10.24265/horizmed.2024.v24n3.14

Case Report

 

CLOVES syndrome vs. Klippel-Trenaunay syndrome: a case report

 

López-García Diana 1 0009-0006-4880-1415

Carbajal-Hernandez Ernesto Jlian 2 0009-0009-9860-7778

López-Bernal Carlos Alberto 2 0000-0002-3187-0899

Tapia-Venancio Maricarmen 1 0009-0006-4679-8988

García-Galicia Arturo* 1 0000-0003-2535-4967

Montiel-Jarquín Álvaro José 1 0000-0003-0531-9611

Bertado-Ramírez Nancy Rosalía 10000-0003-1879-3152

Loria-Castellanos Jorge 30000-0001-9269-0034

Bautista-Soto Edgar 1 0009-0004-5175-2656

 

1.Instituto Mexicano del Seguro Social (Mexican Social Security Institute), Hospital de Especialidades de Puebla, Centro Médico Nacional “General de División Manuel Ávila Camacho,” Dirección de Educación e Investigación en Salud (Directorate of Health Education and Research). Heroica Puebla de Zaragoza, Mexico.

2.Instituto Mexicano del Seguro Social (Mexican Social Security Institute), Hospital de Especialidades de Puebla, Centro Médico Nacional “General de División Manuel Ávila Camacho,” Servicio de Cirugía General (General Surgery Service). Heroica Puebla de Zaragoza, Mexico.

3.Instituto Mexicano del Seguro Social (Mexican Social Security Institute), Coordinación de Proyectos Especiales en Salud (Coordination of Special Health Projects). Mexico City, Mexico.

 

 

ABSTRACT

Vascular malformations represent a heterogeneous spectrum of lesions that often present a diagnostic and therapeutic challenge, thus requiring a high index of clinical suspicion to reach a definitive diagnosis. CLOVES syndrome is a rare overgrowth disorder of genetic etiology associated with a somatic activating mutation in PIK3CA, which is part of the PI3K-Akt-mTOR intracellular signaling pathway. Clinically, it is characterized by congenital lipomatous overgrowth of any part of the body (mainly the thorax), accompanied by vascular and lymphatic malformations, epidermal nevi and structural abnormalities of the skeletal system such as scoliosis and alterations in the spine. The current therapeutic cornerstone for this syndrome is therapy with rapamycin, an mTOR pathway inhibitor. On the other hand, Klippel- Trenaunay syndrome is a complex vascular condition associated with overgrowth due to somatic mutations in the PIK3CA gene, along with chromosomal translocations and alterations in the VG5Q vascular gene. It is clinically characterized by a classic triad consisting of hemihypertrophy of the soft tissues and bones of an extremity, cutaneous hemangiomas, and varicose veins in anatomically abnormal positions. The main distinguishing characteristic of this syndrome is the presence of slow-type vascular anomalies without significant arteriovenous fistulas, compared to CLOVES syndrome. In both cases, the presence of overlapping clinical characteristics related to overgrowth syndromes with alterations in the PIK3CA gene highlights the challenge of an accurate diagnosis.

 

Keywords: Vascular Malformations, Klippel-Trenaunay-Weber Syndrome; Hemangioma; Lipodystrophy. (Source: MeSH NLM)

 

INTRODUCTION

The acronym CLOVES is derived from the terms congenital lipomatous overgrowth, vascular malformations, epidermal nevi and skeletal/scoliosis/spinal abnormalities (1,2). On the other hand, Klippel-Trenaunay syndrome occurs when vascular malformations affect the skin and cause hypertrophy of soft and bone tissues in one extremity, most commonly the lower extremity, along with the port-wine stain triad: varicose veins, and hypertrophy of bones and soft tissues (3).

These two clinical presentations are secondary to a mosaicism involving a heterozygous mutation in the gene encoding phosphatidylinositol-3-kinase catalytic subunit alpha (PIK3CA), which occurs early in embryonic development. This mutation is the result of hyperactivation of the signaling pathway, leading to abnormal growth of tissues, epithelial and mesenchymal cells (4). This causes extremity anomalies, such as syndactyly, polydactyly and hypertrophy (which may be difficult to notice in the newborn) (5).

The confirmatory diagnosis is by identifying the PIK3CA mosaic mutation in the provided tissue, without prior culture, through next-generation sequencing (6).

The treatment of both syndromes must be multidisciplinary, involving dermatologists, geneticists, angiologists, radiologists, surgeons and pediatric surgeons (6). It focuses on controlling inflammatory flares and managing superficial thromboembolic and hemorrhagic complications of angiofibromas, as well as performing surgical reduction in cases of hypertrophy (7). An annual or frequent clinical examination is advisable due to the progression of manifestations.

 

CLINICAL CASE

We present the case of a 29-year-old female patient, who is originally from the state of Puebla. Her current condition began in 1996, characterized by an increased volume in the left gluteal and calf regions. She reported that both regions had undergone a resection for angiodysplasia-including a colorectal lesion that required colostomy and subsequent restoration of intestinal transit after six months. She had no surgical record or histopathological study.

In 2008, she presented with anemia, lower gastrointestinal bleeding and left flank pain, for which she required multiple transfusions. Imaging studies revealed angiodysplasias in the rectosigmoid junction, uterus, cervix, vulva and anterior abdominal region, as well as cysts in the kidney, mesentery and spleen. Thus, angioembolization was performed.

In 2014, she underwent a colonoscopy, which showed venous ectasia in the cecum and left colon, as well as infectious versus inflammatory proctocolitis. In November of that year, a pelvic ultrasound was performed, which revealed hemangioma of the cervix and uterus with involvement of the vaginal walls. A new colonoscopy found extensive vascular ectasia in the rectum and sigmoid with presence of varicose veins; therefore, argon plasma coagulation was performed and a polidocanol injection was administered.

In 2015, an abdominal MRI scan showed a hemangiolymphangioma of the pelvic floor extending to the gluteal region, thigh, and soft tissues of the pubis. In August, another MRI scan revealed a vascular tumor originating from the left gluteal region. Surgery was performed with layer-by-layer dissection down to the pelvic cavity to parametria due to a lesion displacing the uterus, bladder and rectum, extending to the anterior subcutaneous cellular tissue of the abdomen. The follow-up arteriography showed postoperative changes, including ectasia of the left internal iliac venous trunk, with no evidence of residual hemangiolymphangioma.

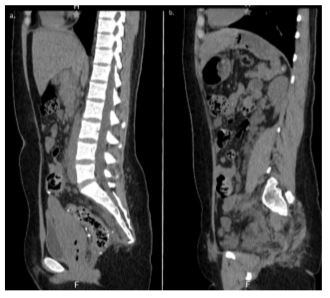
In 2017, she presented with grade I hemorrhoids, and a colonoscopy revealed angiodysplasia in the rectum associated with a hemangioma. Argon plasma coagulation was carried out, with a satisfactory outcome. After one month, a new colonoscopy showed ectasia in the rectum with irregular mucosa and changes likely associated with a hemangioma. An abdominal MRI scan in the sagittal plane with contrast was performed, demonstrating hyperintensities in the colorectal wall compatible with angioembolization material, in the context of a history of hemangioma. The lumbar spine showed loss of lordosis, while the pelvic region exhibited heterogeneous findings consistent with sequelae of previously embolized arteriovenous malformations (Figures 1a and 1b).

Figure 1. Abdominal MRI scan in the sagittal plane with contrast. 1a) Colorectal wall showing angioembolizations and lumbar spine with loss of lordosis. 1b) Heterogeneous findings in the pelvic region consistent with sequelae of arteriovenous malformations.

In 2020, computed tomography angiography (CTA) revealed an increased proximal diameter of the portal vein, splenomegaly secondary to multiple complex cysts and granulomas in the pelvic cavity. A skull and spine X-ray showed hyperostosis, scoliosis and wide vertebral bodies consistent with megaspondylodysplasia.

In 2021, she presented again with left flank pain, leading to an open splenectomy. The procedure revealed multiple splenic cysts, the largest measuring 2 cm by 1.5 cm, with a classic vascular pattern, as well as a cystic accessory spleen in the tail of the pancreas. Histopathology diagnosed cavernous hemangiolymphangioma replacing 90 % of the splenic parenchyma. The Genetics Service

diagnosed CLOVES syndrome.

In 2022, she underwent a CT scan, which showed multiple nodules in the abdominal cavity, retroperitoneum and pelvic cavity. Contrast medium was required due to an inflammatory process in the rectum: multiple granulomas in the pelvic cavity and rectal wall were found.

She is currently under follow-up by the coloproctology service for evaluation of gastrointestinal bleeding and undergoes periodic colonoscopies. Additionally, she is receiving medical treatment with mesalazine and following hygienic-dietary measures. She has grade I hemorrhoids, angiodysplasias in the rectum and foot (the fourth toe) (Figure 2a and 2b).

Figure 2. Clinical presentation. 2a) Lipomatous growth. 2b) Petechiae on the plantar region and fourth toe; port-wine stains on the plantar region.

 

DISCUSSION

Both syndromes are similar in clinical presentation and PIK3CA gene mutation, making diagnosis and treatment challenging; therefore, they require multidisciplinary care (8).

As mentioned, Klippel-Trenaunay syndrome is the combination of vascular malformations affecting the tissue of a lower extremity (9). The similarity with CLOVES syndrome makes diagnosis challenging, as both present with vascular overgrowth, venous and lymphatic malformations, overgrowth and deformity of bones or soft tissues, functional impairments, along with associated venous thromboembolism (5). The definitive diagnosis of both conditions is made by detecting the PIK3CA gene (present in this patient). Anemia and inflammatory markers should be intentionally assessed, and imaging studies should also be conducted (10).

CLOVES syndrome is rarely nonhereditary, and in the presented case, concordant features such as infections, benign and malignant tumors, ectatic veins, and anomalies of the extremities and spine were documented (11). Klippel- Trenaunay syndrome presents with plaque-like port-wine malformations of the extremities (also reported in the case) and lateral sides of the trunk (1). Additionally, it is accompanied by thrombophlebitis and congestive heart failure (between 20 % and 45 % of cases), pulmonary embolism, hematuria and gastrointestinal bleeding (between 4 % and 25 % of cases), as well as lymphatic hypoplasia (between 4 % and 25 % of cases) (12).

The differential diagnosis was established by the absence of rotational abnormalities due to overgrowth of the extremities, which are characteristic of Klippel-Trenaunay syndrome, and the presence of scoliosis, which corresponds to CLOVES syndrome (10).

The treatment is complex, and there are no well-established therapeutic guidelines for managing both conditions. Only emphasis is placed on the need for close follow-up in case any clinical features develop (13).

 

BIBLIOGRAPHIC REFERENCES

1.Ferreira J, López Gutiérrez JC, Carneiro A, Araújo A, Sousa PP, Braga S, et al. CLOVES syndrome diagnosis and treatment in an adult patient. Ann Vasc Surg [Internet]. 2021;75:533.e5-533.e9.

2.Sapp JC, Turner JT, van de Kamp JM, van Dijk FS, Lowry RB, Biesecker LG.Newly delineated syndrome of congenital lipomatous overgrowth, vascular malformations, and epidermal nevi (CLOVE syndrome) in seven patients. Am J Med Genet A [Internet]. 2007;143A(24):2944-58.

3.Online Mendelian Inheritance in Man. Klippel Trenaunay Weber Syndrome [Internet]. Baltimore: OMIN; 1986. Available from: https://omim.org/ entry/149000?search=klippel&highlight=klippel

4.Martínez-Frías ML, Bermejo E, Martínez-Fernández ML. Síndrome de CLOVE(S): Características y Guía diagnóstica [Internet]. Madrid: ECEMC; 2010. Available from: http://www.fundacion1000.es/ Sindrome-de-CLOVE-S

5.Canaud G, Hammill AM, Adams D, Vikkula M, Keppler-Noreuil KM. A review of mechanisms of disease across PIK3CA-related disorders with vascular manifestations. Orphanet J Rare Dis [Internet]. 2021;16(1):306.

6.Mirzaa G, Graham JM Jr, Keppler-Noreuil K. PIK3CA- Related Overgrowth Spectrum [Internet]. Seattle: Universidad de Washington; 2023. Available from: https://www.ncbi.nlm.nih. gov/books/NBK153722/

7.Haute Autorité de Santé. Syndromes hypertrophiques liés au gène PIK3CA (PROS) sans atteinte cérébrale - Les syndromes CLOVES et de Klippel-Trenaunay [Internet]. Francia: HAS; 2020. Available from: https://www.has-sante.fr/jcms/p_3226373/ fr/syndromes-hypertrophiques-lies-au-gene-pik3ca-pros-sans- atteinte-cerebrale-les-syndromes-cloves-et-de-klippel-trenaunay

8.Fuster AI, Cerdà Serra P, Riera-Mestre A. Síndromes de sobrecrecimiento relacionados con PIK3CA (PROS): Conocimiento nuevo de enfermedades conocidas. Med Clin (Barc) [Internet]. 2021;157(10):483-8.

9.Martinez-Lopez A, Salvador-Rodriguez L, Montero-Vilchez T, Molina-Leyva A, Tercedor-Sanchez J, Arias-Santiago S. Vascular malformations syndromes: an update. Curr Opin Pediatr [Internet]. 2019;31(6):747-53.

10.Espín G, Suntaxi L, Yambay C, Silva R, Espín L, Vásquez B. Síndrome congénito de klippel-trenaunay-Weber. Caso clínico. Int J Morphol [Internet]. 2020;38(6):1842-8.

11.Mares-Chiyón A, Davalos-Soria D, Alvarez-Vargas M. Síndrome de Cloves: Reporte de un caso y revisión de los diagnósticos diferenciales. Rev argent dermatol [Internet]. 2020;101(2):57-64.

12.Penagos Ruiz JK, Agamez-Díaz AI, Ruiz Pérez O, Palacio Conrado ZE, González Torres HJ. Síndrome de CLOVES. Primer Caso reportado en Colombia. Pediatr [Internet]. 2021;54(1s): 22-7.

13.St-Pierre J, Mirakhur A, Forbes N. Gastrointestinal manifestations of CLOVES syndrome. ACG Case Rep J [Internet]. 2023;10(5):e01050.

 

 

Author contributions: LGD, CHEJ and TVM participated in the conception and design of the article, data analysis and interpretation, and case report writing. LBC conducted the critical review of the article and patient evaluation. GGA, MJAJ and BRNR participated in the approval, editing, and statistical, technical and administrative advisement of this work. LCJ and BSE participated in the critical review of the article and the approval of the final version.

Funding sources: This article was funded by the authors.

Conflicts of interest: The authors declare no conflicts of interest.

 

*Corresponding author:

Arturo García Galicia

Address: Calle 2 Norte 2004, Colonia Centro Histórico

CP: 72000. Puebla, México.

Telephone: 222194 5360

E-mail: neurogarciagalicia@yahoo.com.mx

 

Reception date: April 02, 2024

Evaluation date: April 18, 2024

Approval date: May 07, 2024