10.24265/horizmed.2024.v24n4.14

Caso clínico

Endocarditis por Enterococcus faecalis en paciente inmunocompetente: reporte de caso

Enterococcus faecalis endocarditis in an immunocompetent patient: a case report

July Vanessa Mejía-Angel1  , Estudiante de Medicina
http://orcid.org/0009-0000-0116-796X

Laura Valentina Ramírez-Benítez1  , Estudiante de Medicina
http://orcid.org/0009-0009-8921-6118

Santiago Sánchez Pardo1  2  3  , médico internista, infectólogo; instructor asociado
http://orcid.org/0000-0003-3869-6907

1Fundación Universitaria Sanitas. Bogotá, Colombia.

2Hospital Universitario San Rafael Tunja. Boyacá, Colombia.

3Clínica Santa María del Lago. Bogotá, Colombia.


RESUMEN

La endocarditis infecciosa es una patología en la cual existe una inflamación del endocardio debido a la entrada de un patógeno a la circulación que puede incluir bacterias, hongos e incluso virus. Su etiología puede variar entre microorganismos, sin embargo, el tercero más frecuente es la bacteria Enterococcus faecalis, precedida por el S. aureus y el S. pyogenes. Para cada agente causal de la enfermedad es necesario valorar cuál es el tratamiento indicado y dirigido para lograr la erradicación del microorganismo, teniendo como base las directrices internacionales expuestas en las guías de la Sociedad Europea de Cardiología (ESC), los parámetros institucionales y la epidemiología local. A continuación, se presenta el caso de un hombre de 44 años, afrodescendiente sin comorbilidades, cuyo único antecedente de importancia fue realizarse procedimientos dentales en contexto de endocarditis infecciosa por Enterococcus faecalis. Con este caso, se pretende dar visibilidad al microorganismo causal y al cuadro clínico por el que consultó el paciente, resaltando signos clínicos patognomónicos y no patognomónicos de la enfermedad. Así mismo, se destaca la importancia de una rápida instauración de la antibioticoterapia, la sospecha de la enfermedad, la exclusión de múltiples diagnósticos diferenciales y un manejo quirúrgico precoz, lo cual puede repercutir en el pronóstico del paciente y su desenlace, siendo el más grave de estos la muerte. De igual forma, se desea proporcionar una guía a los profesionales de salud que enfrenten casos similares. Finalmente, se debe recalcar la importancia de una correcta comunicación entre instituciones, ya que se pueden llegar a generar retrasos debido al traslado, además de la necesidad de volver a realizar estudios paraclínicos e imágenes necesarias para confirmar el diagnóstico, así como demoras en el manejo quirúrgico por falta de recursos necesarios, lo que provoca una agudización de la enfermedad.

Palabras clave: Endocarditis Bacteriana; Endocarditis Infecciosa; Enfermedad de la Válvula Aórtica; Enterococcus faecalis


ABSTRACT

Infective endocarditis is a disease characterized by inflammation of the endocardium secondary to the entry of pathogens into the circulation, which may include bacteria, fungi and even viruses. Its etiology may vary among microorganisms; however, Enterococcus faecalis bacteria is the third most frequent, after S. aureus and S. pyogenes. For each of these causative agents of the disease, it is necessary to assess the appropriate treatment aimed at eradicating the microorganism, based on the international guidelines of the European Society of Cardiology (ESC), institutional parameters and local epidemiology. We present the case of a 44-year-old man of African descent with no comorbidities, whose only significant history includes dental procedures in the context of Enterococcus faecalis infective endocarditis. With this case, we aim to give visibility to the causative microorganism and the clinical picture for which the patient consulted, highlighting pathognomonic and non-pathognomonic clinical signs of the disease. It is also important to emphasize the need to promptly initiate antibiotic therapy, suspect the disease, exclude multiple differential diagnoses and perform early surgical management, as all of these can influence the prognosis and outcome of the patient, with death being the most serious of these. Likewise, we intend to provide guidance to healthcare professionals who may face similar cases. Finally, we would like to emphasize to emphasize the importance of effective communication between institutions, as there may be delays due to transfers, the need to repeat paraclinical and imaging test to confirm the diagnosis, and delays in surgical management due to a lack of necessary resources, which can lead to the worsening of the disease.

Keywords: Endocarditis, Bacterial; Infective Endocarditis; Aortic Valve Disease; Enterococcus faecalis


Introducción

La endocarditis infecciosa es una enfermedad que afecta principalmente al endocardio, limitando su función y estructura. No obstante, en cuanto a su prevalencia, es una patología que no se encuentra con frecuencia en pacientes sin alteraciones previas del endotelio o del corazón. Ocurre principalmente cuando existe una diseminación vía hematógena de algunos microorganismos como hongos y bacterias. Como profesionales de la salud, se debe considerar indagar sobre antecedentes de importancia tales como cirugías recientes o procedimientos, uso de sustancias psicoactivas, tatuajes y afecciones en cavidad oral, entre las que figuran abscesos y enfermedad periodontal. Dichos antecedentes constituyen factores de riesgo que pueden predisponer a la patología en cada paciente 1.

La endocarditis infecciosa se caracteriza por vegetaciones, abscesos, fístulas, aneurismas y pseudoaneurismas inoculados por microorganismos, que se sitúan en las válvulas cardiacas 15, el endotelio de vasos grandes o en las cámaras cardíacas 2, donde luego se calcifican. Si no se diagnostican y tratan oportunamente, pueden causar complicaciones como regurgitación, falla cardíaca o embolismo séptico, las cuales pueden producir la muerte del paciente.

El diagnóstico oportuno puede ser un reto, ya que la presentación clínica de la enfermedad es inespecífica, por lo que hay que buscar apoyo en estrategias diagnósticas como el ecocardiograma y los hemocultivos 2.

Se presenta el reporte de caso de un paciente de 44 años con endocarditis bacteriana causada por Enterococcus faecalis, que constituyó un reto diagnóstico para los profesionales de la salud, teniendo en cuenta que es un agente patógeno poco frecuente y que la clínica fue poco sugestiva. Sin embargo, se logró generar un diagnóstico y, posteriormente, un tratamiento antimicrobiano y quirúrgico adecuado para el paciente, cuya recuperación fue exitosa. El manuscrito en su versión final fue aprobado por el Comité de Ética en Investigación de Unisanitas mediante Acta N.° 001-24 del 9/1/24.

Presentación del caso

Un hombre de 44 años, natural de Chocó y residente de Bogotá, fue atendido en la Clínica Universitaria Colombia por un cuadro clínico de cuatro meses de evolución consistente en fiebre, que inició con patrón vespertino y luego se tornó intermitente, evidenciando un pico máximo de 38,8 °C. El cuadro clínico incluyó otra sintomatología, como hiporexia, astenia, adinamia, diaforesis nocturna y dolor en los pulpejos de los dedos de los miembros superiores. Además, presentó una pérdida involuntaria de 10 kg de enero a abril de 2023.

Su historial médico de importancia no incluía patologías de base, exceptuando dos endodoncias con dos meses de diferencia, junto con un antecedente familiar de cáncer de colon.

Al examen físico, sus signos vitales mostraban una frecuencia cardíaca de 112 latidos/min. Sus ruidos cardíacos eran rítmicos, con presencia de un soplo sistólico de grado III en el foco aórtico, irradiado al foco mitral, de forma romboidal, tono grave, que se exacerbaba con la maniobra de Harvey. A la inspección de piel y faneras, se encontraron fenómenos vasculares distales compatibles a un proceso de endocarditis, tales como hemorragia en astilla en el primer dedo del miembro superior derecho y el nódulo de Osler en el talón derecho (Figura 1).

Figura 1 Manifestaciones clínicas por fenómenos vasculares. A) Nódulo de Osler en el talón derecho. B) Hemorragia en astilla en el primer dedo del miembro superior derecho. 

Se solicitaron tanto exámenes imagenológicos como de laboratorio. Se realizó un primer hemocultivo en la Clínica Bienaventuranza, del cual se aisló Enterococcus faecalis sensible a ampicilina (Tabla 1).

Tabla 1 Perfil de susceptibilidad a los antimicrobianos de E. faecalis 

Antibiótico Interpretación CMI
Gentamicina de alta concentración Sensible SYN-S
Estreptomicina de alta concentración Sensible SYN-S
Becilpenicilina Sensible 2
Ampicilina Sensible ≤2
Vancomicina Sensible 2
Daptomicina Intermedio 4

CMI: concentración mínima inhibitoria.

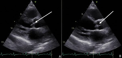
Posteriormente se le realizó un segundo hemocultivo, indicando bacteriemia persistente; se ejecutó un examen de sangre oculta en heces con el propósito de descartar cáncer de colon, no obstante, su resultado fue negativo. Se realizaron estudios de serología para VIH y antígeno de superficie de hepatitis B (Tabla 2) para descartar inmunodeficiencia, cuyos resultados fueron negativos. Adicionalmente, se realizó un ecocardiograma transtorácico (Eco TT), en el cual se evidenció vegetación en la válvula aórtica de 1,4 cm x 0,4 cm, estenosis de la válvula mitral secundaria a esclerosis de la válvula, la cual concuerda con la edad del paciente, y cardiopatía dilatada de origen valvular (Figura 2). Asimismo, como estudio prequirúrgico se solicitó una angiografía por tomografía computarizada de coronarias; sin embargo, pese a las dosis de betabloqueador y por no existir un control cronotrópico negativo, no se logró realizar, por lo que se llevó a arteriografía coronaria con cateterismo derecho e izquierdo, dando como único hallazgo positivo hipertensión pulmonar moderada.

Tabla 2 Pruebas de serología para VIH y antígeno de superficie para hepatitis B 

Paraclínico Fecha de realización Resultado del paciente Rangos normales
Anticuerpos VIH 27 de febrero de 2023 0,14 No reactivo: menor de 1,0
1 de mayo de 2023 0,21
Antígeno de superficie hepatitis B 27 de febrero de 2023 0,45

Figura 2 Ecocardiograma transtorácico con presencia de vegetación en válvula aórtica nativa. A) y B) Válvula aortica cerrada. 

El paciente estaba siendo tratado en la Clínica Bienaventuranza con ampicilina de 2 g vía IV cada 4 horas y gentamicina de 240 mg vía IV cada 24 horas, la cual es la primera línea terapéutica para la endocarditis infecciosa sin especificación del microorganismo causal. Al confirmar el agente etiológico (E. faecalis sensible a ampicilina [Tabla 1]), se modificó el tratamiento por el servicio de infectología, quienes indicaron cubrimiento antimicrobiano y se ajustó según The 2023 ESC Guidelines for the Management of Infective Endocarditis3, por lo que se continuó con ampicilina de 2 g vía IV cada 4 horas y se adicionó ceftriaxona de 2 g vía IV cada 24 horas, hasta completar 42 días en total, considerándose el reemplazo valvular posterior al manejo médico. Sin embargo, debido a la carencia internacional de válvulas mecánicas cardiacas, se da egreso con un plan de hospitalización en casa.

Al transcurrir dos meses, el paciente reingresa al servicio de urgencias por un cuadro clínico consistente en episodio sincopal cardiogénico, dolor precordial, disnea y tos hemoptoica. Tras la valoración, se le realizó un nuevo Eco TT, que reportó lesiones vegetantes en la válvula aórtica con insuficiencia severa, adicionalmente, una dilatación anular de la válvula mitral con insuficiencia severa. Se solicitó la opinión del área de cirugía cardiovascular, cuya indicación fue realizar procedimientos quirúrgicos, y durante una junta multidisciplinar, se determinó que lo más adecuado eran los reemplazos valvulares aórtico y mitral y realizar compensación de falla cardiaca en esa semana.

El paciente fue llevado a procedimiento el 19 de julio de 2023, en el que se le realizó el reemplazo de la válvula mitral por prótesis mecánica ON-X #25mm y reemplazo de la válvula aórtica por prótesis mecánica ON-X #23mm; el tiempo de bomba fue de 176 minutos y el de clampaje, 157 minutos. El procedimiento se llevó a cabo satisfactoriamente, resultando en una mejoría en la sintomatología del paciente.

Discusión

La endocarditis infecciosa es una patología de difícil diagnóstico y alta complejidad 2. En lo que concierne a su epidemiología, tiene una alta tasa de morbilidad y mortalidad (20 %-25 % al año) 1. Aunque se logren reconocer algunas de sus manifestaciones clínicas, dadas por fenómenos vasculares distales tales como los nódulos de Osler, las lesiones de Janeway y las hemorragias en astilla en la lámina ungueal, los pacientes suelen cursar con un cuadro clínico que, además de ser complicado, es bastante inespecífico de la enfermedad 4,5. Como es bien sabido, antes de la endocarditis bacteriana suele existir un proceso de bacteriemia, en el cual los Enterococos faecalis pasan al torrente circulatorio por medio de las células epiteliales intestinales por mecanismos que no son del todo claros 5. El microrganismo responsable de la enfermedad en el paciente se encuentra como la tercera causa de endocarditis infecciosa, antecedido por otros cocos grampositivos como S. aureus y S. pyogenes1.

En el presente reporte, se plantea como hipótesis causal la adquisición del Enterococcus faecalis en relación con la atención sanitaria. Pericàs et al. plantearon que dentro de las comorbilidades y factores de riesgo más frecuentes se encontraban ser hombre (72,6 %), tener diabetes (22,4 %), el tratamiento prolongado de hemodiálisis (8,4 %), tener cáncer (11,2 %), episodios previos de endocarditis infecciosa (12,5 %) e infección asociada al cuidado de la salud (23,4 %) 6,7. En el caso expuesto, dichos factores de riesgo no estaban presentes, exceptuando la infección asociada al cuidado de la salud; el paciente se sometió a dos intervenciones odontológicas terapéuticas realizadas de forma ambulatoria, factor de riesgo descrito por Osler desde 1885 8, por lo que se consideran la puerta de entrada del microorganismo causal, a diferencia de lo clásicamente considerado como factores de riesgo para la adquisición de estreptococos del grupo viridans.

Esto a la vez se sustenta mediante la definición de endocarditis relacionada con atención sanitaria en diferentes estudios prospectivos, en donde se concibe la aparición de síntomas asociados a un proceso invasivo realizado durante los seis meses previos al diagnóstico 7,8 y la baja probabilidad de otras vías de adquisición como procedimientos diagnósticos o terapéuticos genitourinarios (un tercio de los casos) o gastrointestinales (una cuarta parte); por ejemplo, sondaje vesical o colangiografía retrógrada, seguidas de la bacteriemia por catéter y una vía de entrada desconocida en un 25 % de los casos 9,10.

Entre las estrategias diagnósticas para esta patología están los hemocultivos, los cuales constituyen un factor clave, ya que permiten diagnosticar del 96 % al 98 % de las bacteriemias 13. En el presente reporte, si bien se tomaron hemocultivos, el retraso en la comunicación entre la institución prestadora de servicios de salud y la falta de un tratamiento oportuno generaron el progreso de la patología hasta el punto de provocar daño valvular. Otro de los métodos diagnósticos complementarios de la endocarditis bacteriana es el ecocardiograma. Dahl et al. realizaron uno de los primeros estudios en los que se usa sistemáticamente esta imagen diagnóstica en pacientes con bacteriemia por E. faecalis con el fin de diagnosticar endocarditis bacteriana. Plantean la existencia del riesgo de realizar subdiagnósticos de endocarditis como consecuencia de la no realización de ecocardiograma al enfrentarse a casos de bacteriemias 5. En el caso descrito, podemos evidenciar que se le hizo un correcto diagnóstico de endocarditis bacteriana al ampliar el estudio de la bacteriemia solicitando el ecocardiograma transtorácico que mostró las vegetaciones.

Dado que la endocarditis por Enterococcus faecalis afecta generalmente a los pacientes adultos mayores y es en esta población donde existe mayor prevalencia de patologías colorrectales, se ha encontrado una relación de causalidad entre el microorganismo y el cáncer colorrectal, sin embargo, aún no es del todo claro su papel en la carcinogénesis 11. Teniendo en cuenta que el paciente había tenido pérdida involuntaria de peso y el antecedente de cáncer de colon familiar, el servicio tratante decidió solicitar sangre oculta en heces con la finalidad de realizar un tamizaje oportuno de dicha patología, cuyo resultado fue negativo.

En cuanto al tratamiento, si bien se inició con la primera línea terapéutica para endocarditis infecciosa (ampicilina más gentamicina), se decidió realizar un ajuste, cambiando la gentamicina por ceftriaxona, dada la recomendación de The 2023 ESC Guidelines for the Management of Infective Endocarditis y evidencia. Se ha comprobado que la asociación de dos betalactámicos como la ampicilina y la ceftriaxona muestra un efecto sinérgico y bactericida frente al microorganismo, ya que ambos antibióticos saturan al menos cuatro de las cinco proteínas fijadoras de penicilina de los enterococos 3,6: Pericàs JM, et al. sugieren que un curso corto de ampicilina y ceftriaxona podría ser suficiente para tratar la endocarditis infecciosa por Enterococus faecalis de válvula nativa; sin embargo, plantean que se requiere más investigación para dilucidar si tal recomendación aplica exclusivamente para un grupo de pacientes en específico de dicha población 14.

La endocarditis infecciosa es usualmente de difícil diagnóstico, puesto que no tiene una clínica clara; sin embargo, como en el caso previamente expuesto, los pacientes consultan por signos y síntomas constitucionales y sugestivos de infección. A pesar de ello, el paciente presentaba criterios mayores y menores de endocarditis, lo cual configuraba una presentación clásica de la enfermedad 7.

Para la endocarditis infecciosa por Enterococus faecalis, se deben tener en cuenta, en una primera instancia, factores de riesgo que orienten a la sospecha diagnóstica; no obstante, la mayoría estos puede no estar presente, lo que plantea un reto para el clínico y un peor pronóstico para el paciente. Por otro lado, la confirmación del agente causal es necesaria para comenzar un tratamiento dirigido. Este paciente fue tratado empíricamente con cubrimiento bacteriano de primera línea para endocarditis infecciosa con ampicilina y gentamicina, y en una segunda instancia se brindó un tratamiento orientado al agente causal. Finalmente, el caso nos recalca per se la importancia de no dar de alta a un paciente con hemocultivos positivos y la importancia de un abordaje inicial adecuado.

Respecto a las limitaciones de este caso, encontramos que varios artículos de nuestra búsqueda no coinciden del todo con el cuadro clínico presentado, por lo que se tuvo que indagar más a fondo para plantear una hipótesis acorde a la exposición del paciente. Entre las fortalezas del caso destacan dar visibilidad a presentaciones clínicas poco usuales, con sintomatología inespecífica que pueda orientar al diagnóstico de endocarditis infecciosa en pacientes sin antecedentes importantes.

La carga de la enfermedad ha sido importante para el paciente, ya que ha limitado su diario vivir en las diferentes áreas en las que se desempeñaba con anterioridad, impidiendo su asistencia al trabajo y limitando sus actividades cotidianas. De igual forma, expresa que siente que su situación actual pudo prevenirse si en primera instancia se hubiera realizado un diagnóstico que hubiese derivado en una intervención terapéutica adecuada.

El paciente firmó el consentimiento informado para la publicación del manuscrito acorde a los requerimientos del Comité de Ética en Investigación de la Clínica Colsanitas.

REFERENCIAS BIBLIOGRÁFICAS

1. Chidurala S, Bheemarasetti M. Unusual Presentation of Infective Endocarditis Following a Prostatic Urethral Lift. Cureus [Internet]. 2022;14(7):e26919.

2. López Rodríguez JA, Flores Sigüenza JB, Ríos Verdugo PD, Rivera González SC, Córdova Feijoo MA, Serrano Piedra DP, et al. Caso Clínico: Endocarditis Bacteriana de Válvula Aórtica Nativa. Rev Médica HJCA. 2017;9(2):186-90.

3. Delgado V, Ajmone Marsan N, de Waha S, Bonaros N, Brida M, Burri H, et al. 2023 ESC Guidelines for the management of endocarditis of the European Society of Cardiology (ESC) Endorsed by European Association for Cardio-Thoracic Surgery (EACTS) and the European Association of Nuclear Medicine (EANM). Eur Heart J [Internet]. 2023;44(39):3948-4042.

4. Aguirre Fernández D, Naanous Rayek J, Vélez Pintado M, Soto RJ. Endocarditis infecciosa por Enterococcus faecalis. [Internet]. 2019;64:49-52.

5. Dahl A, Iversen K, Tonder N, Hoest N, Arpi M, Dalsgaard M, et al. Prevalence of Infective Endocarditis in Enterococcus faecalis Bacteremia. J Am Coll Cardiol. 2019;74(2):193-201.

6. Fernández-Hidalgo N, Almirante B. Infective endocarditis in the XXI century: Epidemiological, therapeutic, and prognosis changes. Enferm Infecc Microbiol Clin [Internet]. 2012;30(7):394-406.

7. Pericàs JM, Llopis J, Muñoz P, Gálvez-Acebal J, Kestler M, Valerio M, et al. A Contemporary Picture of Enterococcal Endocarditis. J Am Coll Cardiol [Internet]. 2020;75(5):482-94.

8. Osler W. The Glutotian Lectures, on Malignant Endocarditsa. Br Med J [Internet]. 1885;(1262):467-70.

9. Pericas JM, Cervera C, del Rio A, Moreno A, Garcia de la Maria C, Almela M, et al. Changes in the treatment of Enterococcus faecalis infective endocarditis in Spain in the last 15 years: from ampicillin plus gentamicin to ampicillin plus ceftriaxone. Clin Microbiol Infect. 2014;20(12):O1075-83.

10. Fernández-Hidalgo N, Almirante B, Gavaldà J, Gurgui M, Peña C, De Alarcón A, et al. Ampicillin plus ceftriaxone is as effective as ampicillin plus gentamicin for treating enterococcus faecalis infective endocarditis. Clin Infect Dis [Internet]. 2013;56(9):1261-8.

11. De Almeida CV, Lulli M, Di Pilato V, Schiavone N, Russo E, Nannini G, et al. Differential Responses of Colorectal Cancer Cell Lines to Enterococcus faecalis' Strains Isolated from Healthy Donors and Colorectal Cancer Patients. J Clin Med [Internet]. 2019;8(3):388.

12. Murdoch DR, Corey RG, Hoen B, Miró M, Fowler VG Jr, Bayer AS, et al. Clinical presentation, etiology, and outcome of infective endocarditis in the 21st century: the international collaboration on Endocarditisprospective cohort study. Arch Intern Med [Internet]. 2009;169(5):463- 73.

13. Escolá Vergé L. Estado actual de la endocarditis enterocócica [Tesis de posgrado]. Barcelona:UAB;2020. Recuperado a partir de: https://ddd.uab.cat/pub/tesis/2020/hdl_10803_670192/lev1de1.pdf

14. Ramos-Martínez A, Pericàs JM, Fernández-Cruz A, Muñoz P, Valerio M, Kestler M, et al. Four weeks versus six weeks of ampicillin plus ceftriaxone in Enterococcus faecalis native valve endocarditis: A prospective cohort study. PLoS One. 2020;15(8):e0237011.

15. Jameson J, Fauci AS, Kaspe DL, Hauser SL, Longo DL, Loscalzo J. Harrison's Principles of Internal Medicine, 20 ed. Madrid. 2018. Disponible en: https://accessmedicine.mhmedical.com/content.aspx?bookid=2129&sectionid=159213747

Fuentes de financiamiento: Los autores financiaron este artículo.

Recibido: 07 de Febrero de 2024; Revisado: 05 de Junio de 2024; Aprobado: 27 de Junio de 2024

Correspondencia: Laura Valentina Ramírez Benítez lv.ramirezbe@unisanitas.edu.co

Contribución de autoría: Los autores fueron los encargados de desarrollar, ejecutar y revisar el artículo de investigación.

Conflicto de intereses: Los autores declaran no tener ningún conflicto de intereses.

Creative Commons License Este es un artículo publicado en acceso abierto bajo una licencia Creative Commons