INTRODUCCIÓN
La enfermedad de Fahr es un padecimiento neurológico degenerativo poco común que se caracteriza por la calcificación idiopática de los ganglios basales. Fue descrita por primera vez por Karl Theodor Fahr en 1930, en un artículo titulado "Calcificación idiopática de los vasos cerebrales", el cual se refería a la acumulación bilateral y simétrica de calcio en los ganglios basales, el tálamo, el núcleo dentado y el centro semioval. El cuadro clínico puede acompañarse de síntomas neuropsiquiátricos, extrapiramidales y cerebelosos, convulsiones, rasgos parkinsonianos, demencia y trastornos del habla 1,2.
Si bien "síndrome" y "enfermedad" de Fahr suelen usarse de forma indistinta, los criterios diagnósticos del síndrome de Fahr son calcificación bilateral de los ganglios basales, disfunción neurológica progresiva, ausencia de anomalías bioquímicas y antecedentes familiares compatibles con herencia autosómica dominante; mientras que el término enfermedad de Fahr se utiliza cuando existe un componente heredo-familiar, ya sea autosómico dominante o recesivo, y que a su vez se haya descartado secundarismo 3-5.
En Perú, se han notificado escasos reportes de ambas condiciones, algunos secundarios a otras entidades como el hipoparatiroidismo primario o posquirúrgico, y otros sin condiciones o etiologías conocidas 6-9.
PRESENTACIÓN DEL CASO
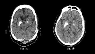
Se presenta el caso de un paciente de 75 años, con antecedentes de colecistectomía hace cinco años, diabetes mellitus tipo 2 e hipertensión arterial en tratamiento (insulina lispro, glargina y metformina para la primera e irbesartán y atorvastatina para la segunda), ambos seguidos de manera irregular por el paciente, además, recibe tamsulosina debido a una hiperplasia benigna de próstata y quetiapina más haloperidol por un cuadro de trastorno delirante esquizofreniforme aunado a un trastorno cognitivo leve desde hace tres años. En esa fecha se le realizó una tomografía cerebral sin contraste, en la que se apreciaron calcificaciones confluentes a nivel de los ganglios basales a predominio derecho, sin mayores comentarios sobre dichos hallazgos en su centro de atención (Figura 1a).
El episodio actual inició cuando el paciente fue traído a emergencia por un familiar por presentar ictericia, dolor abdominal tipo cólico en el hipocondrio derecho y vómitos que iniciaron dos semanas antes; por otro lado, relatan pérdida de peso no cuantificada desde hace aproximadamente tres meses. Es evaluado por el equipo médico y se amplían análisis serológicos, donde destacan bilirrubinas elevadas a predominio directo; los otros exámenes que se realizaron durante la estancia del paciente se detallan en la Tabla 1. Se plantea como probable diagnóstico síndrome colestásico (a descartar neoplasia de vías biliares y/o pancreática) y colangitis aguda moderada. Se inicia el tratamiento correspondiente y a la vez se realiza una tomografía abdominal, en la que se destaca como hallazgo una moderada dilatación de vías biliares intray extrahepáticas hasta el nivel del colédoco suprapancreático, condicionada por una lesión expansiva nodular intraluminal.
Tabla 1 Resumen de exámenes de laboratorio en sangre durante la estancia hospitalaria del paciente
| Exámenes de laboratorio | |||||||||||
|---|---|---|---|---|---|---|---|---|---|---|---|
| Fecha | 20/03/2024 | 21/03/2024 | 26/03/2024 | 30/04/2024 | 31/4/2024 | 4/04/2024 | 6/04/2024 | 8/04/2024 | 9/04/2024 | 16/04/2024 | 22/04/2024 | 
| Hb | 10,4 | 10,6 | 9,51 | 9,53 | 10,6 | 9,68 | 10,3 | 9 | 9,2 | ||
| WBC | 7,41 | 7,45 | 7,43 | 6,17 | 9,38 | 8,32 | 5,96 | 9,87 | 8,18 | ||
| PLT | 358 | 308,4 | 283 | 299 | 453 | 613 | 613 | 417 | 642 | ||
| PCR | 6 | 14 | 15 | 11 | 9,5 | 3,94 | 12 | 3,23 | |||
| PCT | 0,24 | 0,188 | |||||||||
| Cr | 0,79 | 0,71 | 0,8 | 0,6 | 0,61 | 0,66 | 0,74 | ||||
| Glu | 74 | 200 | 193 | 126 | 132 | ||||||
| Lipasa | 48 | 41 | |||||||||
| PTH | 59(15-68) | ||||||||||
| Mg | 1,82 | 1,84 | 1,94 | 2,05 | |||||||
| Amilasa | 89 | ||||||||||
| Alb | 4,79 | 3,5 | 3,2 | 3,2 | 3,2 | 3,3 | 3,68 | 3,66 | |||
| BT | 7,53 | 11 | 5,5 | 3,6 | 4,24 | 2,12 | 1,44 | ||||
| BD | 5,87 | 6,1 | 2,8 | 1,8 | 3,34 | 1,67 | 1,16 | ||||
| BI | 1,66 | 4,5 | 2,6 | 1,8 | 0,9 | 0,28 | |||||
| FA | 1024 | 1012 | 242 | 330 | |||||||
| PT | 8,58 | 6,6 | 6,72 | 7,38 | |||||||
| AST | 383 | 151 | 67 | 51 | 134 | 114 | 101 | ||||
| ALT | 383 | 189 | 110 | 88 | 129 | 157 | 97 | ||||
| DHL | 283 | 162 | |||||||||
| TP | 13,68 | 15,33 | 12,29 | 15,6 | 12,22 | 13,3 | 13,6 | ||||
| TTPa | 40,11 | 39,55 | 32,17 | 33,9 | 27,73 | 34,9 | 37 | ||||
| Ca | 8 | 9,2 | 9,4 | 8,5 | 9,1 | ||||||
| P | 1,8 | 2,5 | 2,8 | 1,8 | 3,1 | ||||||
| CEA | 5,7 | ||||||||||
| AFP | 2,64 | ||||||||||
| PSATotal | 7,07 | ||||||||||
| PSA libre | 1,12 | ||||||||||
| CA19-9 | 1200 | 
Leyenda: Hb: hemoglobina, WBC: leucocitos, PLT: plaquetas, PCR: proteína C reactiva, PCT: procalcitonina, Cr: creatinina, Glu: glucosa, PTH: paratorhomona, Mg: magnesio, Alb: albúmina, BT: bilirrubina total BD: bilirrubina directa, BI: bilirrubina indirecta, FA: fosfatasa alcalina, PT: proteína total, AST: aspartato transferasa, ALT: alaninotransferasa, TP: tiempo de protrombina, TTPa: tiempo de tromboplastina activada, Ca: calcio, P: fósforo, CEA: antígeno carcinoembrionario, AFP: alfafetoproteína, PSA: antígeno prostático sérico, CA19-9: antígeno carbohidrato 19-9.
Por lo anterior, se interconsulta a gastroenterología. Cabe destacar que hasta ese momento el paciente no estuvo recibiendo medicación indicada por psiquiatría, lo que explica los sucesos del segundo día de internamiento: un episodio de agitación con subsecuente caída y posterior traumatismo craneoencefálico leve asociado a sensorio oscilante. Debido a ello, se le realiza una tomografía cerebral sin contraste para evaluar lesiones subsecuentes a la caída; de forma incidental encuentran prominentes calcificaciones confluentes a nivel de los ganglios basales derechos a predominio lenticular (Figura 1b), siendo dichos hallazgos, en el contexto del paciente, compatibles con enfermedad de Fahr.
Figura 1 1a. Tomografía cerebral sin contraste, con calcificaciones a nivel de ganglios basales, sin alguna apreciación al respecto en su centro de atención. 1b. Tomografía cerebral sin contraste, con calcificaciones confluentes a nivel de los ganglios basales a predominio derecho, que ya se observaban en un estudio previo.
Durante su estancia se indagaron causas para establecer el origen de la enfermedad de Fahr. Los exámenes de laboratorio revelaron parámetros renales y pruebas de función hepática anormales (de probable causa oncológica); los niveles séricos de calcio, magnesio, fósforo y paratohormona fueron normales. El estudio de líquido cefalorraquídeo también fue normal, así como las pruebas de VDRL y VIH.
Al noveno día, se efectiviza la evaluación por gastroenterología, en donde se le realizan una ecoendoscopia, toma de biopsias y una colangiopancreatografía retrógrada frustra, siendo en radiología intervencionista donde se le coloca drenaje biliar externo. Se continúa con tratamiento médico para colangitis con evolución lenta favorable del cuadro infeccioso, y a los veintidós días de hospitalización, previa interconsulta, es evaluado por geriatría. La valoración geriátrica integral (VGI) identificó los siguientes problemas:
- Estado basal: independencia para las actividades básicas de la vida diaria (ABVD); dependencia moderada para las actividades instrumentales de la vida diaria (AIVD); en la hospitalización, dependencia total para ABVD (índice de Barthel: 0 puntos). 
- Delirium mixto (4AT: 4 puntos). 
- Edentulismo parcial corregido. 
- Desacondicionamiento adquirido. 
- Dismovilidad 4B. 
- Riesgo de lesión por presión. 
- Estreñimiento. 
- Riesgo de malnutrición (MNA SF: 11 puntos). 
- Fragilidad (IF-VIG: 0,4). 
- Vulnerabilidad social (escala de Gijón: 18 puntos): soltero a cargo de un sobrino y una hermana con enfermedad de Alzheimer. 
- Pensión de jubilación: no tiene. 
- Sobrecarga del cuidador (test de Zarit: 48 puntos). 
Por el contexto individual del paciente, se establece un plan de trabajo multidisciplinario adicional al de medicina interna, con medicina física y rehabilitación, psiquiatría, nutrición, servicio social y enfermería.
Al día 27 de hospitalización se observa mejoras en el nivel cognitivo (4AT: 0 puntos, Pfeiffer: 0 errores) y para las ABVD (Barthel: 45 puntos). Aunque el paciente aún presentaba fragilidad, se mantuvieron las mismas recomendaciones. Finalmente, fue dado de alta al día 41 de hospitalización y continuará con atención médica domiciliaria especializada para adultos mayores.
DISCUSIÓN
La enfermedad de Fahr se hereda con mayor frecuencia con un patrón autosómico dominante con penetrancia incompleta y está relacionada con la edad, pero también puede transmitirse como un rasgo autosómico recesivo u ocurrir esporádicamente; se han detectado cuatro genes implicados (SLC20A2, XPR1, PDGFRB y PDGFB), aun así, cerca del 46 % de casos tienen una mutación desconocida. La mayoría tiende a desarrollar la enfermedad más adelante en la edad adulta, y en relación con su fisiopatología, la hipótesis más descrita se refiere a que el depósito de calcio se debe a su metabolismo anormal en el cerebro o a un depósito metastásico debido a una alteración local de la barrera hematoencefálica 10.
El transporte defectuoso de hierro y la producción de radicales libres causan daño tisular, lo que inicia la calcificación alrededor de un nido compuesto de mucopolisacáridos y sustancias relacionadas. El depósito de calcio comienza dentro de la pared del vaso y el espacio perivascular y se extiende lentamente hasta afectar a toda la neurona. La calcificación progresiva comprime los vasos cercanos, lo que reduce el flujo sanguíneo y, por lo tanto, continúa el círculo vicioso de disminución del flujo sanguíneo, lesión tisular y depósito mineral 10,11.
Su espectro clínico: parkinsonismo, coreoatetosis, distonía, síntomas piramidales, depresión, demencia principalmente fronto-ejecutiva, delirium, convulsiones, trastorno del habla, mioclono, entre otros, los cuales suelen guardar similitudes con otras patología. Por ello, se requiere un examen físico detallado, examen de salud mental, memoria, evaluación cognitiva, medidas de resultados funcionales (independencia funcional, índice de marcha dinámica, prueba de tiempo y listo, balanza avanzada Fullerton), además de ciertos criterios diagnósticos (Tabla 2) y exclusión de otras causas relacionadas mediante hemograma, panel metabólico, dosaje de metales pesados en sangre y orina, calcio, fósforo, magnesio, fosfatasa alcalina, calcitonina, vitamina D, hormona paratiroidea, líquido cefalorraquídeo, prueba de Ellsworth-Howard, estudios de imagen y pruebas genéticas moleculares 11-13.
Tabla 2 Criterios diagnósticos de la enfermedad de Fahr 10
| Criterios | 
|---|
| 1. Disfunción neurológica progresiva de inicio a cualquier edad. | 
| 2. Evidencia radiográfica de calcificación bilateral de los ganglios basales y algunas otras regiones del cerebro. | 
| 3. Ausencia de anomalías bioquímicas que sugieran endocrinopatías, trastornos mitocondriales u otros trastornos sistémicos. | 
| 4. Ausencia de infecciones, toxinas o traumatismo. | 
| 5. Antecedentes familiares con herencia autosómica dominante. | 
Esta es una de las pocas afecciones neurológicas hereditarias que conducen a distonía progresiva, parkinsonismo y manifestaciones neuropsiquiátricas.
Los hallazgos imagenológicos de calcificación simétrica y extensa suelen ser típicos, como se observó en este caso. Los trastornos del metabolismo del calcio pueden ocurrir en asociación con la calcificación intracerebral, al igual que el hipoparatiroidismo, el pseudohipoparatiroidismo y el hiperparatiroidismo; otras causas de calcificación intracraneal incluyen enfermedades infecciosas como oligodendrogliomas, astrocitomas, enfermedad de depósito mitocondrial, epstein barr, toxoplasmosis, sífilis y enfermedades inflamatorias como vasculitis, lupus eritematoso sistémico (LES), entre otros 14. Pero la enfermedad de Fahr representa un grupo heterogéneo de trastornos que no están asociados con ningún trastorno secundario, como el caso de este paciente. En la Tabla 3 se muestra un cuadro comparativo del presente caso frente a otros reportados.
Con relación a su manejo, este se centra en brindar un alivio sintomático: anticonvulsivantes, analgésicos, anticolinérgicos para la incontinencia, inhibidores selectivos de la serotonina y neurolépticos; el uso de carbamazepina, benzodiacepina y barbitúricos puede provocar una mayor disfunción de la marcha. Se ha descrito que en estos pacientes el litio aumenta el riesgo de convulsiones y los neurolépticos pueden exacerbar los síntomas extrapiramidales 3,15-17, por lo que se sugiere precaución al respecto.
En cuanto a la evaluación geriátrica, es sumamente pertinente realizar una valoración integral, la cual consta de lo siguiente:
- Valoración clínica: evalúa las patologías agudas o crónicas y determina la carga de enfermedad del paciente. Se debe valorar el estado nutricional, la polifarmacia y la capacidad sensorial. 
- Valoración funcional: evalúa el grado de independencia, además, analiza la marcha, el equilibrio y el rendimiento físico. Se debe identificar la necesidad de intervenciones o dispositivos de ayuda. 
- Valoración mental: realiza una valoración cognitiva para detectar deterioro cognitivo o demencia. Evalúa aspectos afectivos como depresión, ansiedad, trastornos del ánimo o del sueño. 
- Valoración social: Evalúa la relación entre la persona y su entorno e identifica riesgos sociales. Se debe determinar si el paciente necesita el apoyo de un cuidador o si debe ser referido a algún nivel asistencial. 
Esta evaluación, al ser dinámica, ayuda también a identificar de manera preliminar cambios clínicamente significativos en diferentes dominios. Además, ayuda a adaptar la rehabilitación a las necesidades funcionales de las personas mayores antes del alta, facilitando una transición más fluida a la vida comunitaria en el período posterior a la hospitalización 18.
Tabla 3 Resumen comparativo del paciente (caso 1) frente a otros casos de enfermedad y síndrome de Fahr
| Caso | Sexo | Edad | Diagnóstico | Factores de riesgo | Hallazgos imagenológicos | Síntomas psicóticos | Deterioro cognitivo | Otros desórdenes psiquiátricos | Hallazgos extrapiramidales | Otras anomalías neurológicas | Respuesta a neurolépticos | 
|---|---|---|---|---|---|---|---|---|---|---|---|
| 1 | Varón | 75 | Inicio primario tardío | Diabetes mellitus 2 | Calcinosis gangliobasales bilaterales | Trastorno esquizofreniforme delirante | Leve | Depresión | Ausente | - | - | 
| 2 | Varón | 73 | Inicio primario tardío | ¿Enfermedad cerebrovascular? | Calcinosis estriopálido dentado | Severo: bien estructurado delirios paranoicos de robo y conspiración, con fuerte intervención emocional | Grave, progresivo: memoria, lenguaje, orientación, cálculo, atención (MMSE: 19/30; MODA: 88/100) | Apatía | Bradicinesia, posteriormente, hipertonía secundaria, disquinesias, temblor y alteraciones de la marcha | - | Pobre | 
| 3 | Varón | 37 | Inicio secundario temprano | Trauma craneal | Calcinosis estriopálido | Grave: delirios paranoicos mal estructurados de transformación y grandeza corporal, alucinaciones auditivas, agresividad | Leve: lenguaje, comprensión, razonamiento abstracto, capacidad visomotora. (WAIS: por debajo del límite inferior) | Aplanamiento de la afectividad | Disquinesias faciales y de extremidades | Amimia, expresión fatua | Pobre | 
| 4 | Varón | 54 | Inicio primario tardío | - | Calcinosis estriopálido con leve atrofia cerebelar | Ausente | Leve: memoria | Síndrome ansioso depresivo | Ausente | - | - | 
| 5 | Mujer | 48 | Inicio secundario temprano | Trauma craneal, hiperparatiroidismo | Calcinosis estriopálido con leve atrofia cerebelar | Ausente | Leve: atención, memoria, razonamiento lógico, lenguaje, habilidades visoespaciales | Síndrome ansioso depresivo | Ausente | Reflejo glabelar inagotable | - | 
| 6 | Mujer | 63 | Inicio primario tardío | - | Calcinosis estriopálido dentado con leucoaraiosis frontal y meningioma ponto-cerebelar izquierdo | Ausente | Muy leve: atención sostenida y dividida | Disminución del autocuidado en su salud | Ausente | - | - | 
| 7 | Mujer | 73 | Inicio secundario tardío | Hiperparatiroidismo | Calcinosis estriopálido (empeoró en el seguimiento con el desarrollo de atrofia moderada, leucoaraiosis e infarto cortical parietal izquierdo) | Progresiva: alucinaciones visuales, luego agresividad, delirios paranoicos | Progresivo: memoria, orientación. (MMSE inicial: 24,7/30, luego empeoramiento progresivo) | Depresión mayor | Temprano, progresivo (empeoramiento del temblor de las extremidades superiores, luego alteraciones de la marcha) | Reflejo palmo-mental | Parcial | 
| 8 | Mujer | 82 | Inicio secundario tardío | Hiperparatiroidismo, ¿DCV previo? | Calcinosis estriopálido dentado con atrofia difusa | Progresivo: alucinaciones visuales y auditivas,luego agresividad | Progresivo, severo: memoria, orientación, atención (MMSE 19,5/30) | Depresión | Temprana (hipertonía difusa, en reposo e intencional, alteraciones de la marcha) | Reflejo glabelar inagotable, reflejo de Babinski bilateral | Buena | 
Leyenda: MMSE, mini examen del estado mental; MODA, evaluación general de la demencia; WAIS, escala de inteligencia para adultos; DCV, desorden cerebrovascular.
La fragilidad es otro aspecto resaltante, ya que conduce a una mayor vulnerabilidad y resultados adversos. Los adultos mayores frágiles hospitalizados necesitan una amplia gama de servicios que abarquen componentes multidimensionales, incluidos los del dominio físico. Sin embargo, medidas como la sujeción mecánica solo deben ser consideradas en un caso extremo, aunque aún son comunes en nuestro sistema de salud 19.
En relación con la vulnerabilidad social en esta población, se ha visto que independientemente de la fragilidad, esta condición se asocia con una mayor duración de estancia hospitalaria y necesidad de cuidados a largo plazo tras el alta médica, los cuales se traducen en costos para el sistema de salud. Más graves aún son los resultados de algunos estudios que hallaron que la prestación de atención a pacientes de edad avanzada es inapropiada e injusta, haciendo hincapié en el abordaje necesario sobre actitudes negativas hacia el cuidado de las personas mayores, como entornos inadecuados, falta de recursos, falta de conocimientos y habilidades y la existencia de un modelo especializado de prestación de salud que no considera la edad del paciente 20,21).
En conclusión, la enfermedad de Fahr requiere un examen clínico minucioso, acompañado de exámenes laboratoriales, imagenológicos y genéticos. Además, es fundamental ofrecer un abordaje desde la perspectiva geriátrica para brindar una atención holística centrada en la persona, no solo en la patología subyacente. Es relevante socializar las intervenciones geriátricas con otros profesionales para garantizar una atención de calidad a los pacientes adultos mayores en nuestra sociedad.

