10.24265/horizmed.2024.v24n3.16

Case Report

 

Very late diagnosis of pituitary stalk interruption syndrome in a patient with dengue with warning signs

 

Roger Antonio   Sernaque Mechato *1,2,4  a0009-0008-8306-2579

Wilson Junior   Torres Hu 1 b0009-0007-5404-8789

Joshi Antony   Blaz Ladera 1 c0009-0009-5411-0110

Mirella Victoria   López Durand 3 c 0000-0001-5260-324X

Esteven Israel   Navarro Suarez 4 c 0000-0001-8179-1374

Rogher Hugo   Trejo Rodriguez 4 d0000-0001-9721-1936

Dante Ruju Flores-Araoz 5 c 0000-0001-9122-7320

 

1.Hospital Santa Rosa. Lima, Peru.

2.Universidad de San Martín de Porres, School of Human Medicine. Lima, Peru.

3.Universidad Ricardo Palma, School of Human Medicine. Lima, Peru.

4.Universidad Privada San Juan Bautista, School of Human Medicine, Peru.

 

a.     Internist.

b.    Resident in Emergency and Disaster Medicine

c.     Endocrinology resident

d.    Medical intern

 

ABSTRACT

Pituitary stalk interruption syndrome (PSIS) is a congenital genetic disorder that causes hypopituitarism, which is characterized by hypoplasia of the adenohypophysis, ectopic neurohypophysis and pituitary stalk interruption. The clinical manifestations are related to varying degrees of pituitary hormone deficiency (panhypopituitarism). The diagnosis is usually made late or goes unnoticed because it depends on the clinical manifestations presented, a fact that is associated with high morbidity and mortality in patients. We present the case of a 19-year-old female patient with a pathological history of nystagmus, toxoplasmosis, growth retardation and delayed pubertal development. She was admitted to the hospital emergency room because she presented with fever, dyspnea, polyarthralgia, headache, vomiting and oral intolerance. During hospitalization, sustained hypoglycemia refractory to the administration of dextrose was evidenced. Hence, laboratory tests were performed, revealing varying degrees of pituitary hormone deficiencies, with notable deficits in growth hormone, thyroid hormone and gonadotropic hormones, as well as hypocortisolism due to a deficiency in adrenocorticotropic hormone. Consequently, she was diagnosed with dengue with warning signs and panhypopituitarism. She responded well to the established treatment, showed good progress and was discharged with hormone replacement therapy. Early and timely diagnosis of PSIS prevents issues related mainly to metabolism, growth and development. Therefore, an adequate hormonal profile and imaging study of the pituitary gland are key to diagnosis and treatment. In addition, timely recognition and treatment improve the prognosis, quality of life and life expectancy of patients.

 

Keywords: Hypopituitarism; Pituitary Stalk; Hypogonadism (Source: MeSH NLM).

 

INTRODUCTION

Pituitary stalk interruption syndrome (PSIS) is a rare clinical condition characterized by the imaging triad of a thin or interrupted pituitary stalk, an absent or ectopic posterior lobe and a hypoplastic or aplastic anterior lobe. The main feature of this alteration is panhypopituitarism. The incidence is low: 0.5 cases per 1’000,000 live births (1).

Fujisawa first described this syndrome in 1987. Its exact cause remains unknown, but two main theories have been proposed: the first suggests perinatal injuries, such as those related to dystocia and neonatal hypoxia, while the second suggests defective organogenesis caused by genetic or environmental factors during pregnancy. Mutations have been identified in genes involved in pituitary embryogenesis and migration (PROP1, LHX3, HESX1, PROKR2 and GPR161) (2,3).

The diagnosis is usually delayed or goes unnoticed because it depends on the clinical manifestations present. In neonates, it appears as hypoglycemia, jaundice, micropenis and cryptorchidism. In adolescents and adults, it is characterized by short stature, delayed secondary sex characteristics, epilepsy and intellectual disability (4).

 

CLINICAL CASE

This is a 19-year-old female patient with a prenatal history of urinary tract infection in the mother during pregnancy, in the second and third trimester, which was fully treated. Consequently, she was born via cesarean section at full term. She presented with jaundice at birth and was hospitalized for one month. Additionally, she had congenital nystagmus. Her psychomotor development and growth were normal during childhood, with no difficulties in school. She reported having contracted toxoplasmosis in 2020, which was treated without sequelae. She was diagnosed with delayed puberty and secondary amenorrhea in 2020 and anemia since 2023. Her mother added that the patient received hormone replacement therapy with progesterone, vitamin E, and cyproterone acetate + ethinylestradiol, which caused menstruation and a slight increase in breasts. Subsequently, she discontinued the treatment.

The patient came to the hospital because, insidiously, three days before her admission she presented fever, dyspnea and polyarthralgia following a week-long trip to a city in the north of the country. Two days before her admission, she developed holocranial headache, and one day before, vomiting, fever and headache. Physical examination revealed the following findings: BP 116/64 mmHg, HR 92 beats per minute, RR 16 breaths per minute, and temperature 37.1°C. Notably, the skin showed moderate pallor, and a wide neck was observed. The breasts had an infantile appearance, while there was an absence of axillary and pubic hair. In the cardiovascular system, the heart sounds were regular, without murmurs, and tachycardic. The abdomen and respiratory apparatus showed no alterations. As for the neurological aspect, she was awake, alert and not very interactive. The eyes exhibited oscillatory nystagmus.

Upon admission, with a diagnosis of dengue, the following tests were ordered (Table 1):

 

Table 1. Tests upon admission

 

Dengue NS1 rapid test

Positive

Leukocytes

2,540

Segmented neutrophils

69.00%

Hemoglobin

9.4

Platelets

53,000

GOT

49

GPT

17

LDH

252

Prothrombin time

15.1

Partial thromboplastin time

57.5

Glucose

42

Troponin T

6.56

Creatinine

0.84

Urea

14

 

During hospitalization, the following tests and a hormonal profile were performed due to findings from the clinical examination.

Table 2. Electrolytes and hormonal profile

 

Electrolytes and hormonal profile

 

Sodium

140

Potassium

3.7

Chloride

105

FSH

1.3

LH

0.8

PRL

9.3

Estradiol

5

TSH

3.9

Free T4

0.57

Insulin

26.9

Testosterone

< 0.025

DHEAS

0.1

Androstenedione

0.1

17-OH progesterone

0.45

ACTH

1.05

 

Pelvic and thyroid ultrasounds were performed, yielding the following results: uterine hypoplasia and the presence of ovaries in the former, and a preserved thyroid gland in the latter. In addition, the patient developed bradycardia, leading to an ECG, which showed sinus rhythm, an axis of 90°, HR 45 bpm, P wave 0.08 s, QRS complex 0.8 s and ST segment 0.36 s. Likewise, serial monitoring of hematocrit and platelet levels was also conducted due to the diagnosis of dengue with warning signs, given the associated risks (Table 3).

Table 3. Monitoring of platelet and hematocrit

Samples

1

2

3

4

5

Platelets

41,000

32,000

25,000

26,000

51,000

Hematocrit

26

27

26

27

 

 

Due to the initial episode of hypoglycemia, a 5 % dextrose infusion was administered, and serial capillary blood glucose measurements were conducted every eight hours. The patient experienced another episode of hypoglycemia the day after admission, which was promptly resolved.

The patient was referred to the endocrinology service, which concluded panhypopituitarism with compromised axes: hypogonadotropic hypogonadism and secondary hypothyroidism. Also, secondary adrenal insufficiency should be ruled out. A contrast-enhanced MRI of the pituitary gland was ordered.

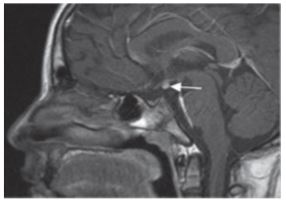
The MRI results showed an absence of the infundibulum- pituitary stalk and neurohypophysis at the intrasellar level using this study method. The adenohypophysis appeared decreased in height, without focal lesions. Imaging suggested ectopic neurohypophysis (Figure 1). These findings were consistent with PSIS.

 

Figure 1. Contrast-enhanced pituitary MRI (gadolinium), sagittal view: decreased adenohypophysis height without focal lesions

The patient made good progress. She was discharged four days after hospital admission upon overcoming the acute phase of dengue fever. During hospitalization, she received hormone replacement therapy with levothyroxine and hydrocortisone. Control by the outpatient endocrinology clinic was recommended for follow-up and management (Figure 2).

Figure 2: Telangiectasias and altered breast development

DISCUSSION

The reason for the patient’s consultation was an acute febrile syndrome, which turned out to be dengue fever. However, during the anamnesis and physical examination, a lack of development of secondary sex characteristics and amenorrhea were noted. Pituitary stalk disruption syndrome predominantly affects males (4).

Chrzanowska reported that the main reason for referral to the endocrinology service was short stature. Other reasons included hypoglycemia, delayed sexual maturation, suspected Cushing’s syndrome, micropenis, secondary hypothyroidism, diabetes insipidus, drug-resistant epilepsy, septo-optic dysplasia on MRI, and adrenal insufficiency shown by laboratory results (5). In the case of our patient, her height of 1.70 m and weight of 57 kg are the average. However, during hospitalization, she presented episodes of asymptomatic hypoglycemia that were corrected with a continuous infusion of 5 % dextrose solution.

Wang observed that persistent hypoglycemia and jaundice were easily detectable clinical features in newborns, sometimes accompanied by hyponatremia and even seizures, which provide clues for diagnosing PSIS (6). External congenital anomalies such as cryptorchidism, midline defects and nystagmus were commonly found in children (7).

A case report describes the clinical presentation of an adult patient with deficiencies in adrenaline, thyroxine, gonadal steroids and growth hormone (8). Another alteration observed in adults is rapidly progressive nonalcoholic fatty liver disease (9). In a study comparing the fertility of women with this syndrome to a control group, it was observed that those affected had fewer children (0.33 vs. 0.63) (10).

Findings such as growth retardation and delayed puberty should lead to consider hormonal testing and, depending on the results, radiological study of the pituitary gland in search of the etiology (4). In one study, hypoglycemia was the main symptom leading to diagnosis in 34.6 % (11). The average age at diagnosis ranged from 9.4 to 11.6 years (12).

The follow-up of these patients must be continuous, as they initially present with isolated growth hormone deficiency. The literature reports growth hormone deficiency in 100 % of cases, FSH/LH in 95.8 %, ACTH in 81.1 % and TSH in 76.3 % (4). Growth hormone levels were not assessed in this case. It was also observed that an elevated prolactin level may be an indicator (13).

In conclusion, primary care physicians should suspect panhypopituitarism in patients with delayed growth or puberty, or those with perinatal history of hypoglycemia, jaundice, seizures or other previously mentioned factors, in order to refer them to a tertiary care level for appropriate further evaluation. Timely recognition and treatment will improve the prognosis and quality of life of affected patients and their families. Treatment is based on the replacement of deficient hormones (14,15).

 

BIBLIOGRAPHIC REFERENCES

 

2.Díaz A, Albán León L. Síndrome de interrupción del tallo hipofisario: reporte de un caso. Metro Ciencia &#091;Internet&#093;. 2022;30(1):11-3. 2DíazAAlbán LeónLSíndrome de interrupción del tallo hipofisario reporte de un casoMetro Ciencia &#091;Internet&#093;202230111-3

3.Martell González MR, Cuevas Bailón MA. Diagnóstico radiológico del síndrome de interrupción del tallo hipofisiario. Neurohipófisis ectópica. Rev Fac Med &#091;Internet&#093;. 2021;64(1):32-6. 3Martell GonzálezMRCuevas BailónMADiagnóstico radiológico del síndrome de interrupción del tallo hipofisiario Neurohipófisis ectópicaRev Fac Med &#091;Internet&#093;202164132-6

4.Müller A, Romero F, Arzamendia S, Ferreira D, Neves De Souza C, Castellano B, et al. Interrupción del tallo hipofisario como causa poco frecuente de amenorrea primaria. Rev Científica Cienc Salud &#091;Internet&#093;. 2021;3(2):112-5. 4MüllerARomeroFArzamendiaSFerreiraDNeves De Souza C.Castellano BInterrupción del tallo hipofisario como causa poco frecuente de amenorrea primariaRev Científica Cienc Salud &#091;Internet&#093;202132112-5

5.A Chrzanowska J, Zubkiewicz-Kucharska A, Seifert M, Calkosinski A, Noczynska A. Clinical evaluation of 31 children with pituitary insufficiency in the course of the pituitary stalk interruption syndrome. The unexpected growth without growth hormone in 2 children. Pediatr Endocrinol Diabetes Metab &#091;Internet&#093;. 2021;27(4):272-82. 5A ChrzanowskaJZubkiewicz-KucharskaASeifertMCalkosinskiANoczynskaAClinical evaluation of 31 children with pituitary insufficiency in the course of the pituitary stalk interruption syndrome The unexpected growth without growth hormone in 2 childrenPediatr Endocrinol Diabetes Metab &#091;Internet&#093;2021274272-82

6.Wang Q, Meng X, Sun Y, Liu F, Xu C, Qiao Y, et al. Hypoglycemia and jaundice in newborns with pituitary stalk interruption syndrome. Medicine (Baltimore) &#091;Internet&#093;. 2021;100(19):e25843. 6WangQMengXSunYLiuFXuCQiaoYHypoglycemia and jaundice in newborns with pituitary stalk interruption syndromeMedicine (Baltimore) &#091;Internet&#093;202110019e25843

7.Sridhar S, Raja BR, Priyanka R, Natarajan S, Soundararajan S, Natarajan V, et al. Clinico-radiological correlation of pituitary stalk interruption syndrome in children with growth hormone deficiency. Pituitary &#091;Internet&#093;. 2023;26(5):622-8. 7SridharSRajaBRPriyankaRNatarajanSSoundararajanSNatarajanVClinico-radiological correlation of pituitary stalk interruption syndrome in children with growth hormone deficiencyPituitary &#091;Internet&#093;2023265622-8

8.Zhang W, Qian F, Lu G, Wu Y, Li R, Xia L, et al. Pituitary stalk interruption syndrome: A rare case report and literature review. Medicine (Baltimore) &#091;Internet&#093;. 2020;99(50):e23266. 8ZhangWQianFLuGWuYLiRXiaLPituitary stalk interruption syndrome A rare case report and literature reviewMedicine (Baltimore) &#091;Internet&#093;20209950e23266

9.Wu Ze-Yu, Li Yi-Ling, Chang B. Pituitary stalk interruption syndrome and liver changes: from clinical features to mechanisms. World J Gastroenterol &#091;Internet&#093;. 2020;26(44):6909-22. 9Wu Ze-YuLi Yi-LingChangBPituitary stalk interruption syndrome and liver changes from clinical features to mechanismsWorld J Gastroenterol &#091;Internet&#093;202026446909-22

10.Terray A, Baussart B, Zins M, Goldberg M, Kab S, Cazabat L, et al. Gonadotropic status in adult women with pituitary stalk interruption syndrome. Eur J Endocrinol &#091;Internet&#093;. 2024;190(6):501-8. 10TerrayABaussartBZinsMGoldbergMKabSCazabatLGonadotropic status in adult women with pituitary stalk interruption syndromeEur J Endocrinol &#091;Internet&#093;20241906501-8

11.Brauner R, Bignon-Topalovic J, Bashamboo A, McElreavey K. Pituitary stalk interruption syndrome is characterized by genetic heterogeneity. PLoS One &#091;Internet&#093;. 2020;15(12):e0242358. 11BraunerRBignon-TopalovicJBashambooAMcElreaveyKPituitary stalk interruption syndrome is characterized by genetic heterogeneityPLoS One &#091;Internet&#093;20201512e0242358

12.Fatima T, Hussain Chandio S, Muzaffar K, Mumtaz H, Jahan N. Pituitary stalk interruption syndrome. Cureus &#091;Internet&#093;. 2020;12(9):e10518. 12FatimaTHussain ChandioSMuzaffarKMumtazHJahanNPituitary stalk interruption syndromeCureus &#091;Internet&#093;2020129e10518

13.Eren E, Ongen YD, Ozgur T, Ozpar R, Demirbas O, Yazici Z, et al. Normal or elevated prolactin is a good indicator to show pituitary stalk interruption syndrome in patients with multiple pituitary hormone deficiency. J Pediatr Endocrinol Metab &#091;Internet&#093;. 2022;35(11):1394-400. 13ErenEOngenYDOzgurTOzparRDemirbasOYaziciZNormal or elevated prolactin is a good indicator to show pituitary stalk interruption syndrome in patients with multiple pituitary hormone deficiencyJ Pediatr Endocrinol Metab &#091;Internet&#093;202235111394-400

14.Voutetakis A. Pituitary stalk interruption syndrome. Handb Clin Neurol &#091;Internet&#093;. 2021;181:9-27. 14VoutetakisAPituitary stalk interruption syndromeHandb Clin Neurol &#091;Internet&#093;20211819-27

15.Zhang Y, Zhao X, Chen M. Clinical analysis of 10 cases of pituitary stalk interruption syndrome and literature review. Neuro Endocrinol Lett &#091;Internet&#093;. 2021;42(3):150-6. 15ZhangYZhaoXChenMClinical analysis of 10 cases of pituitary stalk interruption syndrome and literature reviewNeuro Endocrinol Lett &#091;Internet&#093;2021423150-6

 

 

Author contributions: RASM, WJTH and JABL participated in conceptualization, research, methodology, resource acquisition and writing of the original draft. Likewise, MVDL, EINS, RHTR and DRFA contributed to research, methodology, resource acquisition and writing of original draft.

Funding sources: This article was funded by the authors.

Conflicts of interest: The authors declare no conflicts of interest.

*Corresponding author:

Roger Antonio Sernaque Mechato

Address: Calle Nicolo Paganini Mz AQ Lote 3, Los Álamos de

Monterrico - Surco, Lima. Perú.

Telephone: +51 998 995 740

E-mail: internistagg@gmail.com

 

Recepction date: July 05 2024

Evaluation date: July 22, 2024

Approval date: August 01, 2024