account in the differential diagnosis of hypertension, especially in young patients, due to their malignant potential and effects on the cardiovascular system.

Keywords: Paraganglioma; Hypertension; Young Adult


Introducción

Los paragangliomas (feocromocitomas extrasuprarrenales) son tumores raros que se originan en el sistema nervioso autónomo, cuyas manifestaciones clínicas son el resultado de una producción excesiva de catecolaminas. La tríada clásica de palpitaciones, cefalea y diaforesis asociada con hipertensión solo se presenta en el 50 % de los pacientes 1.

La mayoría de los derivados de ganglios parasimpáticos se localizan en el cuello y en la base del cráneo, a lo largo de las ramas de los nervios glosofaríngeo y vago. Los tumores del cuerpo carotídeo son los paragangliomas más comunes de la base del cráneo y la región del cuello (60 %), seguidos por el yugulotimpánico y el vagal 2. En raras ocasiones, los paraganglios laríngeos están afectados. La mayoría (80 %-90 %) no son funcionales y los síntomas son el resultado del efecto de masa 2,3.

Los paragangliomas simpáticos surgen fuera de la glándula suprarrenal a lo largo de la cadena simpática, desde la base del cráneo (5 %) hasta la vejiga y la próstata (10 %) 2. Aproximadamente el 75 % se presenta en el abdomen, con mayor frecuencia en la unión de la vena cava y la vena renal izquierda, o en el órgano de Zuckerkandl, que reside en la bifurcación aórtica cerca del inicio de la arteria mesentérica inferior 3. Alrededor del 10 % aparece en el tórax, incluidas las localizaciones pericárdicas. También pueden encontrarse en la glándula tiroides, en una zona adyacente a la columna torácica y en la cola de caballo. La mayoría de los paragangliomas simpáticos son funcionales y se presentan con hipersecreción de catecolaminas; una minoría de pacientes experimenta dolor u otros síntomas relacionados con el efecto de masa 1,3.

En la actualidad se considera que todos los feocromocitomas y paragangliomas tienen potencial metastásico 2,3. Los paragangliomas son tumores raros con agresividad variable, caracterizados por un amplio espectro de predisposición hereditaria. De hecho, más de un tercio tiene susceptibilidad de ser hereditario, que es la tasa más alta entre todos los tipos de tumores neuroendocrinos 4.

Se sabe que los feocromocitomas/paragangliomas (PPGL) forman tres grupos específicos en función de sus mutaciones somáticas o de la línea germinal subyacente: grupos 1A y 1B, relacionados con la pseudohipoxia; grupo 2, relacionado con la señalización de quinasas; y clúster, relacionado con la señalización Wnt. Se han descrito cinco síndromes hereditarios de paraganglioma, dados por mutaciones en los genes de la succinato-deshidrogenasa (SDH), con diferentes variantes patogénicas en cada tipo; todos ellos se caracterizan por un patrón de herencia autosómico dominante con penetrancia variable. El riesgo tumoral y las tasas de neoplasias malignas se dan de acuerdo con el tipo de variante patógena. Entre los pacientes con síndrome de paraganglioma familiar, el gen mutado con más frecuencia es el de la subunidad D (SDHD) 5.

Los tipos más comunes son el síndrome de paraganglioma familiar tipo 1 (PGL1), que se asocia con variantes patógenas del gen de la SDHD, y el tipo 4 (PGL4), que es causado por variantes patógenas de la subunidad B (SDHB). Dentro de los síndromes hereditarios autosómicos dominantes que incluyen PPGL también se encuentran la neoplasia endocrina múltiple tipo 2A y 2B (NEM2), la neurofibromatosis tipo 1 (NF1) y la enfermedad de von Hippel Lindau (VHL) 6.

Casi todos los paragangliomas producen catecolaminas en exceso, lo que resulta en hipertensión con predilección por las crisis hipertensivas.Alrededor del 20 % de ellos, principalmente el intraabdominal, también secretan catecolaminas 3. Por otro lado, los que se ubican en el cuello generalmente no producen catecolaminas. La paciente de este caso solo tuvo compromiso de los ganglios simpáticos 4-6.

Caso clínico

Se presenta el caso de una mujer de 26 años, con tiempo de enfermedad de cinco años, que se caracterizó por sudoración profusa episódica, cefalea e hipertensión arterial refractaria al tratamiento antihipertensivo, que incluyó irbesartán de 150 mg, hidroclorotiazida de 25 mg y amlodipino de 10 mg. También presentó palpitaciones intermitentes que se intensificaron un mes antes del ingreso.

En el examen inicial, obtuvo los siguientes resultados: presión arterial, 150/90 mmHg; examen cardíaco, frecuencia regular y ritmo sin soplos; abdomen, blando y depresible; examen neurológico, paciente alerta, atenta y orientada; fuerza muscular, conservada.

El diagnóstico que obtuvo fue hipertensión de origen endocrino. Tenía las metanefrinas urinarias y la normetanefrina plasmática elevadas, así como la cromogranina plasmática A (CgA) positiva. Otros estudios fueron negativos.

Posteriormente, se realizó un estudio de tomografía abdominal contrastada con resultado de una masa sólida de bordes definidos localizados en el espacio retroperitoneal de la región intercava, inmediatamente anterior al disco intervertebral L2-L3, que medía 26 x 23,9 x 28,8 mm, con realce intenso a la aplicación de sustancia de contraste sugestiva de paraganglioma retroperitoneal (Figura 1 y Figura 2).

Figura 1 Estudio de tomografía computarizada del abdomen: masa sólida de bordes definidos ubicada en el espacio retroperitoneal de la región intercava 

Figura 2 Estudio de tomografía computarizada del abdomen: realce intenso a la aplicación de sustancia de contraste sugestiva de paraganglioma retroperitoneal 

Asimismo, se encontraron incidentalmente tumores bilaterales a nivel cervical de 14 mm en el lado derecho y 10 mm en el lado izquierdo, sugerentes de paraganglioma por resonancia magnética (RM).

Con un diagnóstico sospechoso de paraganglioma del órgano de Zuckerkandl, se realizó bloqueo alfa y beta-adrenérgico, incluyendo terazosina y propranolol. Luego se realizó una intervención quirúrgica mediante una resección de bloqueo del tumor. No hubo complicaciones posoperatorias. La paciente presentó remisión completa con determinaciones normales en orina de catecolaminas, metanefrinas y cromogranina A (Tabla 1).

Tabla 1 Estudios bioquímicos en prey posoperatorio 

Valor normal Preoperatorio Posoperatorio
Relación metanfrina/creatinina (ng/dl) 1-2 3,9 1,1
Normetanefrinas plasmáticas <196 1908 111
(pg/ml)
Norepinefrinas plasmáticas (pg/ml) 150-170 756 160
Metanefrinas en orina 25 222 433 110,5
(µg/24 h)
Normetanefrinas en orina 40-412 670 400,5
(µg/24 h)

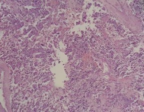
El diagnóstico anatomopatológico confirmó la sospecha de paraganglioma capsulado bien delimitado 2 x 1 x 0,3 cm, con bajo índice mitótico (<2), con resultado de inmunohistoquímica de cromogranina y la sinaptofisina positiva (Figura 3).

Figura 3 Examen anatomopatológico: paraganglioma capsulado bien delimitado de 20 x 10 x 3 mm 

Actualmente, la paciente se encuentra en seguimiento, con evolución favorable, mediante medición de metanefrinas y normetanefrinas plasmáticas y urinarias en rangos dentro de los valores normales en los primeros tres meses posteriores a la cirugía y en los siguientes controles realizados cada seis meses. Está pendiente la prueba del gen de la SDHB; asimismo, no se han podido realizar hasta el momento estudios genéticos en sus familiares.

Discusión

En la paciente de este caso, los niveles elevados de catecolaminas séricas y urinarias y la visualización de la masa en las pruebas de imagen permitieron el diagnóstico de estos tumores.

Al igual que en la mayoría de los casos reportados en la literatura, si los paragangliomas se diagnostican y tratan temprano, son una causa potencialmente tratable de hipertensión secundaria 5-7.

Se considera que este caso está relacionado con el síndrome de paraganglioma familiar por la presencia de estos tumores a nivel retroperitoneal y la probable presencia de paragangliomas no funcionantes a nivel cervical de aparición a una edad temprana. En este caso no se encontró relación con la NEM2, la VHL ni la NF1. Los pacientes con paragangliomas múltiples, como este caso, generalmente presentan una enfermedad hereditaria 8,9.

La mayoría de los casos de PPGL familiar son el resultado de mutaciones en tres genes: SDHB, SDHC y SDHD, que codifican subunidades del complejo SDH, un componente tanto de la cadena mitocondrial-respiratoria (complejo II) como del ciclo de Krebs 1,10.

Existen distintas correlaciones genotípico-fenotípicas con cada mutación. Los genes de susceptibilidad al feocromocitoma y al paraganglioma se agrupan en tres grupos, y los grupos 1 y 2 tienen una importancia clínica significativa con un comportamiento clínico, una presentación bioquímica y firmas de imágenes distintas. Los tipos más comunes son PGL1, asociado con variantes patogénicas del gen de la SDHD, y PGL4, causado por variantes patógenas de la SDHB. Las variantes patogénicas de SDHB se consideran el factor de riesgo más común que se relaciona con el feocromocitoma y el paraganglioma metastásicos 3. Los pacientes con mutaciones SDHB tienen antecedentes familiares positivos en 33 % de los casos, presentan tumores únicos alrededor de los 30 años de edad y tienen paragangliomas extrasuprarrenales, principalmente en el abdomen y la pelvis; el 20 % también puede tener feocromocitomas 3,6,7. En la paciente no se encontraron antecedentes familiares, pero los paragangliomas se localizaron principalmente en el abdomen, además, sus síntomas comenzaron alrededor de los 25 años 11,12,13. Esa es la razón por la que una mutación en SDHB probablemente podría estar relacionada con el tipo de paraganglioma de la paciente 11.

Los paragangliomas asociados a SDHD tienen cierta propensión a hacer metástasis. Además, debido a la línea germinal de la variante patogénica, pueden ocurrir nuevos tumores primarios en los diversos tejidos diana 14,15. Es por eso que un monitoreo de por vida y una prueba genética del gen SDH son importantes 15.

La CgA es una glicoproteína contenida en los gránulos de secreción de células neuroendocrinas que se usa ampliamente como marcador tumoral circulante. En este estudio, este marcador también reveló que los cambios en los niveles plasmáticos de CgA se asociaron con el tumor 13,15.

Pese a la poca frecuencia de los paragangliomas, es importante considerarlos en el diagnóstico diferencial de la hipertensión, especialmente en pacientes jóvenes, por su potencial maligno y los efectos en la secreción de catecolaminas en el sistema cardiovascular.

El diagnóstico y el tratamiento deben ser tempranos y agresivos. Todos los pacientes con paragangliomas deben someterse a pruebas de detección de variantes patógenas de la línea germinal en SDHD, SDHC, SDHAF2 y SDHB, entre otras, así como al monitoreo de por vida, ya que estas son consideradas medidas críticas en el manejo de la enfermedad 10,15.

REFERENCIAS BIBLIOGRÁFICAS

1. Lenders JWM, Kerstens MN, Amar L, Prejbisz A, Robledo M, Taieb D, et al. Genetics, diagnosis, management and future directions of research of phaeochromocytoma and paraganglioma: a position statement and consensus of the Working Group on Endocrine Hypertension of the European Society of Hypertension. J Hypertens [Internet]. 2020;38(8):1443-56.

2. Fishbein L, Merrill S, Fraker DL, Cohen DL, Nathanson KL. Inherited mutations in pheochromocytoma and paraganglioma: why all patients should be offered genetic testing. Ann Surg Oncol [Internet]. 2013; 20(5):1444-50.

3. Pacak K. New Biology of Pheochromocytoma and Paraganglioma. Endocr Pract [Internet]. 2022;28(12):1253-69.

4. Martinelli S, Maggi M, Rapizzi E. Pheochromocytoma/paraganglioma preclinical models: which to use and why? Endocr Connect [Internet]. 2020;9(12):R251-R260.

5. Cornu E, Belmihoub I, Burnichon N, Grataloup C, Zinzindohué F, Baron S, et al. Phaeochromocytoma and paraganglioma. Rev Med Interne [Internet]. 2019;40(11):733-41.

6. Neumann HPH, Young WF Jr, Eng C. Pheochromocytoma and Paraganglioma. N Engl J Med [Internet]. 2019;381(6):552-65.

7. Van Duinen N, Steenvoorden D, Kema IP, Jansen JC, Vriends AHJT, Bayley JP, et al. Increased urinary excretion of 3-methoxytyramine in patients with head and neck paragangliomas. J Clin Endocrinol Metab [Internet]. 2010;95(1):209-14.

8. McNicol AM. Update on tumours of the adrenal cortex, phaeochromocytoma and extra-adrenal paraganglioma. Histopathology [Internet]. 2011;58(2):155-68.

9. Mete O, Asa SL, Gill AJ, Kimura N, de Krijger RR, Tischler A. Overview of the 2022 WHO Classification of Paragangliomas and Pheochromocytomas. Endocr Pathol [Internet]. 2022;33(1):90-114.

10. Nölting S, Bechmann N, Taieb D, Beuschlein F, Fassnacht M, Kroiss M, et al. Personalized Management of Pheochromocytoma and Paraganglioma. Endocr Rev [Internet]. 2022;43(2):199-239.

11. Yan Q, Bancos I, Gruber LM, Bancos C, McKenzie TJ, BabovicVuksanovic D, et al. When Biochemical Phenotype Predicts Genotype: Pheochromocytoma and Paraganglioma. Am J Med [Internet]. 2018;131(5):506-9.

12. Ramlawi B, David EA, Kim MP, García-Morales LJ, Blackmon SH, Rice DC, et al. Contemporary surgical management of cardiac paragangliomas. Ann Thorac Surg [Internet]. 2012;93(6):1972-6.

13. Michalowska I, Cwikla J, Prejbisz A, Kwiatek P, Szperl M, Michalski W, et al. Mediastinal paragangliomas related to SDHx gene mutations. Kardiochir Torakochirurgia Pol [Internet]. 2016;13(3):276-82.

14. Korpershoek E, Favier J, Gaal J, Burnichon N, Van Gessel B, Oudjik L, et al. SDHA immunohistochemistry detects germline SDHA gene mutations in apparently sporadic paragangliomas and pheochromocytomas. J Clin Endocrinol Metab [Internet]. 2011;96(9):E1472-6.

15. Ikram A, Rehman A. Paraganglioma [Internet]. Florida: StatPearls; 2022. Disponible en: https://www.ncbi.nlm.nih.gov/books/NBK549834/

Fuentes de financiamiento: Los autores financiaron este artículo.

Recibido: 05 de Febrero de 2024; Revisado: 16 de Marzo de 2024; Aprobado: 03 de Abril de 2024

Correspondencia: Gonzalo Francisco Miranda Manrique sith1685@hotmail.com

Contribución de autoría: GMM participó en la conceptualización, investigación, metodología, recursos y redacción del borrador original. HAH, RPA y DGG participaron en la investigación, la metodología, los recursos y la redacción del borrador original.

Conflicto de intereses: Los autores declaran no tener ningún conflicto de intereses.

Creative Commons License Este es un artículo publicado en acceso abierto bajo una licencia Creative Commons