INTRODUCCIÓN
En el Perú, el Instituto Nacional de Enfermedades Neoplásicas (INEN) reportó que el cáncer gástrico más frecuente encontrado es el adenocarcinoma (92,3 %), seguido del linfoma (6,36 %), sobre una serie de 7445 pacientes evaluados con confirmación histológica en un periodo de estudio de 50 años 5. El diagnóstico de cáncer metacrónico ―o también llamado segundo cáncer primario gástrico (SCPG)― es muy raro y son muy pocos los casos reportados a nivel mundial, puesto que la génesis de estos se articula por caminos diferenciados y el tratamiento pertinente requiere de un manejo multidisciplinario 2,6,7. A continuación, se reporta el caso de una paciente con adenocarcinoma gástrico metacrónico con diagnóstico previo de linfoma gástrico tratado, el cual se discutirá comparándolo con reportes previos y revisión de la bibliografía internacional.
REPORTE DE CASO
Paciente mujer, natural de Ancash-Perú, que fue atendida en el 2010 en el INEN a la edad de 57 años, con un tiempo de enfermedad de seis meses, el cual se caracterizó por dolor tipo urente en el epigastrio, pérdida de peso, hiporexia y llenura precoz. La endoscopia digestiva alta reportó dos lesiones ulceradas, proliferativas y friables, tanto en antro como en cardias, de 40 y 30 mm de diámetro, respectivamente. La tomografía axial computarizada de tres segmentos (tórax, abdomen y pelvis) no reportó extensión de la neoplasia a otros órganos, tampoco presencia de ascitis o infiltración neoplásica en la medula ósea. En julio del 2010, fue diagnosticada de cáncer gástrico del tipo histológico de linfoma difuso de células grandes B (LDCB). El estudio de la inmunohistoquímica resultó positivo para el CD20 (subpoblación), CD30, CD79a, CD43 (subpoblación), MUM-1 y Ki67 (30 %), además, en los exámenes basales de laboratorio se observó LDH 501 (valores normales: 120-240 U/L) y B2 microglobulina 2,19 (0,69-1,31). Se catalogó la enfermedad como un estadio clínico II (EC II).
La paciente recibió tratamiento con seis cursos de quimioterapia en el esquema CHOEP-14 (ciclofosfamida-doxorrubicina-vincristina-etopósido-prednisona), y de manera concurrente fue sometida a 18 sesiones de radioterapia con cobalto (3000 cGy en los campos gástricos anterior y posterior + BOOST de 1000 cGy, hasta alcanzar 4000 cGy a lecho tumoral). Culminó el tratamiento oncológico en febrero del 2011.
Se realizó seguimiento oncológico anual, y respecto al presente caso, se enfatizó específicamente el estudio de endoscopia digestiva alta periódica; los reportes sucesivos anuales mostraban la presencia de múltiples cicatrices residuales en el estómago relacionadas con la terapia previa referida y sin evidencia de recurrencia de la enfermedad. El estudio histológico concurrente como resultado de las biopsias gástricas obtenidas mostró negatividad a neoplasia y presencia de gastritis crónica (positivo para Helicobacter pylori en el 2013), por lo que se indicó tratamiento con antibioticoterapia para erradicar a la bacteria. En el control endoscópico del año siguiente, la biopsia reveló gastritis crónica con ausencia de Helicobacter pylori. Se realizaron controles endoscópicos hasta el año 2019, fecha a partir de la cual la paciente dejó de asistir a la institución por motivos extramédicos y sociales de aislamiento (pandemia de la COVID-19), y reingresó en el 2023.
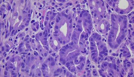
En el control endoscópico de junio del año 2023, se objetivó a nivel del tercio distal del cuerpo gástrico, en la cara posterior, una lesión de 30 mm, de bordes elevados, congestivos, con un área de depresión central (Figura 1). Se le practicó una biopsia, con resultado de presencia de metaplasia intestinal incompleta (en el 20 %) y atrofia. Ante los hallazgos, se decidió realizar una nueva endoscopía con cromoendoscopía en octubre del 2023, y se evidenció la lesión descrita previamente, que a la instilación con ácido acético mostró una reacción positiva a nivel de depresión. Se tomó otra biopsia, con resultado de adenocarcinoma tubular infiltrante moderadamente diferenciado (Figura 2).
Figura 1 Gastroscopia en maniobra de retroversión (u-turn). Lesión de 30 mm, de bordes elevados, congestivos, con área de depresión central en el cuerpo gástrico (flechas negras). Se aprecia, además, gastritis actínica (flechas amarillas) y lesiones cicatrizadas antiguas (flecha azul) con relación al tratamiento descrito en el antecedente (terapia concurrente de radioterapia y quimioterapia).
Figura 2 Biopsia de lesión gástrica, diagnóstico microscópico (parafina). Adenocarcinoma tubular infiltrante moderadamente diferenciado.
Se intentó realizar una disección submucosa endoscópica, siendo frustra por el signo de lifting negativo (elevación parcial o nula a la inyección submucosa), por lo que se hizo, de manera subsecuente, una ecoendoscopía, la cual evidenció infiltración submucosa focal de la lesión. La tomografía abdomino-pélvica de enero del 2024 no mostró extensión de la enfermedad a otros órganos. La paciente fue intervenida quirúrgicamente en febrero del 2024, realizándose una gastrectomía subtotal distal D1 (Figura 3). El informe del estudio anatomopatológico de la pieza operatoria demostró adenocarcinoma intramucoso focal, asociado a displasia de alto grado sin metástasis ganglionar, clasificándose como estadio clínico 0 (EC 0), con intención curativa.
DISCUSIÓN
Como se ha puntualizado, el cáncer gástrico es el quinto más frecuente y la quinta causa de muerte por cáncer a nivel mundial. Las mayores incidencia y prevalencia se reportan en Asia, englobando alrededor del 70 % de todos los casos a nivel mundial. En el año 2022, la incidencia en Latinoamérica fue de 8,5 por cada 100 000 habitantes, ocupando el segundo puesto a nivel internacional 8. El Registro de cáncer de Lima Metropolitana (Perú) ubicó al cáncer gástrico como tercero en frecuencia y como la primera causa de mortandad cuando se toma en cuenta el compromiso en ambos sexos 3. El adenocarcinoma gástrico es el causante de más del 90 % de las neoplasias gástricas a nivel mundial, seguido del linfoma no Hodking (LNH) 5,7.
El linfoma gástrico primario (LGP) es el sitio extraganglionar más común del LNH, con una prevalencia de 30 %-40 % 5,9. Sin embargo, en términos de cáncer gástrico, dicha entidad es, más bien, infrecuente: 1 %-7 % 2. La mayoría de los LGP son del tipo de células B, de los cuales el LDCB representa el 59 % de los casos a nivel mundial 10. En el estudio del INEN referido, se notificó una prevalencia de 6,4 % para el linfoma gástrico 5,11, siendo el LDCB la neoplasia linfoide más común, con aproximadamente 30 % de los LNH diagnosticados al año 11.
El cáncer metacrónico, o SCPG, se define como un tumor nuevo que ocurre más de seis meses después del diagnóstico de la primera neoplasia, pero que no es causado por una diseminación o recurrencia del tumor previo. Los SCPG representan aproximadamente el 10 % de todos los diagnósticos de cáncer en países occidentales 4,7,12. En el caso de nuestra paciente, se considera un cáncer metacrónico al adenocarcinoma gástrico que fue diagnosticado 13 años después de un primer diagnóstico de LNH tipo LDCB.
Los casos de adenocarcinoma gástrico posteriores a LGP son infrecuentes. En el 2008, en un estudio de cohorte retrospectivo de 15 años, realizado en Holanda, se reportó que los pacientes con linfoma gástrico tipo MALT tenían seis veces más riesgo de padecer adenocarcinoma gástrico en comparación a la población general, con una incidencia de 38,2 % 13. En 2023, en otro estudio retrospectivo de diez años en China, se reportó una incidencia de 3,2 % de cáncer gástrico metacrónico, en donde el diagnóstico inicial fue LNH, 50 % para LDCB y 50 % para MALT 14. Asimismo, en 2013, en Japón, se reportó un estudio de cinco años en el que se encontró que el riesgo de adenocarcinoma gástrico metacrónico para el LGP fue de 7,2 %, y cuando se limitaba al LDCB, el riesgo era de 12 % 15. Por otro lado, en 2012, en Estados Unidos, una investigación reportó una incidencia de 0,91 %, y ello representó un riesgo cuatro veces mayor a la posibilidad de encontrar un adenocarcinoma gástrico metacrónico posterior al linfoma gástrico 16.
El tiempo registrado entre el diagnóstico de LGP y la aparición del adenocarcinoma gástrico como SCPG es variable en la literatura. El tiempo medio en estudios de larga data fue 3 años en China 14, 3,6 años en Japón 15, 6 años en Holanda 13, 5,2 años en una muestra de 13 estados de Estados Unidos 16 y de 14,5 años en Chicago 17. Por otro lado, el período declarado fue muy variable en los reportes de casos investigados, oscilando entre 3 y 32 años 18-21. En una serie de revisión de 20 casos, se observó que los pacientes con linfoma gástrico tratados ya sea de manera quirúrgica, con radioterapia o quimioterapia presentaron posteriormente un adenocarcinoma metacrónico, desde no menos de seis meses hasta un periodo de 384 meses, según se puede apreciar en la Tabla 1.
Existen dos casos reportados similares en Túnez 22 y Líbano 23 con diagnóstico primario de linfoma gástrico de tipo LDCB, uno de ellos positivo para H. pylori. Ambos recibieron tratamiento dual de quimioterapia y radioterapia, con posterior regresión total de la tumoración. Esos pacientes presentaron cáncer gástrico metacrónico luego de siete y doce años, respectivamente 22, con diagnóstico patológico de adenocarcinoma gástrico. Precisamente, dichos casos son los dos más parecidos al de esta paciente, ya que presentaron el mismo tipo de linfoma gástrico al inicio y mostraron una respuesta curativa a un tratamiento semejante, pero con la diferencia de que en ella el tiempo de presentación de adenocarcinoma gástrico metacrónico posterior a LNH fue de 13 años.
Actualmente, se plantean dos hipótesis que explican el desarrollo de un cáncer gástrico metacrónico. La primera es el daño de la mucosa gástrica, ya sea por infección por Helicobacter pylori, quimioterapia, radiación o cirugía gástrica. La segunda es que el carcinoma probablemente era demasiado pequeño para ser detectado en el momento del diagnóstico del linfoma gástrico 15. Para este caso, la primera hipótesis es la más consistente.
Tanto el linfoma gástrico como el adenocarcinoma están íntimamente relacionados con la presencia de infección por Helicobacter pylori2. La colonización gástrica por esta bacteria contribuye a la formación de un microambiente inflamatorio activo para la carcinogénesis gástrica debido a la inflamación crónica de la mucosa, la cual conlleva a gastritis atrófica, metaplasia intestinal, displasia y adenocarcinoma 24.
En ese sentido, y de la misma manera, estudios previos reportan alta incidencia de Helicobacter pylori en pacientes con diagnóstico de LGP. En un estudio de China, esta fue del 95,8 % 14, en Japón llegó al 50 % de los pacientes con LGP estudiados y al 23 % (p < 0,05) de los que presentaron cáncer metacrónico 14. Italia reportó casos de regresión del linfoma tras la aplicación del tratamiento para H. pylori21. Asimismo, un estudio de Japón reportó un paciente con diagnóstico de LDCB y H. pylori positivo, quien, luego del tratamiento erradicador, tuvo una regresión del linfoma más rápida que la de un tipo MALT 19. La infección por Helicobacter pylori es un factor muy importante en nuestro contexto nacional, ya que la prevalencia oscila entre 35 % y 90 % en pacientes estudiados endoscópicamente 25. Además, la paciente de este caso tuvo un resultado positivo para la presencia de esta bacteria durante el seguimiento posterior a la curación del linfoma.
Por otro lado, la evidencia del efecto de la quimioterapia como factor de riesgo de SCPG es limitada, pues los estudios que existen son combinaciones de radioterapia y quimioterapia, y existen pocos pacientes que recibieron únicamente el segundo tratamiento. En 2009, en Holanda se reportó que la quimioterapia con procarbazina en dosis alta se asoció a tener 5,4 veces más riesgo de padecer de cáncer de estómago 26.
El efecto de la radioterapia sobre el riesgo de carcinogénesis es bien conocido. El SCPG es una complicación tardía de la radioterapia 27. Las neoplasias malignas inducidas por esta son biológicamente agresivas; el desarrollo del SCPG se produce en un período variable de cinco a diez años para las neoplasias malignas hematológicas y de diez a sesenta para los tumores sólidos 28. Según Inaba et al., después del tratamiento con radioterapia, el SCPG ocurre en un periodo de cuatro a quince años 15. El mecanismo fisiopatológico de la formación del SCPG por radiación aún no es claro; sin embargo, se exponen teorías como la lesión tisular directa, que se caracteriza por roturas del ADN, y la lesión indirecta, que es el resultado del daño oxidativo por la formación de radicales libres 29. Actualmente se utilizan los criterios modificados de Cahan para definir las neoplasias malignas radioinducidas, y son a) las neoplasias deben surgir en un campo irradiado; b) debe haber transcurrido un período de latencia, preferiblemente superior a cuatro años, entre la radioterapia inicial y la supuesta malignidad inducida; c) el tumor tratado y el supuesto tumor inducido deben contar con biopsia y ser diferentes histológicamente; y d) el tejido en el que surgió el supuesto tumor inducido debe haber sido metabólica y genéticamente normal antes de la exposición 28,30,31. Se debe enfatizar que el riesgo para desarrollar cáncer gástrico aumenta según la dosis y el tipo de radiación. Dosis mayores de 20 Gy se asociaron a un riesgo de 9,9 (IC del 9 %; 3,2-31,2) en comparación con dosis inferiores a 11 Gy 32. En un estudio en Francia, en 2010, se reportó un riesgo de 1,1 en SCPG luego de la radioterapia, aumentando con dosis altas de radioterapia entre 15 y 40 Gy 32. En China, también se observó que el riesgo es más alto cuando la dosis de radiación total administrada fue superior a 4500 cGy 2. El tiempo de aparición del SCPG asociado a radioterapia oscila entre cuatro y veintiséis años 2,15, que coincide con el intervalo de la paciente reportada.
En esta discusión, se considera pertinente comentar lo siguiente: la lesión descrita en la pieza quirúrgica de la paciente tuvo un compromiso solo de la mucosa, pero fueron el lifting negativo y la ecoendoscopía los que sugirieron un compromiso de la submucosa y, por ende, la posibilidad de compromiso metastásico ganglionar, y por ello se consideraron para el manejo quirúrgico definitivo. De la misma manera, se debe puntualizar que, o bien la presencia de cicatrices gástricas con fibrosis, o bien recibir radioterapia en la mucosa gástrica, pueden distorsionar el grado de profundidad de la lesión en porcentajes que oscilan entre 5 % y 10 % 33,34, lo cual explicaría los hallazgos de este caso.
De lo descrito previamente, se desprende que en este caso se presentaron los factores de riesgo ya reportados previamente en la literatura, asociados con el desarrollo de cáncer gástrico metacrónico tipo adenocarcinoma gástrico. Los factores más importantes ya señalados en la literatura son la presencia de Helicobacter pylori, así como la combinación de la radioquimioterapia brindada al LNH gástrico primario.
Finalmente, traemos a colación que, en una serie de revisión de 20 casos 17, se observó que los pacientes con linfoma gástrico tratado, ya sea de manera quirúrgica, radioterapia o quimioterapia, presentaron posteriormente un adenocarcinoma metacrónico, al igual que la paciente de este caso (en un lapso de 13 años), lo cual revela periodos ampliamente diferenciados. Como ya se mencionó, esto es desde seis hasta 384 meses, según se puede apreciar en la Tabla 1.
Tabla 1 Cuadro de casos de adenocarcinoma gástrico posterior a linfoma gástrico 17
| Casos | Sexo | Edad | Primer cáncer | Tratamiento inicial | Tiempo meses | Histología SPCG | Tratamiento | |
|---|---|---|---|---|---|---|---|---|
| BARON BW et al. (17) | 3 | Varón | 32-60 | LDCB | Gastrectomía subtotal + QT, RAD | 48-180 | Adenocarcinoma | Gastrectomía total (02), gastrectomía subtotal (01) | 
| 1 | Varón | 60 | LDCB | Gastrectomía subtotal + esofagogastrostomia QT CHOP(9 ciclos) | 48 | Adenocarcinoma invasivo mod. diferenciado | Gastrectomía total + esofagectomía subtotal | |
| 1 | Varón | 58 | LDCB | RT (3150 rad) | 120 | Adenocarcinoma | Gastrectomía subtotal Billroth II | |
| 1 | Varón | 56 | Linfoma linfocítico bien diferenciado | Gastrectomía parcial + anastomosis Billroth I.RT (3700 rad) QT ciclofosfamida | 132 | Adenocarcinoma | Gastrectomía total | |
| 1 | Mujer | 24 | LDCB | Gastrectomía parcial + gastroyeyunostomia RT 4000 rad | 180 | Adenocarcinoma (células en anillo de sello) | ||
| Inaba et al. (15) | 10 | 6V, 4M | 36-73 | LDCB | QT CHOP(3-8 cursos) RT (40-40,5 Gy) | 7,9-90,8 | Adenocarcinomagástrico | Resecciónendoscópica: 7-gastrectomía: 3 | 
| Bahri M et al. (22) | 1 | Varón | 38 | LDCB | QT CHOP* (3 ciclos) RT (40 Gy) | 144 | Adenocarcinoma con células en anillo de sello | Gastrectomía total +D2QT LV5FU2 Cisplatino | 
| Butte et al. (20) | 1 | Varón | 76 | Linfoma no Hodgkinmixto linfohistiocítico | Gastrectomía subtotal + Billroth II + RT | 384 | Adenocarcinoma | Gastrectomía total | 
| Barreda, cols | 1 | Mujer | 70 | LDCB | QT-RT | 156 | Adenocarcinoma intramucoso focal | Gastrectomía subtotal distal D1 | 
QT: quimioterapia; RT: radioterapia.
Actualmente se vienen reportando cada vez más casos de cáncer metacrónico, específicamente de LGP y SCPG de manera sucesiva, ello implica, entonces, el reconocimiento temprano de los factores de riesgo discutidos previamente, para el manejo precoz y oportuno.
Las guías de tratamiento de LGP están establecidas y en su mayoría son curativas. Sin embargo, debido al aumento de riesgo de SCPG, se necesitan mayores estudios de larga data para evaluar la posibilidad de modificaciones a estas guías para prevenir la aparición del cáncer metacrónico posterior.
Debemos enfatizar que siempre en el control de un paciente oncológico con linfoma gástrico tratado (cirugía, quimioterapia y/o radioterapia), aun a pesar de tener una intención curativa, existe en la evolución posterior el riesgo y la posibilidad de desarrollar un adenocarcinoma metacrónico, por lo que el control deberá ser estricto, tanto desde el punto de vista sistémico como desde la puntualización del aspecto endoscópico de los hallazgos, donde la utilización de la magnificación y la cromoendoscopía deberían realizarse de manera rutinaria. Estas medidas tendrán repercusión en el logro de una detección temprana y, en consecuencia, de una posibilidad nuevamente curativa.

