INTRODUCCIÓN
El quiste de colédoco es una condición poco común, causada por la dilatación quística del árbol biliar, que puede involucrar uno o varios segmentos de los conductos biliares, tanto extrahepáticos como intrahepáticos 1. Afecta principalmente a la población asiática y al sexo femenino 2. Todani et al., en 1997, clasificaron esta patología en cinco categorías (Figura 1); esta clasificación es la más utilizada en la actualidad. El quiste de colédoco tipo I representa entre el 60 % y el 80 % de los casos y se caracteriza por una dilatación quística única del colédoco 1.
Se han planteado dos teorías fisiopatológicas principales: la primera se basa en una mala unión pancreatobiliar, y la segunda, en la estenosis congénita distal biliar. En ambas se propone que existe un reflujo y mezcla de las secreciones pancreáticas y biliares, lo que conduce a la activación de las enzimas pancreáticas y a cambios tróficos en las vías biliares 3.
El quiste de colédoco suele ser asintomático hasta la edad adulta, pero también puede manifestarse con síntomas como dolor abdominal, ictericia y fiebre 4. El enfoque diagnóstico suele comenzar mediante ecografía, pero se confirma con la colangiopancreatografía por resonancia magnética 5. Como medida terapéutica se usa la colecistectomía con resección quirúrgica completa del quiste junto con la reconstrucción biliodigestiva en Y de Roux 6. A continuación, se presenta el caso de un paciente con quiste de colédoco.
REPORTE DE CASO
Se trata de una paciente de 29 años, sin antecedentes médicos ni quirúrgicos. Se le evaluó en consulta externa por presentar un dolor abdominal tipo cólico, durante un mes, asociado a náusea persistente y localizado en la parte superior del abdomen. Durante la exploración física, se detectó leve dolor a la palpación profunda en el hipocondrio derecho, sin masas palpables ni otros hallazgos sugestivos de patología.
Se efectuaron análisis de laboratorio iniciales, cuyos resultados evidenciaron una hemoglobina de 12.5 g/dl, glóbulos blancos dentro de los parámetros normales y proteína C reactiva dentro de los rangos normales. Asimismo, la función hepática y renal estaban conservadas, con valores normales de transaminasas, bilirrubinas totales y fraccionadas, fosfatasa alcalina, gamma-glutamil transpeptidasa (GGT), albúmina, urea y creatinina.
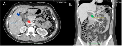
Asimismo, se realizó un estudio tomográfico inicial en el que se observó una imagen hipodensa proyectada a nivel del colédoco extrapancreático, que se reportó como posible ectasia de dicho colédoco, con menor probabilidad de ser un componente quístico. No se definieron lesiones focales mediante este método (Figura 2).
TEM: tomografía espiral multicorte
Figura 2 A. Corte transversal en TEM abdominal donde se evidencia la dilatación de la vía biliar extrahepática de aproximadamente 2,75 cm de diámetro (flecha roja), en las mismas dimensiones que la vesícula biliar (flecha azul). B. Corte coronal de TEM abdominal donde se evidencia la dilatación de la vía biliar extrahepática (flecha verde).
Los estudios se ampliaron con una resonancia magnética de abdomen superior con colangiorresonancia, en la cual se evidenciaron siete pólipos a nivel fúndico de la vesícula biliar de hasta 4 mm de diámetro transverso. Además, se observó una dilatación quística del colédoco extrapancreático de 22 mm de eje transverso y 32 mm de eje longitudinal, sin evidencia de engrosamiento parietal, nódulos intraluminales, realce o restricción patológica, compatible con un quiste de colédoco (Todani tipo Ia). Asimismo, se identificó una dilatación quística del conducto cístico de 8 mm de eje transverso y 13 mm de longitud. El colédoco intrapancreático medía 3,5 mm de calibre con señal homogénea, sin identificar lesiones intraluminales, coledocolitiasis ni lesiones de tipo extrínseco (Figura 3).
Figura 3 Dilatación fusiforme de la vía biliar extrahepática, que corresponde a una dilatación tipo Ia según la clasificación de Todani.
Ante el diagnóstico de quiste de colédoco y pólipos vesiculares, se indicó la intervención quirúrgica. La paciente fue sometida a una colecistectomía laparoscópica con resección del colédoco y derivación biliodigestiva en Y de Roux. Durante el procedimiento quirúrgico, se encontró una vesícula biliar de 8 x 5 cm con paredes delgadas, y el conducto cístico tenía aproximadamente 5 a 6 cm de largo y 3 cm de diámetro. Asimismo, a nivel del colédoco, se evidenció una dilatación fusiforme que se extendía desde la desembocadura de la vesícula biliar hasta el conducto retroduodenal (Figura 4).
Figura 4 A. Imagen intraoperatoria donde se aprecia el conducto cístico (líneas punteadas) desembocando en el quiste de colédoco (flecha blanca), tipo Ia según la clasificación de Todani. B. Imagen intraoperatoria donde se observa el término de la dilatación quística (flecha azul) en la porción distal de la vía biliar. C. Imagen intraoperatoria donde se observa la sección distal del quiste de colédoco (flecha roja).
Se procedió a realizar una colecistectomía y resección de la vía biliar afectada por vía laparoscópica. Durante el acto quirúrgico, se individualizó el colédoco, se realizó la resección en su porción distal intrapancreática clipando la vía biliar remanente y se seccionó en su porción proximal a 1,5 cm de la bifurcación de la vía biliar proximal. Posteriormente, se llevó a cabo una derivación biliodigestiva en Y de Roux extracorpórea. La lesión quística del colédoco fue resecada completamente (Figura 5) y enviada para estudio de anatomía patológica. Se reportó la presencia de un quiste de colédoco, colecistitis crónica, colesterolosis, pólipo vesicular y un ganglio cístico con cambios reactivos, sin evidencia de células malignas.
Figura 5 Espécimen quirúrgico que muestra la vesícula biliar, la dilatación de la vía biliar, con clips en los bordes de sección proximal y distal.
La paciente evolucionó favorablemente y fue dada de alta a los cinco días de la cirugía. Durante el control posoperatorio, mostró una evolución favorable, toleró la dieta sin náuseas ni vómitos. En el control por consultorio externo, la paciente refirió no haber presentado intercurrencias. Actualmente, se encuentra asintomática.
DISCUSIÓN
Los quistes de colédoco son malformaciones congénitas caracterizadas por una dilatación anormal de los conductos extrahepáticos e intrahepáticos. Suelen diagnosticarse en la infancia, pero pueden mantenerse asintomáticos hasta la edad adulta. Los síntomas son, en orden de frecuencia, dolor abdominal, ictericia y fiebre 4. El estándar de referencia (gold standard) para el diagnóstico es la colangiopancreatografía por resonancia magnética (MRCP, por sus siglas en inglés). Desde 1977, la clasificación de Todani es la más utilizada a nivel mundial y divide los quistes de colédoco en cinco tipos, de los cuales el tipo I es el más frecuente 5.
A pesar de que la fisiopatología no se conoce del todo, la teoría de Babbitt es la más aceptada. Esta sostiene que existe una alteración en la unión pancreatobiliar, lo que genera un reflujo de la secreción pancreática. Esto debilita la pared del conducto biliar y predispone la formación del quiste 7. Por tanto, se recomienda la escisión quirúrgica radical de los conductos biliares de manera temprana para evitar el reflujo de enzimas pancreáticas y restaurar el flujo biliar normal. De esta forma, se previenen complicaciones como colangitis recurrente, pancreatitis, cirrosis hepática y se minimiza el riesgo de hiperplasia/metaplasia que pueda promover la carcinogénesis 8.
Los pacientes con quiste de colédoco presentan un mayor riesgo de desarrollar cáncer. Ten Hove et al. encontraron que, en la mayoría de los casos, el riesgo de desarrollar malignidad era de aproximadamente un 11% 9. Sastry et al. observaron que las neoplasias más asociadas con el quiste de colédoco eran el colangiocarcinoma (70,4 %) y el cáncer de vesícula biliar (23,5 %). A partir de los 60 años, este riesgo aumentaba de manera proporcional con la edad, llegando hasta un 38 % 10. Los quistes tipo I y V son los que tienen mayor propensión a volverse malignos, lo cual es raro encontrar en los tipos II y III 9.
El tratamiento estándar se basa en la resección completa del quiste con reconstrucción de la anastomosis bilioentérica, procedimiento que se realiza mediante cirugía laparoscópica, técnica que es la más utilizada en la actualidad. Sin embargo, se recomienda que la reconstrucción en Y de Roux se realice de manera extracorpórea mediante una incisión ampliada por el sitio del trocar umbilical, para asegurar menor tiempo intraoperatorio y mayor seguridad del paciente 6.
De acuerdo con la clasificación de Todani, el tipo I requiere una escisión completa del árbol extrahepático, así como una colecistectomía y una reconstrucción con anastomosis bilioyeyunal en Y de Roux. El tipo II solo requiere una escisión del quiste debido al bajo riesgo de malignización. En el tipo III se prefiere realizar una esfinterotomía endoscópica, sobre todo en los quistes menores de 2 cm. Los tipos Ic, IVa y V, debido a la diseminación intrahepática, suelen requerir escisiones completas y resección hepática, con la posibilidad, incluso, de un trasplante hepático 5.
El abordaje quirúrgico laparoscópico ha mostrado recientemente ser un procedimiento con resultados viables, seguros y efectivos. Yuan Liu et al. encontraron que la pérdida sanguínea fue relativamente menor, y facilitó una recuperación rápida de la peristalsis intestinal, una reanudación temprana de la dieta y una estancia hospitalaria más corta. Sin embargo, no se observaron resultados significativos en la tasa de complicaciones posoperatorias 9. Por ello, es importante individualizar a cada paciente y realizar una correcta valoración prequirúrgica para seleccionar el mejor abordaje.
La reconstrucción del drenaje biliar se realiza principalmente mediante la técnica de Y de Roux con hepaticoyeyunostomía (HY) o hepaticoduodenostomía (HD). Narayanan et al. encontraron que la HD provocaba mayor reflujo y gastritis posoperatoria en comparación con la HY, pero resultaba en una estancia hospitalaria más corta. En conclusión, ambas técnicas tienen resultados similares en términos de otras complicaciones y beneficios quirúrgicos 11. En este caso, se optó por una hepatoyeyunostomía para evitar complicaciones como el reflujo biliar y la colangitis recurrente.
La escisión completa del quiste de colédoco ha mostrado excelentes resultados, con una tasa libre de eventos y una tasa de supervivencia global a cinco años superior al 90 % 9. Sin embargo, persiste el riesgo de aparición de una neoplasia maligna en el conducto biliar residual, debido a la colangitis recurrente o a la transformación precancerosa preexistente antes de la cirugía 9. Watanabe et al. encontraron que la localización del carcinoma después de la escisión era en el sitio de la anastomosis (35 %), intrahepáticamente (26 %) y en los conductos intrapancreáticos (26 %) 12. Asimismo, He et al. reportaron una mayor incidencia de malignidad en el conducto biliar común 13. Por tanto, se recomienda el seguimiento posterior a la cirugía mediante pruebas de función hepática anuales, medición de Ca 19-9 y evaluación ecográfica semestral, que deberán realizarse de preferencia en centros especializados en enfermedades hepatobiliares 14,15.

