INTRODUCCIÓN
La apendicitis aguda tiene una incidencia de 100 nuevos casos por cada 100 000 personas al año y es la causa más común del abdomen agudo 1. Se estima que el riesgo de por vida de desarrollar apendicitis es del 8,6 % para los hombres y del 6,7 % para las mujeres 2. La apendicitis aguda sin tratamiento oportuno puede evolucionar hacia una perforación apendicular, causando entidades de mayor gravedad como la peritonitis localizada o sepsis generalizada; sin embargo, en otros casos menos comunes, el organismo controla parcialmente este proceso, generando un plastrón apendicular, constituido por tejidos adyacentes que delimitan el proceso infeccioso 3. Las complicaciones a corto plazo asociadas con la cirugía para la apendicitis aguda incluyen infección de heridas, infección profunda y sangrado, y las complicaciones a largo plazo son hernias, obstrucciones del intestino delgado y apendicitis por muñón 4.
Debido tanto a la baja incidencia de esta patología como a un bajo índice de sospecha a causa de una apendicectomía previa, el diagnóstico de apendicitis por muñón a menudo se retrasa, lo que resulta en una cirugía más complicada y un aumento de la morbilidad 5.
El propósito de este trabajo es recordar a la población médica general la existencia de esta entidad clínica que, si bien es de presentación poco probable en un paciente con dolor en la fosa iliaca derecha y antecedente de apendicectomía, sí es posible y requiere de un exhaustivo diagnóstico diferencial, ya que puede traer complicaciones si este (y, por ende, su tratamiento) no se da a tiempo.
CASO CLÍNICO
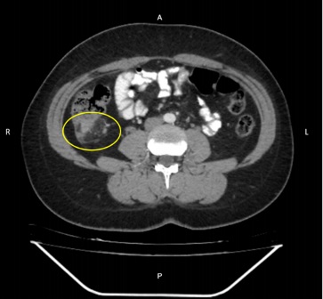
Paciente femenina, que cursa la tercera década de la vida, con antecedente de apendicetomía hace siete años, ingresó a clínica de tercer nivel por un cuadro de una semana de evolución caracterizado por dolor abdominal localizado en la fosa iliaca derecha, sin fiebre ni vómitos ni otra sintomatología. Al examen físico, presentó abdomen globoso a expensas de abundante panículo adiposo, levemente doloroso a la palpación en la fosa iliaca derecha, sin signos de irritación peritoneal. Sus signos vitales fueron estables: frecuencia cardiaca de 72 latidos por minuto, tensión arterial 115/75 mmHg, temperatura 36 °C. El recuento total de glóbulos blancos fue de 13 400 mm3 (90 % de neutrófilos). Finalmente, la ecografía de abdomen total estuvo dentro de los límites normales, por lo que se solicitó una tomografía axial computarizada (TAC) de abdomen total, donde se evidenció apendicitis aguda con cambios inflamatorios regionales (Figura 1).
Figura 1 TAC de abdomen total con signos tomográficos de apendicitis aguda, cambios inflamatorios regionales, sin líquido libre ni colecciones organizadas
La paciente fue llevada a laparotomía exploratoria, encontrándose ausencia de apéndice cecal y presencia de lesión dura y firme en el colon ascendente, sugestiva de masa tumoral. Se decide realizar colonoscopia electiva, donde se considera plastrón apendicular del muñón, que fue confirmado por estudios de patología.
Posterior a esto, fue dejada en hospitalización para cubrimiento antibiótico combinado vía intravenosa con cefuroxima de 1,5 g cada 8 horas más metronidazol 500 mg cada 8 horas y analgésico. Tras la mejoría del cuadro clínico, se le otorgó el alta sin complicaciones.
DISCUSIÓN
La apendicitis del muñón es una complicación tardía y poco usual que se presenta en uno de cada 50 000 casos después de una apendicetomía, es de difícil diagnóstico y se puede producir en un intervalo de tiempo muy variable, que va desde pocos días hasta décadas después de la cirugía inicial 4,6. Según R. Hendahewa et al., la apendicitis del muñón se diagnosticaba erróneamente con frecuencia como estreñimiento, gastroenteritis o diverticulitis del lado derecho, lo que llevó a un retraso significativo en la cirugía 7. Los factores de riesgo son alteraciones anatómicas y asociados a cirugía, como la identificación inadecuada de la base apendicular por una inflamación local grave, dejando un muñón largo por miedo a una lesión cecal, o a una disección difícil y ulceraciones locales por fecalito 6.
El aumento de la incidencia de la apendicitis del muñón se ha atribuido a la introducción de una apendicectomía laparoscópica. Algunos autores han sugerido que la falta de visión tridimensional y la ausencia de retroalimentación táctil en la laparoscopia aumentan la posibilidad de dejar atrás un muñón más largo; por otro lado, otros autores indican que la incidencia de la apendicitis por muñón después de una apendicectomía laparoscópica estandarizada es menos de la mitad en comparación con la técnica abierta 8,9. El alto índice de sospecha clínica puede ser respaldado por exámenes complementarios como la ecografía abdominal o la TAC en el diagnóstico de apendicitis del muñón 10. La laparoscopia de diagnóstico es útil en algunos casos dudosos con síntomas abdominales persistentes después de descartar otras patologías mediante la realización de imágenes extensas, al igual que la colonoscopia 11.
La apendicectomía de finalización es el tratamiento de elección para la apendicitis del muñón, que se realiza más comúnmente como una operación abierta, pero también se puede realizar abordaje laparoscópico, que evita la tediosa búsqueda del apéndice 11.
El manejo del plastrón apendicular se deja al criterio y experiencia del médico, encontrándose dentro de las posibilidades una intervención quirúrgica inmediata o un manejo conservador, con la opción de realizar una apendicectomía diferida cuando se estabiliza el cuadro agudo. En las directrices de Jerusalén de la World Society of Emergency Surgery (WSES) (2020) se reporta que el manejo no quirúrgico es un tratamiento razonable para el flemón o absceso apendicular, con drenaje percutáneo ―de ser necesario― como complemento de los antibióticos 12. La tasa de recurrencia informada después un tratamiento no quirúrgico oscila entre el 12 % y el 24 %, por lo que no se recomienda la apendicectomía de intervalo de rutina después de un manejo no operativo en adultos jóvenes (menores de 40 años) y niños, sino solamente para aquellos con síntomas recurrentes. Debido a que la incidencia de neoplasias apendiculares es alta en pacientes mayores de 40 años con apendicitis complicada, se sugieren exámenes complementarios adicionales, como la colonoscopia o TAC con contraste para aquellos tratados de forma no quirúrgica en este rango de edad 13.
Finalmente, ¿se debe ofrecer a los pacientes una apendicectomía secundaria después de la curación de un plastrón apendicular? Dos tendencias opuestas: abstención y apendicectomía sistemática. El principal argumento de los defensores de la abstención radica en la supuesta alta mortalidad de la apendicectomía secundaria, mientras que los defensores de la apendicectomía "fría" sistemática destacan los riesgos de recurrencia y diagnósticos erróneos 14,15. La abstención terapéutica tiene un riesgo de recurrencia del 15 % 16,17.
En conclusión, el plastrón del muñón es una masa que se forma alrededor de un muñón apendicular inflamado en la apendicitis aguda. Esta formación se produce como resultado de la reacción del organismo para contener la infección y evitar su diseminación. El diagnóstico se realiza principalmente a través de la clínica y se confirma mediante estudios de imagen como la ecografía o la TAC.
En muchos casos, el manejo inicial del plastrón del muñón es conservador, con antibióticos y observación, evitando la cirugía de urgencia. La cirugía se puede considerar en caso de complicaciones como absceso o perforación.

