10.24265/horizmed.2024.v24n4.19

Case Report

Carotid aneurysm with intrasellar extension: a rare cause of panhypopituitarism

 

Hernán Mauro Alvarado Murillo1,a

Carely Yumira Bustios Saria 1,a

Valeria Alessandra Chávez Atencia 1,a

 

1 Hospital Santa Rosa. Lima, Peru.

 

a Internist.

 

ABSTRACT

Panhypopituitarism can be caused by various conditions; among them, a very rare cause are carotid aneurysms with intrasellar extension, though these account for less than 0.2 %. The described symptoms are divided into those caused by pituitary insufficiency and those caused by mass effect. We present the case of a 56-year-old female patient with a history of hypertension, hypothyroidism and a previous SARS-CoV-2 infection. She was admitted to the hospital due to clinical features including fainting, decreased appetite, profuse sweating and persistent vomiting. During the evaluation she presented with stable vital signs and pallor, with no significant alteration in the neurological examination. Furthermore, laboratory tests revealed hyponatremia, hypoglycemia and bicytopenia. The diagnosis was panhypopituitarism along with a large carotid aneurysm with intrasellar extension, detected by computed tomography angiography (CTA) and contrast-enhanced MRI.

This case highlights the importance of considering a large or giant aneurysm with sellar compression as a rare differential diagnosis of panhypopituitarism, thereby contributing to medical knowledge and emphasizing the need to improve the anamnesis and clinical imaging studies. Furthermore, it is necessary to consider the different clinical features with which it can manifest, as well as the gradual occurrence of alterations in the hormonal axes and to recognize that not every brain lesion is indicative of a tumor. In the investigation of similar cases, it was found that most occur in patients older than 50 years, with different disease durations and with symptoms of mass effect at onset.

Keywords: Aneurysm, Cerebral; Hypopituitarism; Carotid Artery Diseases (Source: MeSH NLM).

INTRODUCTION

Panhypopituitarism indicates the loss of all or almost all pituitary hormones (1). Pituitary tissue may be destroyed and hormone secretion reduced by large pituitary tumors, infectious diseases, infiltrative diseases, trauma and large aneurysms (2). Within this variety of etiologies, giant carotid aneurysms with intrasellar extension are uncommon (1 %), and those causing hypopituitarism are extremely rare (< 0.2 % of cases) (3).

The clinical manifestations include those resulting from hormonal deficiency (asthenia, fatigue, nausea, vomiting, anorexia, etc.) and those caused by mass effect (retro-orbital headache, impairment of the third cranial nerve and bitemporal hemianopsia). Additionally, they depend on the age at presentation, the speed of onset and the number of hormonal axes affected (4).

The lack of early diagnosis and, often, limited immediate access to imaging resources delay prompt treatment of cerebral aneurysms (5). Therefore, having the tools to establish the diagnosis-as well as analyzing the types based on their size, shape and location-is important for determining the prognosis (6).

They can be classified by size into small (< 5mm), medium (6-11 mm), large (12-24 mm) and giant (> 25 mm) aneurysms. Regarding morphology; they are categorized as saccular, fusiform or dissecting (7,8). Aneurysms behave as a lesion that occupies space, producing compressive symptoms and leading to diagnostic errors since they may be confused with brain, sellar and parasellar tumors (9).

CLINICAL CASE

A 56-year-old female patient from Lima, who worked as an accountant.

Medical history: hypertension under regular treatment, hypothyroidism treated with levothyroxine 25 µg, and mild SARS-CoV-2 infection in December 2022.

Clinical presentation: The patient was admitted with a one-week history of fainting, anorexia, profuse sweating, and vomiting. She was hospitalized in the department of internal medicine, where somnolence, hypoactivity and episodes of moderate-intensity headache were evidenced.

Initial physical examination: Vital signs were stable (BP: 100/60 mmHg, HR: 65 beats per minute, RR: 22 breaths per minute, T: 36 °C). The patient presented with pallor (2+/3+), without petechiae or ecchymosis. Cardiovascular: rhythmic heart sounds of moderate intensity, without audible murmurs. Chest and lungs: preserved chest expansion; vesicular breath sounds were present bilaterally. Neurological: somnolent but oriented to person, without motor or sensory deficits. Deep tendon reflexes (DTRs): +/+++. Coordination was preserved.

Blood panel: serum sodium: 105 mEq/L, complete blood count: leukopenia (3,540), hemoglobin (9.5 g/L), lymphocytes (23 %), platelets (51,000), glucose: 56 mg/dL, insulin: 6.7 µU/mL, TSH: 0.83, T4L: 0.65, prolactin: 113.8, ACTH: 16.4 pg/mL, morning cortisol 3.7 µg/dL, FSH: 1.6, LH nonreactive, estradiol: < 5, ANA: negative, ANCA: negative. During hospitalization the patient had the following diagnoses: 1) nondrug-induced hypoglycemia, 2) hypothyroidism, 3) hypocortisolism, 4) probable secondary gonadal insufficiency, 5) pancytopenia, and 6) euvolemic hypoosmolar hyponatremia.

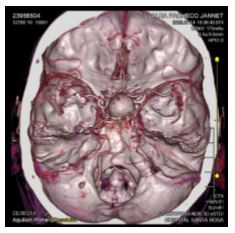
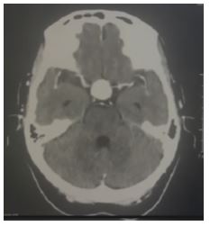
Imaging tests: CT scans revealed a saccular aneurysm of the right supraclinoid internal carotid artery associated with bone remodeling (Figures 1 and 2). On the other hand, magnetic resonance imaging (MRI) of the pituitary showed a saccular aneurysmal dilation occupying the sella turcica with suprasellar extension, originating from the right internal carotid artery.

Figure 1. Contrast-enhanced CT scan of the brain showing a saccular aneurysm

 

Figure 2. CT angiographic reconstruction of the brain. Approximate measurements of 20.6 x 1.6 x 16.7 mm in the anteroposterior, transverse and craniocaudal dimensions, with involvement of the sella turcica and originating from the right internal carotid artery.

 

Diagnostic conclusion: Hypopituitarism secondary to aneurysmal compression originating from the right internal carotid artery.

In view of these findings, the patient was referred to a higher-level hospital, as surgical management was very likely to be required.

 

DISCUSSION

The patient’s clinical picture reflects both a mass effect (nausea, vomiting and moderate-intensity headache) and pituitary dysfunction. Therefore, symptoms such as somnolence, fatigue and asthenia can be explained by progressive ACTH and TSH deficiencies. In addition, it is important to note that severe euvolemic hypoosmolar hyponatremia may be due to hypothyroidism and glucocorticoid deficiency. The latter makes the body very sensitive to insulin, which may result in hypoglycemia.

Moreover, a noteworthy finding was the decrease in FSH and estradiol levels, which led to the diagnosis of secondary ovarian insufficiency, caused by dysfunction of the hypothalamic-pituitary axis, such as hypopituitarism. In women of reproductive age, this condition typically presents with menstrual disorders such as amenorrhea; however, in this case, it could not be confirmed due to the unavailability of this information.

A few cases of aneurysms associated with pituitary insufficiency were identified in the reviewed literature. The first of them involved a 43-year-old female patient who presented with headaches and general malaise. Laboratory findings revealed panhypopituitarism caused by a large aneurysm. Six months after surgical intervention using a flow-diverting stent, a trend toward clinical improvement was observed (10).

A second case reported a 51-year-old female patient who presented to the department of ophthalmology with a 20-day history of sudden-onset decreased visual acuity in the right eye, accompanied by an afferent pupillary defect, compatible with retrobulbar optic neuritis. MRI revealed an oval-shaped lesion located in the suprasellar region, exerting mass effect on the optic chiasm and the cisternal segments of both optic nerves, compatible with a partially thrombosed aneurysm of the anterior communicating artery (11).

The third case involved a 74-year-old female patient who was admitted to the hospital with abdominal pain, confusion and anorexia. Laboratory tests revealed hyponatremia and hormonal dysfunction caused by a giant aneurysm affecting the pituitary gland. Clinical improvement was achieved with hydrocortisone and levothyroxine therapy (12).

In the fourth case, a 63-year-old male patient, presented with a right lateral cervical mass of insidious onset, progressive growth, pulsatile and non-painful, with a three-month history. On physical examination, a 3 cm pulsatile right lateral cervical mass was noted near the mandibular angle, pulsatile, without a bruit on auscultation. A cervical CT scan revealed a saccular aneurysm of the right internal carotid artery, located in the neck distal to the level of the mandibular angle (13).

The fifth case was a 51-year-old male patient who presented with chronic headache, visual disturbance and severe apathy. MRI and angiography revealed a large sellar and suprasellar aneurysm measuring 5 cm in diameter (14). It is important to note that the most common etiology of hypopituitarism is a pituitary adenoma (15), which should be suspected initially, before thinking of more unusual causes.

There are common clinical features in these cases: headache, asthenia, nausea and vomiting. The average age of the patients was 60 years, with some of them having chronic hypertension. The symptoms of hormonal deficit developed gradually, while the symptoms of compression were related to the size of the aneurysm. The most common endocrine disorder was hypothyroidism, and the most frequently used imaging test was brain MRI and angiography. It is worth mentioning that hypopituitarism was due to compression and decreased vascular flow caused by the aneurysm originating from the right internal carotid artery, which is the main artery supplying the pituitary.

 

BIBLIOGRAPHIC REFERENCES

 

1.Ferri, Fred F. Hypopituitarism. Clinical Overview. (2023) Clinicalkey.

2. Nieman L. Causas de insuficiencia suprarrenal secundaria y terciaria en adultos. (2021) UpToDate. .

3. Gungor, A., Gokkaya, N., Bilen. insufficiency and hyperprolactinemia associated with giant intra- and suprasellar carotid artery aneurysm. Case Reports in Medicine, 2015, 1-3.

4. N. Peláez Torres*, D.S. Trifu, M.P Gómez Montes y E. Atienza Sánchez. Hipopituitarismo. Panhipopituitarismo. Medicine. 2016;12(15):857-64.

5. Vallejo Saltos , V. H., & Alfonso Rodas , S. A. Características del Aneurisma Cerebral. Una revisión bibliográfica. E-IDEA 4.0 Revista Multidisciplinar (2022). 4(13), 34-45.

6. Pérez, R. M. P., Roque, D. R., Martínez. Panorama actual del aneurisma cerebral. 2018.

7. Vera, J. S. V., Godoy, J. A. F., Chicaiza. Aneurismas intracraneales - Revisión bibliográfica en imagenología. LATAM Revista Latinoamericana de Ciencias Sociales y Humanidades, 2023. 4(5).

8. Clasificación del aneurisma cerebral Fucac. 2021 Aug 8.

9. Bocchiardo E, Beguelin J, Vera A, Aneurismas Gigantes Intracraneanos. Experiencia con 16 casos. • Revista Argentina de Neurocirugía Internet. cited 2021 Aug 9. .

10. Oikawa, N., Misaki, K., Aono, D., Nambu. Panhypopituitarism caused by an unruptured giant cavernous internal carotid artery aneurysm compressing the pituitary gland treated with a flow-diverting stent: A case report. Surgical Neurology International, (2022). 13(378), 378

11. Sekar A, Bharati K, Chandran V, Patnaik A. Giant anterior communicating artery aneurysm with intrasellar extension. Brain Spine. 2023;16;3:101792.

12. Kageyama, K., Kinoshita, N., Terui, . Two cases of hypopituitarism caused by intrasellar aneurysm. Internal Medicine (Tokyo, Japan) 2020, 59(5), 677-681.

13. Molinelli, L. B., Marinelli, P., Penazzi, M. Aneurisma de arteria carótida interna. Angiología 2015, 67(3), 234-236.

14. Burattini, J. A., Cukiert, A., Machado. Aneurisma gigante da artéria comunicante anterior como causa de hipopituitarismo. Relato de caso e revisão da literatura. Arq. Bras. Neurocir;21(1/2): 56-59, 2002. Ilus, Tab | LILACS.

15. Moreno, C., Paja, M., García, I., Ruiz. Aneurisma de comunicante anterior que se presenta como hipopituitarismo. Endocrinología y Nutrición. 2004, 51(9), 528-530

.

 

 

Author contributions: HAM, CBS, VCA were responsible for the conception of the article; HAM and CBS conducted the literature search; VCA and CBS evaluated the patient; HAM and CBS were responsible for writing; and HAM and CBS reviewed the final version.

Funding sources: This article was funded by the authors.

Conflicts of interest: The authors declare no conflicts of interest.

 

Corresponding author: Hernán Mauro Alvarado Murillo heralmudoc@gmail.com

 

Received: September 23, 2024

Reviewed: October 5, 2024

Accepted: November 5, 2024