10.24265/horizmed.2024.v24n4.16

Case Report

Familial paraganglioma syndrome: a rare case of secondary hypertension in young patients

 

Gonzalo Miranda Manrique 1,a,b

Rosa Pando Álvarez 1,b

Hugo Arbañil Huamán 1,b

Dante Américo Gamarra González 1,b

 

1 Hospital Nacional Dos de Mayo, Department of Endocrinology. Lima, Peru.

 

a Endocrinologist

b Attending physician.

 

ABSTRACT

Paragangliomas are uncommon tumors that originate in the autonomic nervous system and whose clinical manifestations result from excessive catecholamine production. Most of those arising from parasympathetic ganglia are located in the neck and at the base of the skull, along the branches of the glossopharyngeal and vagus nerves. On the other hand, sympathetic paragangliomas occur outside the adrenal gland, along the sympathetic chain. Approximately 75 % of them occur in the abdomen, most of which are functional and present with hypersecretion of catecholamines. These tumors exhibit varying degrees of aggressiveness and are characterized by a broad spectrum of genetic predispositions. In fact, more than one-third exhibit such susceptibility. Five hereditary syndromes have been described, each with different pathogenic variants. Moreover, it is known that there are various genotypic and phenotypic correlations associated with each mutation.

We present the case of a 26-year-old female patient, with a five-year history of disease, classified as endocrine hypertension. The patient also had elevated urinary fractionated metanephrines. A contrast-enhanced computed tomography (CT) scan revealed a solid mass in the retroperitoneal space. Additionally, magnetic resonance imaging (MRI) detected bilateral tumors at the cervical level which were not associated with functionality. Surgical intervention was performed on the abdominal mass, and the pathological diagnosis confirmed the presence of a well-defined paraganglioma.

Despite the low frequency of these tumors, it is important to take them in account in the differential diagnosis of hypertension, especially in young patients, due to their malignant potential and effects on the cardiovascular system.

Keywords: Paraganglioma; Hypertension; Young Adult (Source: MeSH NLM).

 

INTRODUCTION

Paragangliomas (extra-adrenal pheochromocytomas) are rare tumors originating in the autonomic nervous system, whose clinical manifestations result from excessive secretion of catecholamines. The classic triad of palpitations, headache and diaphoresis associated with hypertension occurs in only 50 % of patients (1).

Most derivatives of parasympathetic ganglia are located in the neck and at the base of the skull, along the branches of the glossopharyngeal and vagus nerves. Carotid body tumors are the most common paragangliomas of the skull base and neck region (60 %), followed by jugulotympanic and vagal paragangliomas (2). Rarely, the laryngeal paraganglia are affected. The majority (80 %-90 %) are non-functional, and symptoms are the result of mass effect (2,3).

Sympathetic paragangliomas arise outside the adrenal gland along the sympathetic chain, from the base of the skull (5 %) to the bladder and prostate (10 %) (2). Approximately 75 % occur in the abdomen, most commonly at the junction of the vena cava and left renal vein, or in the organ of Zuckerkandl, located at the aortic bifurcation near the origin of the inferior mesenteric artery (3). About 10 % arise in the thorax, including pericardial locations. They may also arise in the thyroid gland, adjacent to the thoracic spine and the cauda equina. Most sympathetic paragangliomas are functional and present with hypersecretion of catecholamines; a minority present with pain or other symptoms related to mass effect (1,3).

All pheochromocytomas and paragangliomas are currently considered to have metastatic potential (2,3). Paragangliomas are rare tumors with variable degrees of aggressiveness, characterized by a broad spectrum of genetic predispositions. In fact, more than one-third of them are likely to be hereditary, which is the highest rate among all types of neuroendocrine tumors (4).

Pheochromocytomas/paragangliomas (PPGLs) are known to form three specific groups based on their underlying germline or somatic mutations: clusters 1A and 1B, related to pseudohypoxia; cluster 2, related to kinase signaling; and a third cluster, related to Wnt signaling. Five hereditary paraganglioma syndromes have been described, caused by mutations in succinate dehydrogenase (SDH) genes, each type associated with different pathogenic variants. All of them are characterized by an autosomal dominant inheritance pattern with variable penetrance. Tumor risk and rates of malignant neoplasms vary depending on the type of pathogenic variant. The SDHD gene (subunit D) is the most frequently mutated in patients with familial paraganglioma syndrome (5).

The most common types are familial paraganglioma syndrome type 1 (PGL1), which is associated with pathogenic variants in the SDHD gene, and type 4 (PGL4), which is caused by pathogenic variants in the subunit B (SDHB). Other autosomal dominant hereditary syndromes that include pheochromocytoma/paraganglioma are multiple endocrine neoplasia type 2A and 2B (MEN2), neurofibromatosis type 1 (NF1) and Von Hippel-Lindau (VHL) disease (6).

Nearly all paragangliomas produce excess catecholamines, resulting in hypertension prone to hypertensive crises. Around 20 % of them, mainly those located intra-abdominally, also secrete catecholamines (3). On the other hand, those located in the neck generally do not produce catecholamines. In our patient, only sympathetic ganglia were involved (4-6).

 

CLINICAL CASE

We present the case of a 26-year-old woman, with a five- year-history of disease, characterized by episodic profuse sweating, headache and hypertension refractory to antihypertensive treatment, which included irbersartan 150 mg, hydrochlorothiazide 25 mg and amlodipine 10 mg. She also presented intermittent palpitations that intensified one month prior to admission.

On initial examination, her blood pressure was 150/90 mmHg. Cardiac examination revealed a regular rate and rhythm without murmurs. The abdomen was soft and depressible. Neurological examination showed that she was alert, attentive and oriented, with preserved muscle strength.

The diagnosis was hypertension of endocrine origin. She had elevated levels of urinary metanephrines and plasma normetanephrine, as well as a positive plasma chromogranin A (CgA). Other tests were negative.

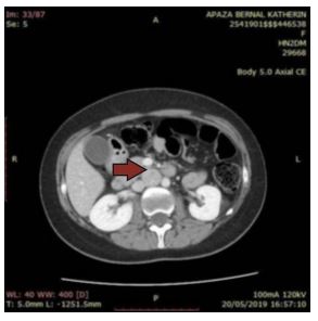
Subsequently, a contrast-enhanced abdominal CT scan was performed, revealing a solid mass with well-defined borders located in the retroperitoneal intercaval region, immediately anterior to the L2-L3 intervertebral disc, measuring 26 x 23.9 x 28.8 mm. The mass showed intense enhancement with contrast administration, suggestive of a retroperitoneal paraganglioma (Figures 1 and 2).

Figure 1. Abdominal CT scan showing a solid mass with defined borders located in the retroperitoneal intercaval region

Figure 2. Abdominal CT scan showing intense enhancement after contrast administration, suggestive of a retroperitoneal paraganglioma

In addition, bilateral cervical tumors were incidentally found, measuring 14 mm on the right side and 10 mm on the left, suggestive of a paraganglioma on magnetic resonance imaging (MRI).

Alpha- and beta-adrenergic blockade with terazosin and propranolol was initiated following a presumptive diagnosis of paraganglioma of the organ of Zuckerkandl. Surgical intervention was then performed by en bloc resection of the tumor. No postoperative complications occurred. The patient achieved complete remission, with normal urinary levels of catecholamines, metanephrines, and chromogranin A (Table 1).

Familial paraganglioma syndrome: a rare case of secondary hypertension in young patients

 

Table 1. Biochemical studies before and after surgery

 

 

Normal value

Preoperative value

Postoperative value

Metanephrine/creatinine ratio (ng/dL)

1-2

3.9

1.1

Plasma normetanephrines (pg/mL)

< 196

1,908

111

Plasma norepinephrines (pg/mL)

150-170

756

160

Urinary metanephrines (µg/24 h)

25,222

433

110.5

Urinary normetanephrines

(μg/24 h)

40-412

670

400.5

 

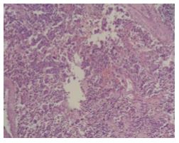
Histopathological diagnosis confirmed the suspicion of a well-defined and encapsulated paraganglioma measuring 2 x 1 x 0.3 cm, with a low mitotic index (< 2). Immunohistochemical staining was positive for chromogranin and synaptophysin (Figure 3).

Figure 3. Histopathological examination showing a well-defined and encapsulated paraganglioma measuring 20 x 10 x 3 mm

Currently, the patient remains under follow-up and has shown a favorable clinical course, with plasma and urinary levels of metanephrines and normetanephrines remaining within normal ranges during the first three months after surgery and in subsequent evaluations conducted every six months. SDHB gene testing is pending, and genetic testing has not yet been performed on her family members.

 

DISCUSSION

In our patient, elevated serum and urinary catecholamine levels and visualization of the mass on imaging tests enabled the diagnosis of these tumors.

As in most cases reported in the literature, early diagnosis and treatment of paragangliomas make them a potentially treatable cause of secondary hypertension (5-7).

This case is considered to be related to familial paraganglioma syndrome, given the presence of retroperitoneal tumors and the probable presence of non-functioning cervical paragangliomas at an early age. In this case, no association was found with MEN2, VHL syndrome or NF1. Patients with multiple paragangliomas, as in our case, generally present with a hereditary form of the disease (8,9).

Most cases of familial PPGL result from mutations in three genes: SDHB, SDHC and SDHD, which encode subunits of the SDH complex, a component of both the mitochondrial-respiratory chain (complex II) and the Krebs cycle (1,10).

There are distinct genotypic-phenotypic correlations with each mutation. Pheochromocytoma and paraganglioma susceptibility genes are classified into three groups, and clusters 1 and 2 are of significant clinical importance due to their distinct clinical behavior, biochemical presentation and imaging signatures. The most common types are PGL1, associated with pathogenic variants of the SDHD gene, and PGL4, caused by pathogenic variants of SDHB. Pathogenic variants of SDHB are considered the most common risk factor associated with metastatic pheochromocytoma and paraganglioma (3). Patients with SDHB mutations have a positive family history in 33 % of cases, present with single tumors around 30 years of age and develop extra-adrenal paragangliomas, mainly in the abdomen and pelvis. In addition, 20 % of them may develop pheochromocytomas (3,6,7). Our patient had no family history; however, the paragangliomas were mainly located in the abdomen. Moreover, her symptoms started at the age of 25 years (11,12,13). Therefore, a mutation in SDHB may be associated with the type of paraganglioma observed in our patient (11).

SDHD-associated paragangliomas have a certain propensity for metastasis. In addition, due to the germline of the pathogenic variant, new primary tumors may develop in the various target tissues (14,15). For this reason, lifelong monitoring and genetic testing of the SDH gene are important (15).

CgA is a glycoprotein found in the secretory granules of neuroendocrine cells that is widely used as a circulating tumor marker. In this study, this marker also revealed that changes in plasma CgA levels were associated with the tumor (13,15).

Despite paragangliomas are not common, it is important to consider them in the differential diagnosis of hypertension, especially in young patients, due to their malignant potential and effects on catecholamine secretion in the cardiovascular system.

Diagnosis and treatment should be early and aggressive. All patients with paragangliomas should undergo screening for germline pathogenic variants in SDHD, SDHC, SDHAF2 and SDHB, among other pathogenic variants, as well as lifelong monitoring of these patients, which are critical considerations in the management of the disease (10,15).

 

BIBLIOGRAPHIC REFERENCES

1.Lenders JWM, Kerstens MN, Amar L, Prejbisz A, Robledo M, Taieb D, et al. Genetics, diagnosis, management and future directions of research of phaeochromocytoma and paraganglioma: a position statement and consensus of the Working Group on Endocrine Hypertension of the European Society of Hypertension. J Hypertens &#091;Internet&#093;. 2020;38(8):1443-56.

2.Fishbein L, Merrill S, Fraker DL, Cohen DL, Nathanson KL. Inherited mutations in pheochromocytoma and paraganglioma: why all patients should be offered genetic testing. Ann Surg Oncol &#091;Internet&#093;. 2013; 20(5):1444-50.

3.Pacak K. New Biology of Pheochromocytoma and Paraganglioma. Endocr Pract &#091;Internet&#093;. 2022;28(12):1253-69.

4.Martinelli S, Maggi M, Rapizzi E. Pheochromocytoma/paraganglioma preclinical models: which to use and why? Endocr Connect &#091;Internet&#093;. 2020;9(12):R251-R260.

5.Cornu E, Belmihoub I, Burnichon N, Grataloup C, Zinzindohoué F, Baron S, et al. Phaeochromocytoma and paraganglioma. Rev Med Interne &#091;Internet&#093;. 2019;40(11):733-41.

6.Neumann HPH, Young WF Jr, Eng C. Pheochromocytoma and Paraganglioma. N Engl J Med &#091;Internet&#093;. 2019;381(6):552-65.

7.Van Duinen N, Steenvoorden D, Kema IP, Jansen JC, Vriends AHJT, Bayley JP, et al. Increased urinary excretion of 3-methoxytyramine in patients with head and neck paragangliomas. J Clin Endocrinol Metab &#091;Internet&#093;. 2010;95(1):209-14.

8.McNicol AM. Update on tumours of the adrenal cortex, phaeochromocytoma and extra-adrenal paraganglioma. Histopathology &#091;Internet&#093;. 2011;58(2):155-68.

9.Mete O, Asa SL, Gill AJ, Kimura N, de Krijger RR, Tischler A. Overview of the 2022 WHO Classification of Paragangliomas and Pheochromocytomas. Endocr Pathol &#091;Internet&#093;. 2022;33(1):90-114.

10.Nölting S, Bechmann N, Taieb D, Beuschlein F, Fassnacht M, Kroiss M, et al. Personalized Management of Pheochromocytoma and Paraganglioma. Endocr Rev &#091;Internet&#093;. 2022;43(2):199-239.

11.Yan Q, Bancos I, Gruber LM, Bancos C, McKenzie TJ, Babovic- Vuksanovic D, et al. When Biochemical Phenotype Predicts Genotype: Pheochromocytoma and Paraganglioma. Am J Med &#091;Internet&#093;. 2018;131(5):506-9.

12.Ramlawi B, David EA, Kim MP, García-Morales LJ, Blackmon SH, Rice DC, et al. Contemporary surgical management of cardiac paragangliomas. Ann Thorac Surg &#091;Internet&#093;. 2012;93(6):1972-6.

13.Michalowska I, Cwikla J, Prejbisz A, Kwiatek P, Szperl M, Michalski W, et al. Mediastinal paragangliomas related to SDHx gene mutations. Kardiochir Torakochirurgia Pol &#091;Internet&#093;. 2016;13(3):276-82.

14.Korpershoek E, Favier J, Gaal J, Burnichon N, Van Gessel B, Oudjik L, et al. SDHA immunohistochemistry detects germline SDHA gene mutations in apparently sporadic paragangliomas and pheochromocytomas. J Clin Endocrinol Metab &#091;Internet&#093;. 2011;96(9):E1472-6.

15.Ikram A, Rehman A. Paraganglioma &#091;Internet&#093;. Florida: StatPearls; 2022. Available from: https://www.ncbi.nlm.nih.gov/books/ NBK549834/

 

 

Corresponding author:

Gonzalo Francisco Miranda Manrique sith1685@hotmail.com

 

 

Received: February 5, 2024

Reviewed: March 16, 2024

Accepted: April 3, 2024

 

Author contributions: GMM participated in the conceptualization, research, methodology, resources and writing of the original draft. HAH, RPA and DGG participated in the research, methodology, resources and writing of the original draft.

Funding sources: This article was funded by the authors.

Conflicts of interest: The authors declare no conflicts of interest.